Shopping Cart
Remove All
Your shopping cart is currently empty
Synonyms: WCH-CD, Water channel protein for renal collecting duct, p-AQP2 (Ser256), p-AQP2 (S256), Collecting duct water channel protein, Aquaporin-CD (AQP-CD), Aquaporin-2, AQP2 (p-Ser256), AQP2 (p-S256), AQP-2, AQP2, ADH water channel
| Pack Size | Price | USA Stock | Global Stock | Quantity |
|---|---|---|---|---|
| 50 μL | $221 | 7-10 days | 7-10 days | |
| 100 μL | $372 | 7-10 days | 7-10 days | |
| 200 μL | $528 | 7-10 days | 7-10 days |
| Description | Anti-Phospho-AQP2 (Ser256) Polyclonal Antibody is a Rabbit antibody targeting Phospho-AQP2 (Ser256). Anti-Phospho-AQP2 (Ser256) Polyclonal Antibody can be used in IF,IHC-Fr,IHC-P,WB. |
| Synonyms | WCH-CD, Water channel protein for renal collecting duct, p-AQP2 (Ser256), p-AQP2 (S256), Collecting duct water channel protein, Aquaporin-CD (AQP-CD), Aquaporin-2, AQP2 (p-Ser256), AQP2 (p-S256), AQP-2, AQP2, ADH water channel |
| Ig Type | IgG |
| Reactivity | Human,Dog (predicted:Mouse,Rat,Chicken,Pig,Cow,Horse,Rabbit,Monkey) |
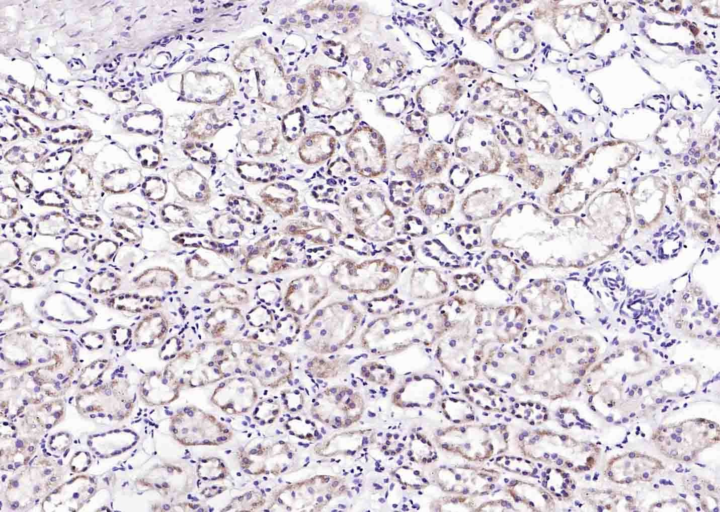
| Verified Activity | 1. Sample: MDCk (Dog) Cell Lysate at 30 μg Primary: Anti-phospho-AQP2 (Ser256) (TMAB-01391) at 1/500 dilution Secondary: IRDye800CW Goat Anti-Rabbit IgG at 1/20000 dilution Predicted band size: 29 kDa Observed band size: 29 kDa 2. Paraformaldehyde-fixed, paraffin embedded (Human kidney); Antigen retrieval by boiling in sodium citrate buffer (pH6.0) for 15 min; Block endogenous peroxidase by 3% hydrogen peroxide for 20 min; Blocking buffer (normal goat serum) at 37°C for 30 min; Antibody incubation with (phospho-AQP2 (Ser256)) Polyclonal Antibody, Unconjugated (TMAB-01391) at 1:200 overnight at 4°C, followed by operating according to SP Kit (Rabbit) instructionsand DAB staining. |
| Application | |
| Recommended Dose | WB: 1:500-2000; IHC-P: 1:100-500; IHC-Fr: 1:100-500; IF: 1:100-500 |
| Antibody Type | Polyclonal |
| Host Species | Rabbit |
| Subcellular Localization | Apical cell membrane; Multi-pass membrane protein. Cytoplasmic vesicle membrane; Multi-pass membrane protein. Note=Shuttles from vesicles to the apical membrane. |
| Tissue Specificity | Expressed in renal collecting tubules. |
| Construction | Polyclonal Antibody |
| Purification | Protein A purified |
| Appearance | Liquid |
| Formulation | 0.01M TBS (pH7.4) with 1% BSA, 0.02% Proclin300 and 50% Glycerol. |
| Concentration | 1 mg/mL |
| Research Background | This gene encodes a water channel protein located in the kidney collecting tubule. It belongs to the MIP/aquaporin family, some members of which are clustered together on chromosome 12q13. Mutations in this gene have been linked to autosomal dominant, and recessive forms of nephrogenic diabetes insipidus. Belongs to the MIP/aquaporin (TC 1.A.8) family. |
| Immunogen | KLH conjugated synthesised phosphopeptide: human AQP2 around the phosphorylation site of Ser256 |
| Antigen Species | Human |
| Gene Name | AQP2 |
| Gene ID | |
| Protein Name | Aquaporin-2 |
| Uniprot ID | |
| Biology Area | Channels |
| Function | Forms a water-specific channel that provides the plasma membranes of renal collecting duct with high permeability to water, thereby permitting water to move in the direction of an osmotic gradient. |
| Molecular Weight | Theoretical: 29 kDa. Actual: 29 kDa. |
| Stability & Storage | Store at -20°C or -80°C for 12 months. Avoid repeated freeze-thaw cycles. |
| Transport | Shipping with blue ice. |
| Size | Quantity | Unit Price | Amount | Operation |
|---|

Copyright © 2015-2026 TargetMol Chemicals Inc. All Rights Reserved.