Shopping Cart
Remove All
Your shopping cart is currently empty
Anti-Phospho-BCL-XL (Ser62) Polyclonal Antibody is a Rabbit antibody targeting Phospho-BCL-XL (Ser62). Anti-Phospho-BCL-XL (Ser62) Polyclonal Antibody can be used in IF,IHC,WB.
| Pack Size | Price | USA Warehouse | Global Warehouse | Quantity |
|---|---|---|---|---|
| 50 μL | $216 | 7-10 days | 7-10 days | |
| 100 μL | $318 | 7-10 days | 7-10 days |
| Description | Anti-Phospho-BCL-XL (Ser62) Polyclonal Antibody is a Rabbit antibody targeting Phospho-BCL-XL (Ser62). Anti-Phospho-BCL-XL (Ser62) Polyclonal Antibody can be used in IF,IHC,WB. |
| Synonyms | p-BCL-XL (Ser62), p-BCL-XL (S62), BCL-XL (p-Ser62), BCL-XL (p-S62) |
| Ig Type | IgG |
| Reactivity | Human,Mouse,Rat |
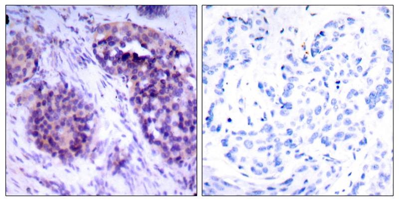
| Verified Activity | 1. Immunofluorescence staining of methanol-fixed HeLa cells using BCL-XL (phospho-Ser62) antibody (TMAC-00408, Red). 2. Immunohistochemical analysis of paraffin-embedded human breast carcinoma tissue using BCL-XL (phospho-Ser62) antibody (TMAC-00408). 3. Western blot analysis of extracts from Hela cells untreated or treated with EGF using BCL-XL (Phospho-Ser62) Antibody TMAC-00408. 4. Western blot analysis of extracts from Hela cells, treated with Noc or calf intestinal phosphatase (CIP), using BCL-XL (Phospho-Ser62) Antibody TMAC-00408. ![]() ![]() ![]() ![]() |
| Application | |
| Antibody Type | Polyclonal |
| Host Species | Rabbit |
| Construction | Polyclonal Antibody |
| Appearance | Liquid |
| Conjucates | Unconjugated |
| Others Formats | Phospho |
| Uniprot ID |
| Transport | Shipping with blue ice. |
| Size | Quantity | Unit Price | Amount | Operation |
|---|

Copyright © 2015-2026 TargetMol Chemicals Inc. All Rights Reserved.