Shopping Cart
Remove All
Your shopping cart is currently empty
Anti-Phospho-AKT3 (Ser472) Polyclonal Antibody is a Rabbit antibody targeting Phospho-AKT3 (Ser472). Anti-Phospho-AKT3 (Ser472) Polyclonal Antibody can be used in IF,IHC-Fr,IHC-P,WB.
| Pack Size | Price | USA Stock | Global Stock | Quantity |
|---|---|---|---|---|
| 50 μL | $220 | 7-10 days | 7-10 days | |
| 100 μL | $373 | 7-10 days | 7-10 days | |
| 200 μL | $529 | 7-10 days | 7-10 days |
| Description | Anti-Phospho-AKT3 (Ser472) Polyclonal Antibody is a Rabbit antibody targeting Phospho-AKT3 (Ser472). Anti-Phospho-AKT3 (Ser472) Polyclonal Antibody can be used in IF,IHC-Fr,IHC-P,WB. |
| Synonyms | v-akt murine thymoma viral oncogene homolog 3, p-AKT3 (Ser472), p-AKT3 (S472), Nmf350, D930002M15Rik, AKT3 (p-Ser472), AKT3 (p-S472), AI851531 |
| Ig Type | IgG |
| Reactivity | Human,Mouse,Rat (predicted:Chicken,Dog,Pig,Cow,Rabbit,Sheep) |
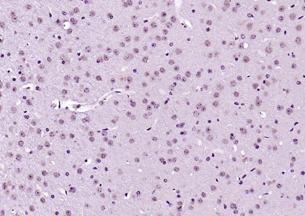
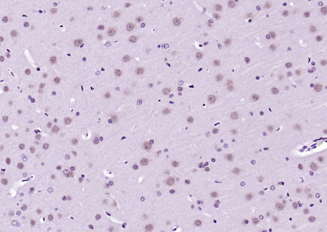
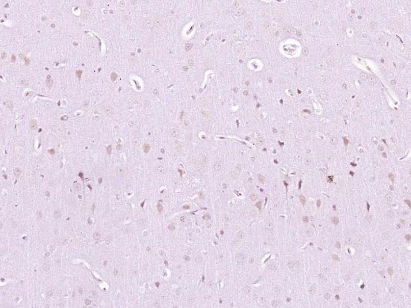
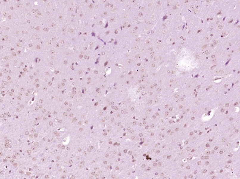
| Verified Activity | 1. Paraformaldehyde-fixed, paraffin embedded (Mouse brain); Antigen retrieval by boiling in sodium citrate buffer (pH6.0) for 15 min; Block endogenous peroxidase by 3% hydrogen peroxide for 20 min; Blocking buffer (normal goat serum) at 37°C for 30 min; Antibody incubation with (phospho-AKT3 (Ser472)) Polyclonal Antibody, Unconjugated (TMAB-01384) at 1:400 overnight at 4°C, followed by operating according to SP Kit (Rabbit) instructionsand DAB staining. 2. Tissue/cell: human lung carcinoma;4% Paraformaldehyde-fixed and paraffin-embedded; Antigen retrieval: citrate buffer (0.01M, pH6.0), Boiling bathing for 15 min; Blocking buffer (normal goat serum) at 37°C for 20 min; Incubation: Anti-phospho-AKT3 (Ser472) Polyclonal Antibody, Unconjugated (TMAB-01384) 1:200, overnight at 4°C; The secondary antibody was Goat Anti-Rabbit IgG, Cy3 conjugated used at 1:200 dilution for 40 minutes at 37°C. DAPI (5 μg/ml,blue) was used to stain the cell nucleus. 3. Paraformaldehyde-fixed, paraffin embedded (Rat brain); Antigen retrieval by boiling in sodium citrate buffer (pH6.0) for 15 min; Block endogenous peroxidase by 3% hydrogen peroxide for 20 min; Blocking buffer (normal goat serum) at 37°C for 30 min; Antibody incubation with (phospho-AKT3 (Ser472)) Polyclonal Antibody, Unconjugated (TMAB-01384) at 1:400 overnight at 4°C, followed by operating according to SP Kit (Rabbit) instructionsand DAB staining. 4. Sample: Lane 1: Huvec (Human) Cell Lysate at 30 μg Lane 2: A431 (Human) Cell Lysate at 30 μg Primary: Anti-phospho-AKT3 (Ser472) (TMAB-01384) at 1/1000 dilution Secondary: IRDye800CW Goat Anti-Rabbit IgG at 1/20000 dilution Predicted band size: 60 kDa Observed band size: 58 kDa 5. Paraformaldehyde-fixed, paraffin embedded (mouse brain); Antigen retrieval by boiling in sodium citrate buffer (pH6.0) for 15 min; Block endogenous peroxidase by 3% hydrogen peroxide for 20 min; Blocking buffer (normal goat serum) at 37°C for 30 min; Antibody incubation with (phospho-AKT3 (Ser472)) Polyclonal Antibody, Unconjugated (TMAB-01384) at 1:200 overnight at 4°C, followed by operating according to SP Kit (Rabbit) instructionsand DAB staining. 6. Paraformaldehyde-fixed, paraffin embedded (rat brain); Antigen retrieval by boiling in sodium citrate buffer (pH6.0) for 15 min; Block endogenous peroxidase by 3% hydrogen peroxide for 20 min; Blocking buffer (normal goat serum) at 37°C for 30 min; Antibody incubation with (phospho-AKT3 (Ser472)) Polyclonal Antibody, Unconjugated (TMAB-01384) at 1:200 overnight at 4°C, followed by operating according to SP Kit (Rabbit) instructionsand DAB staining. ![]() ![]() ![]() ![]() ![]() ![]() |
| Application | |
| Recommended Dose | WB: 1:500-2000; IHC-P: 1:100-500; IHC-Fr: 1:100-500; IF: 1:100-500 |
| Antibody Type | Polyclonal |
| Host Species | Rabbit |
| Construction | Polyclonal Antibody |
| Purification | Protein A purified |
| Appearance | Liquid |
| Formulation | 0.01M TBS (pH7.4) with 1% BSA, 0.02% Proclin300 and 50% Glycerol. |
| Concentration | 1 mg/mL |
| Immunogen | KLH conjugated Synthesised phosphopeptide: human AKT3 around the phosphorylation site of Ser472 |
| Antigen Species | Human |
| Gene Name | AKT3 |
| Protein Name | RAC-gamma serine/threonine-protein kinase |
| Uniprot ID |
| Molecular Weight | Theoretical: 56 kDa. Actual: 58 kDa. |
| Stability & Storage | Store at -20°C or -80°C for 12 months. Avoid repeated freeze-thaw cycles. |
| Transport | Shipping with blue ice. |
| Size | Quantity | Unit Price | Amount | Operation |
|---|

Copyright © 2015-2026 TargetMol Chemicals Inc. All Rights Reserved.