Shopping Cart
Remove All
Your shopping cart is currently empty
Anti-Phospho-ALK (Tyr1096) Polyclonal Antibody is a Rabbit antibody targeting Phospho-ALK (Tyr1096). Anti-Phospho-ALK (Tyr1096) Polyclonal Antibody can be used in IHC.
| Pack Size | Price | USA Warehouse | Global Warehouse | Quantity |
|---|---|---|---|---|
| 50 μL | $218 | 7-10 days | 7-10 days | |
| 100 μL | $318 | 7-10 days | 7-10 days |
| Description | Anti-Phospho-ALK (Tyr1096) Polyclonal Antibody is a Rabbit antibody targeting Phospho-ALK (Tyr1096). Anti-Phospho-ALK (Tyr1096) Polyclonal Antibody can be used in IHC. |
| Synonyms | p-ALK (Y1096), p-ALK (Tyr1096), ALK (p-Y1096), ALK (p-Tyr1096) |
| Ig Type | IgG |
| Reactivity | Human |
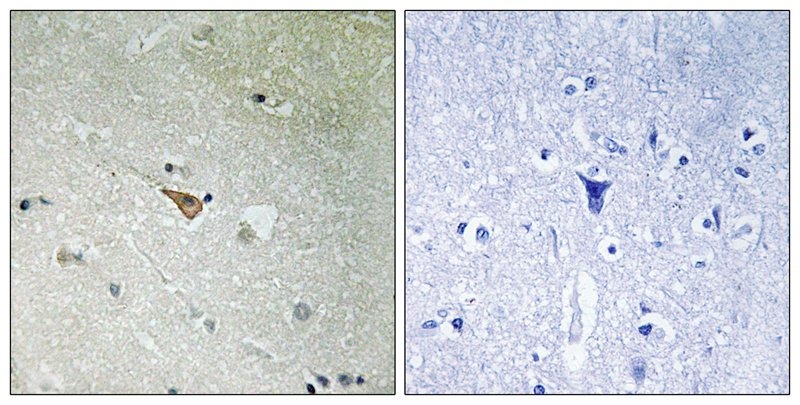
| Verified Activity | 1. Immunohistochemical analysis of paraffin-embedded human brain tissue, using ALK (Phospho-Tyr1096) antibody TMAC-00140 (left)or the same antibody preincubated with blocking peptide (right). ![]() |
| Application | |
| Recommended Dose | IHC: 1:50-100 |
| Antibody Type | Polyclonal |
| Host Species | Rabbit |
| Construction | Polyclonal Antibody |
| Purification | Antibodies were produced by immunizing rabbits with synthetic phosphopeptide and KLH conjugates. Antibodies were purified by affinity-chromatography using epitope-specific phosphopeptide. Non-phospho specific antibodies were removed by chromatogramphy using non-phosphopeptide. |
| Appearance | Liquid |
| Formulation | Rabbit IgG in phosphate buffered saline (without Mg2+ and Ca2+), pH 7.4, 150mM NaCl, 0.02% sodium azide and 50% glycerol. |
| Research Background | The 2;5 chromosomal translocation is frequently associated with anaplastic large cell lymphomas (ALCLs). The translocation creates a fusion gene consisting of the ALK (anaplastic lymphoma kinase) gene and the nucleophosmin (NPM) gene: the 3' half of ALK, derived from chromosome 2, is fused to the 5' portion of NPM from chromosome 5. A recent study shows that the product of the NPM-ALK fusion gene is oncogenic. The deduced amino acid sequences reveal that ALK is a novel receptor protein-tyrosine kinase having a putative transmembrane domain and an extracellular domain. |
| Conjucates | Unconjugated |
| Others Formats | Phospho |
| Immunogen | Peptide sequence around phosphorylation site of tyrosine 1096 (P-N-Y(p)-C-F) derived from Human ALK |
| Antigen Species | human |
| Uniprot ID |
| Molecular Weight | Actual: 176 kDa. |
| Stability & Storage | Store at -20°C or -80°C for 12 months. Avoid repeated freeze-thaw cycles. |
| Transport | Shipping with blue ice. |
| Size | Quantity | Unit Price | Amount | Operation |
|---|

Copyright © 2015-2026 TargetMol Chemicals Inc. All Rights Reserved.