Shopping Cart
Remove All
Your shopping cart is currently empty
Anti-Phospho-ASK1 (Ser83) Polyclonal Antibody is a Rabbit antibody targeting Phospho-ASK1 (Ser83). Anti-Phospho-ASK1 (Ser83) Polyclonal Antibody can be used in IHC,WB.
| Pack Size | Price | USA Warehouse | Global Warehouse | Quantity |
|---|---|---|---|---|
| 50 μL | $216 | 7-10 days | 7-10 days | |
| 100 μL | $318 | 7-10 days | 7-10 days |
| Description | Anti-Phospho-ASK1 (Ser83) Polyclonal Antibody is a Rabbit antibody targeting Phospho-ASK1 (Ser83). Anti-Phospho-ASK1 (Ser83) Polyclonal Antibody can be used in IHC,WB. |
| Synonyms | p-ASK1 (Ser83), p-ASK1 (S83), Mitogen-activated protein kinase kinase kinase 5, MEKK5, MEKK 5, MEK kinase 5, MAPKKK5, MAPK/ERK kinase kinase 5, MAP3K5, M3K5, ASK1 (p-Ser83), ASK1 (p-S83), ASK-1, ASK1, Apoptosis signal-regulating kinase 1 |
| Ig Type | IgG |
| Reactivity | Human |
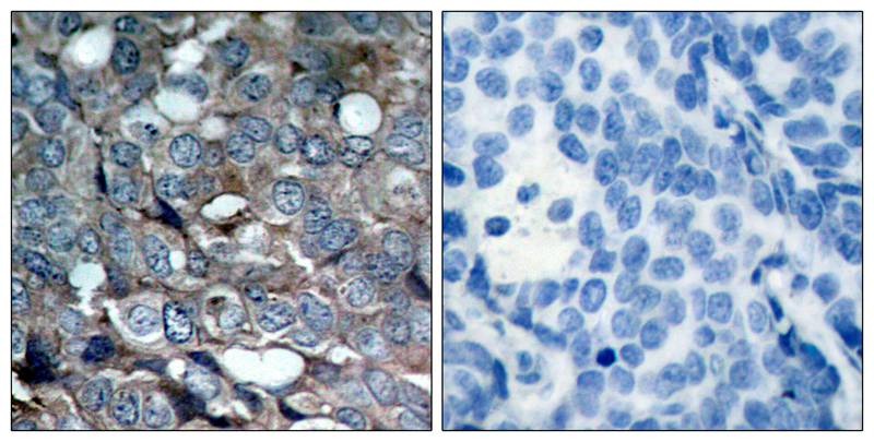
| Verified Activity | 1. Western blot analysis of extracts from K562 cells using ASK1(Phospho-Ser83) Antibody TMAC-00286(Lane 2) and the same antibody preincubated with blocking peptide(Lane1). 2. Immunohistochemical analysis of paraffin-embedded human breast carcinoma tissue using ASK1(Phospho-Ser83) Antibody TMAC-00286(left) or the same antibody preincubated with blocking peptide(right). 3. Western blot analysis of extracts from 3T3 cells, treated with Anisomycin or calf intestinal phosphatase (CIP), using ASK1 (Phospho-Ser83) Antibody TMAC-00286. ![]() ![]() ![]() |
| Application | |
| Antibody Type | Polyclonal |
| Host Species | Rabbit |
| Construction | Polyclonal Antibody |
| Purification | Antibodies were produced by immunizing rabbits with synthetic phosphopeptide and KLH conjugates. Antibodies were purified by affinity-chromatography using epitope-specific phosphopeptide. Non-phospho specific antibodies were removed by chromatogramphy using non-phosphopeptide. |
| Appearance | Liquid |
| Formulation | Supplied at 1.0mg/mL in phosphate buffered saline (without Mg2+ and Ca2+), pH 7.4, 150mM NaCl, 0.02% sodium azide and 50% glycerol. |
| Research Background | Component of a protein kinase signal transduction cascade. Phosphorylates and activates MAP2K4 and MAP2K6, which in turn activate the JNK and p38 MAP kinases, respectively. Overexpression induces apoptotic cell death. |
| Conjucates | Unconjugated |
| Others Formats | Phospho |
| Immunogen | Peptide sequence around phosphorylation site of serine 83 (G-S-S(p)-V-G) derived from Human ASK1 |
| Antigen Species | human |
| Uniprot ID |
| Stability & Storage | Store at 2°C-8°C for 1 month. Store at -20°C or -80°C for 12 months. Avoid repeated freeze-thaw cycles. |
| Transport | Shipping with blue ice. |
| Size | Quantity | Unit Price | Amount | Operation |
|---|

Copyright © 2015-2026 TargetMol Chemicals Inc. All Rights Reserved.