Shopping Cart
Remove All
Your shopping cart is currently empty
Anti-Phospho-AMPK α1 (Ser496) Polyclonal Antibody is a Rabbit antibody targeting Phospho-AMPK α1 (Ser496). Anti-Phospho-AMPK α1 (Ser496) Polyclonal Antibody can be used in IF,IHC,WB.
| Pack Size | Price | USA Warehouse | Global Warehouse | Quantity |
|---|---|---|---|---|
| 50 μL | $217 | 7-10 days | 7-10 days | |
| 100 μL | $317 | 7-10 days | 7-10 days |
| Description | Anti-Phospho-AMPK α1 (Ser496) Polyclonal Antibody is a Rabbit antibody targeting Phospho-AMPK α1 (Ser496). Anti-Phospho-AMPK α1 (Ser496) Polyclonal Antibody can be used in IF,IHC,WB. |
| Synonyms | p-AMPK α1 (Ser496), p-AMPK α1 (S496), AMPK α1 (p-Ser496), AMPK α1 (p-S496) |
| Ig Type | IgG |
| Reactivity | Human |
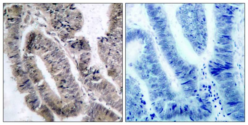
| Verified Activity | 1. Immunohistochemical analysis of paraffin-embedded human colon carcinoma tissue using AMPKα1 (Phospho-Ser496)Antibody TMAC-00184 (left) or the same antibody preincubated with blocking peptide (right). 2. Immunofluorescence staining of methanol-fixed Hela cells using AMPKα1(Phospho-Ser496)Antibody TMAC-00184. 3. Western blot analysis of extracts from HUVEC cells untreated or treated with UV using AMPKα1 (Phospho-Ser496)Antibody TMAC-00184. 4. Western blot analysis of extracts from C6 cells, treated with EGF or calf intestinal phosphatase (CIP), using AMPKα1 (Phospho-Ser496) Antibody TMAC-00184. ![]() ![]() ![]() ![]() |
| Application | |
| Antibody Type | Polyclonal |
| Host Species | Rabbit |
| Construction | Polyclonal Antibody |
| Purification | Antibodies were produced by immunizing rabbits with synthetic phosphopeptide and KLH conjugates. Antibodies were purified by affinity-chromatography using epitope-specific phosphopeptide. Non-phospho specific antibodies were removed by chromatogramphy using non-phosphopeptide. |
| Appearance | Liquid |
| Formulation | Supplied at 1.0mg/mL in phosphate buffered saline (without Mg2+ and Ca2+), pH 7.4, 150mM NaCl, 0.02% sodium azide and 50% glycerol. |
| Research Background | Responsible for the regulation of fatty acid synthesis by phosphorylation of acetyl-CoA carboxylase. It also regulates cholesterol synthesis via phosphorylation and inactivation of hormone-sensitive lipase and hydroxymethylglutaryl-CoA reductase. Appears to act as a metabolic stress-sensing protein kinase switching off biosynthetic pathways when cellular ATP levels are depleted and when 5'-AMP rises in response to fuel limitation and/or hypoxia. This is a catalytic subunit. |
| Conjucates | Unconjugated |
| Others Formats | Phospho |
| Immunogen | Peptide sequence around phosphorylation site of serine 496 (S-G- S(P)-V-S) derived from Human AMPKα1 |
| Antigen Species | human |
| Uniprot ID |
| Stability & Storage | Store at 2°C-8°C for 1 month. Store at -20°C or -80°C for 12 months. Avoid repeated freeze-thaw cycles. |
| Transport | Shipping with blue ice. |
| Size | Quantity | Unit Price | Amount | Operation |
|---|

Copyright © 2015-2026 TargetMol Chemicals Inc. All Rights Reserved.