Shopping Cart
Remove All
Your shopping cart is currently empty
Anti-Phospho-BRAF (Thr599) Polyclonal Antibody is a Rabbit antibody targeting Phospho-BRAF (Thr599). Anti-Phospho-BRAF (Thr599) Polyclonal Antibody can be used in IHC.
| Pack Size | Price | USA Warehouse | Global Warehouse | Quantity |
|---|---|---|---|---|
| 50 μL | $217 | 7-10 days | 7-10 days | |
| 100 μL | $316 | 7-10 days | 7-10 days |
| Description | Anti-Phospho-BRAF (Thr599) Polyclonal Antibody is a Rabbit antibody targeting Phospho-BRAF (Thr599). Anti-Phospho-BRAF (Thr599) Polyclonal Antibody can be used in IHC. |
| Synonyms | p-BRAF (Thr599), p-BRAF (T599), BRAF (p-Thr599), BRAF (p-T599) |
| Ig Type | IgG |
| Reactivity | Human |
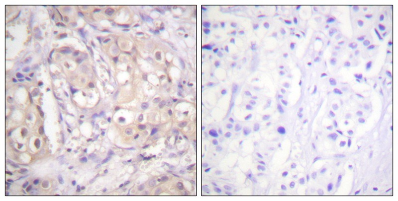
| Verified Activity | 1. Immunohistochemical analysis of paraffin-embedded human breast carcinoma tissue using B-Raf (Phospho-Thr598) antibody TMAC-00465 (left)or the same antibody preincubated with blocking peptide (right). ![]() |
| Application | |
| Recommended Dose | IHC: 1:50-100 |
| Antibody Type | Polyclonal |
| Host Species | Rabbit |
| Construction | Polyclonal Antibody |
| Purification | Antibodies were produced by immunizing rabbits with synthetic phosphopeptide and KLH conjugates. Antibodies were purified by affinity-chromatography using epitope-specific phosphopeptide. Non-phospho specific antibodies were removed by chromatogramphy using non-phosphopeptide. |
| Appearance | Liquid |
| Formulation | Rabbit IgG in phosphate buffered saline (without Mg2+ and Ca2+), pH 7.4, 150mM NaCl, 0.02% sodium azide and 50% glycerol. |
| Research Background | Involved in the transduction of mitogenic signals from the cell membrane to the nucleus. May play a role in the postsynaptic responses of hippocampal neuron. |
| Conjucates | Unconjugated |
| Others Formats | Phospho |
| Immunogen | Peptide sequence around phosphorylation site of threonine 599 (L-A-T(p)-V-K) derived from Human B-RAF |
| Antigen Species | human |
| Uniprot ID |
| Molecular Weight | Actual: 84 kDa. |
| Stability & Storage | Store at -20°C or -80°C for 12 months. Avoid repeated freeze-thaw cycles. |
| Transport | Shipping with blue ice. |
| Size | Quantity | Unit Price | Amount | Operation |
|---|

Copyright © 2015-2026 TargetMol Chemicals Inc. All Rights Reserved.