Shopping Cart
Remove All
Your shopping cart is currently empty
Anti-Phospho-Bad (Ser136) Polyclonal Antibody is a Rabbit antibody targeting Phospho-Bad (Ser136). Anti-Phospho-Bad (Ser136) Polyclonal Antibody can be used in IHC,WB.
| Pack Size | Price | USA Warehouse | Global Warehouse | Quantity |
|---|---|---|---|---|
| 50 μL | $218 | 7-10 days | 7-10 days | |
| 100 μL | $317 | 7-10 days | 7-10 days |
| Description | Anti-Phospho-Bad (Ser136) Polyclonal Antibody is a Rabbit antibody targeting Phospho-Bad (Ser136). Anti-Phospho-Bad (Ser136) Polyclonal Antibody can be used in IHC,WB. |
| Synonyms | p-Bad (Ser136), p-Bad (S136), Bad (p-Ser136), Bad (p-S136) |
| Ig Type | IgG |
| Reactivity | Human,Mouse,Rat |
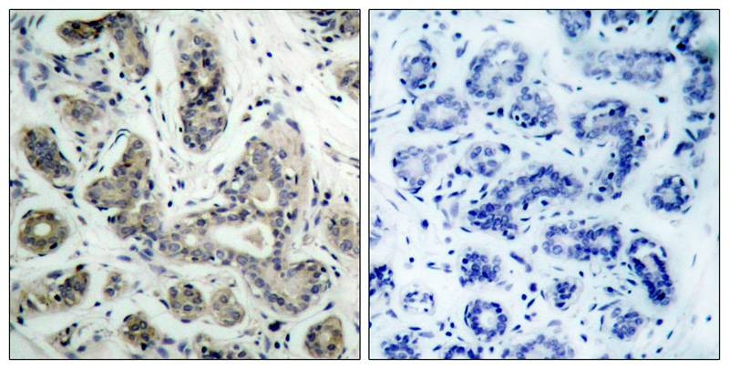
| Verified Activity | 1. Western blot analysis of extracts from HT29 cells untreated or treated with UV using BAD(Phospho-Ser136) Antibody TMAC-00367. 2. Immunohistochemical analysis of paraffin-embedded human breast carcinoma tissue using BAD(Phospho-Ser136) Antibody TMAC-00367(left) or the same antibody preincubated with blocking peptide(right). ![]() ![]() |
| Application | |
| Antibody Type | Polyclonal |
| Host Species | Rabbit |
| Construction | Polyclonal Antibody |
| Purification | Antibodies were produced by immunizing rabbits with synthetic phosphopeptide and KLH conjugates. Antibodies were purified by affinity-chromatography using epitope-specific phosphopeptide. Non-phospho specific antibodies were removed by chromatogramphy using non-phosphopeptide. |
| Appearance | Liquid |
| Formulation | Supplied at 1.0mg/mL in phosphate buffered saline (without Mg2+ and Ca2+), pH 7.4, 150mM NaCl, 0.02% sodium azide and 50% glycerol. |
| Research Background | The protein encoded by BAD gene is a member of the BCL-2 family. BCL-2 family members are known to be regulators of programmed cell death. This protein positively regulates cell apoptosis by forming heterodimers with BCL-xL and BCL-2, and reversing their death repressor activity. Proapoptotic activity of this protein is regulated through its phosphorylation. Protein kinases AKT and MAP kinase, as well as protein phosphatase calcineurin were found to be involved in the regulation of this protein. Alternative splicing of this gene results in two transcript variants which encode the same isoform. |
| Conjucates | Unconjugated |
| Others Formats | Phospho |
| Immunogen | Peptide sequence around phosphorylation site of serine136 (S-R-S(p)-A-P) derived from Mouse BAD |
| Antigen Species | mouse |
| Uniprot ID |
| Stability & Storage | Store at 2°C-8°C for 1 month. Store at -20°C or -80°C for 12 months. Avoid repeated freeze-thaw cycles. |
| Transport | Shipping with blue ice. |
| Size | Quantity | Unit Price | Amount | Operation |
|---|

Copyright © 2015-2026 TargetMol Chemicals Inc. All Rights Reserved.