Shopping Cart
Remove All
Your shopping cart is currently empty
Anti-Phospho-BCL2 (Ser70) Polyclonal Antibody is a Rabbit antibody targeting Phospho-BCL2 (Ser70). Anti-Phospho-BCL2 (Ser70) Polyclonal Antibody can be used in IHC.
| Pack Size | Price | USA Warehouse | Global Warehouse | Quantity |
|---|---|---|---|---|
| 50 μL | $216 | 7-10 days | 7-10 days | |
| 100 μL | $317 | 7-10 days | 7-10 days |
| Description | Anti-Phospho-BCL2 (Ser70) Polyclonal Antibody is a Rabbit antibody targeting Phospho-BCL2 (Ser70). Anti-Phospho-BCL2 (Ser70) Polyclonal Antibody can be used in IHC. |
| Synonyms | p-BCL2 (Ser70), p-BCL2 (S70), BCL2 (p-Ser70), BCL2 (p-S70) |
| Ig Type | IgG |
| Reactivity | Human |
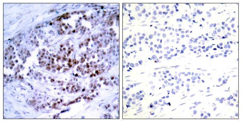
| Verified Activity | 1. Immunohistochemical analysis of paraffin-embedded human breast carcinoma, using BCL-2 (phospho-Ser70) antibody (TMAC-00395). ![]() |
| Application | |
| Antibody Type | Polyclonal |
| Host Species | Rabbit |
| Construction | Polyclonal Antibody |
| Purification | Antibodies were produced by immunizing rabbits with synthetic phosphopeptide and KLH conjugates. Antibodies were purified by affinity-chromatography using epitope-specific phosphopeptide. Non-phospho specific antibodies were removed by chromatogramphy using non-phosphopeptide. |
| Appearance | Liquid |
| Formulation | Supplied at 1.0mg/mL in phosphate buffered saline (without Mg2+ and Ca2+), pH 7.4, 150mM NaCl, 0.02% sodium azide and 50% glycerol. |
| Research Background | Suppresses apoptosis in a variety of cell systems including factor-dependent lymphohematopoietic and neural cells. Regulates cell death by controlling the mitochondrial membrane permeability. Appears to function in a feedback loop system with caspases. Inhibits caspase activity either by preventing the release of cytochrome c from the mitochondria and/or by binding to the apoptosis-activating factor (APAF-1). |
| Conjucates | Unconjugated |
| Others Formats | Phospho |
| Immunogen | Peptide sequence around phosphorylation site of serine 70(R-T-S(p)-P-L) derived from Human BCL-2 |
| Antigen Species | human |
| Uniprot ID |
| Molecular Weight | Actual: 26 kDa. |
| Stability & Storage | Store at -20°C or -80°C for 12 months. Avoid repeated freeze-thaw cycles. |
| Transport | Shipping with blue ice. |
| Size | Quantity | Unit Price | Amount | Operation |
|---|

Copyright © 2015-2026 TargetMol Chemicals Inc. All Rights Reserved.