Shopping Cart
Remove All
Your shopping cart is currently empty
Anti-Phospho-AKT1 (Thr308) Polyclonal Antibody is a Rabbit antibody targeting Phospho-AKT1 (Thr308). Anti-Phospho-AKT1 (Thr308) Polyclonal Antibody can be used in IF,IHC,WB.
| Pack Size | Price | USA Warehouse | Global Warehouse | Quantity |
|---|---|---|---|---|
| 50 μL | $217 | 7-10 days | 7-10 days | |
| 100 μL | $317 | 7-10 days | 7-10 days |
| Description | Anti-Phospho-AKT1 (Thr308) Polyclonal Antibody is a Rabbit antibody targeting Phospho-AKT1 (Thr308). Anti-Phospho-AKT1 (Thr308) Polyclonal Antibody can be used in IF,IHC,WB. |
| Synonyms | p-AKT1 (Thr308), p-AKT1 (T308), AKT1 (p-Thr308), AKT1 (p-T308) |
| Ig Type | IgG |
| Reactivity | Human,Mouse,Rat |
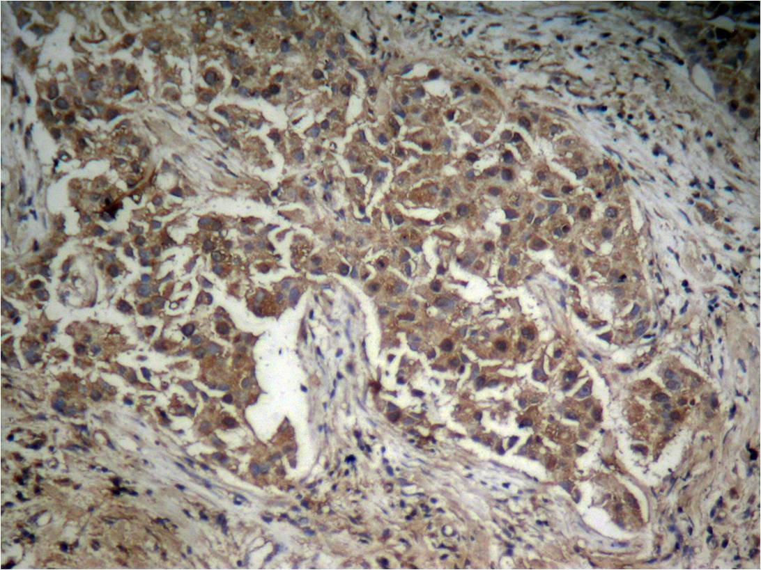
| Verified Activity | 1. Western blot analysis of extracts from Hela cells untreated or treated with EGF, serum or both using Akt(Phospho-Thr308) Antibody TMAC-00116. 2. Immunohistochemical analysis of paraffin-embedded human lung carcinoma tissue, using Akt (Phospho-Thr308) Antibody TMAC-00116 (left) or the same antibody preincubated with blocking peptide (right). 3. Immunofluorescence staining of methanol-fixed Hela cells showing nuclear dot staining using Akt(Phospho-Thr308) Antibody TMAC-00116. 4. Immunohistochemical analysis of paraffin-embedded human lung carcinoma tissue, using Akt (Phospho-Thr308) Antibody TMAC-00116. 5. Immunofluorescence staining of methanol-fixed Hela cells showing nuclear dot staining using Akt (Phospho-Thr308) Antibody TMAC-00116. ![]() ![]() ![]() ![]() ![]() |
| Application | |
| Antibody Type | Polyclonal |
| Host Species | Rabbit |
| Construction | Polyclonal Antibody |
| Purification | Antibodies were produced by immunizing rabbits with synthetic phosphopeptide and KLH conjugates. Antibodies were purified by affinity-chromatography using epitope-specific phosphopeptide. Non-phospho specific antibodies were removed by chromatogramphy using non-phosphopeptide. |
| Appearance | Liquid |
| Formulation | Supplied at 1.0mg/mL in phosphate buffered saline (without Mg2+ and Ca2+), pH 7.4, 150mM NaCl, 0.02% sodium azide and 50% glycerol. |
| Research Background | General protein kinase capable of phosphorylating several known proteins. Phosphorylates TBC1D4. Signals downstream of phosphatidylinositol 3-kinase (PI3K) to mediate the effects of various growth factors such as platelet-derived growth factor (PDGF), epidermal growth factor (EGF), insulin and insulin-like growth factor I (IGF-I). Plays a role in glucose transport by mediating insulin-induced translocation of the GLUT4 glucose transporter to the cell surface. Mediates the antiapoptotic effects of IGF-I. Mediates insulin-stimulated protein synthesis by phosphorylating TSC2 at 'Ser-939' and 'Thr-1462', thereby activating mTORC1 signaling and leading to both phosphorylation of 4E-BP1 and in activation of RPS6KB1. Promotes glycogen synthesis by mediating the insulin-induced activation of glycogen synthase. |
| Conjucates | Unconjugated |
| Others Formats | Phospho |
| Immunogen | Peptide sequence around phosphorylation site of threonine 308 (M-K-T(p)-F-C) derived from Human Akt |
| Antigen Species | human |
| Uniprot ID |
| Stability & Storage | Store at 2°C-8°C for 1 month. Store at -20°C or -80°C for 12 months. Avoid repeated freeze-thaw cycles. |
| Transport | Shipping with blue ice. |
| Size | Quantity | Unit Price | Amount | Operation |
|---|

Copyright © 2015-2026 TargetMol Chemicals Inc. All Rights Reserved.