Shopping Cart
Remove All
Your shopping cart is currently empty
Anti-Phospho-AKT1 (Thr450) Antibody (2R55) is a Rabbit antibody targeting Phospho-AKT1 (Thr450). Anti-Phospho-AKT1 (Thr450) Antibody (2R55) can be used in IHC,IP,WB.
| Pack Size | Price | USA Warehouse | Global Warehouse | Quantity |
|---|---|---|---|---|
| 50 μL | $296 | 7-10 days | 7-10 days | |
| 100 μL | $498 | 7-10 days | 7-10 days |
| Description | Anti-Phospho-AKT1 (Thr450) Antibody (2R55) is a Rabbit antibody targeting Phospho-AKT1 (Thr450). Anti-Phospho-AKT1 (Thr450) Antibody (2R55) can be used in IHC,IP,WB. |
| Synonyms | p-AKT1 (Thr450), p-AKT1 (T450), AKT1 (p-Thr450), AKT1 (p-T450) |
| Ig Type | IgG |
| Clone | 2R55 |
| Reactivity | Human,Mouse,Rat |
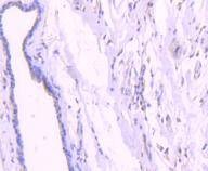
| Verified Activity | 1. Western blot analysis of Phospho-AKT1 (T450) on MCF-7 cells lysates using anti-Phospho-AKT1 (T450) antibody at 1/1,000 dilution. 2. Immunohistochemical analysis of paraffin-embedded human breast carcinoma tissue using anti-Phospho-AKT1 (T450) antibody. Counter stained with hematoxylin. ![]() ![]() |
| Application | |
| Recommended Dose | WB: 1:1000-2000; IHC: 1:50-100 |
| Antibody Type | Monoclonal |
| Host Species | Rabbit |
| Construction | Recombinant Antibody |
| Purification | ProA affinity purified |
| Appearance | Liquid |
| Formulation | 1*TBS (pH7.4), 1%BSA, 40%Glycerol. Preservative: 0.05% Sodium Azide. |
| Research Background | The serine/threonine kinase Akt family contains several members, including Akt1 (also designated PKB or RacPK), Akt2 and Akt 3, which exhibit sequence homology with the protein kinase A and C families and are encoded by the c-Akt proto-oncogene. All members of the Akt family have a pleckstrin homology domain. Akt1 and Akt2 are activated by PDGF stimulation. This activation is dependent on PDGFR-β tyrosine residues 740 and 751, which bind the subunit of the phosphatidylinositol 3-kinase (PI 3-kinase) complex. Activation of Akt1 by insulin or insulin-growth factor-1(IGF-1) results in phosphorylation of both Thr 308 and Ser 473. Phosphorylation of both residues is important to generate a high level of Akt1 activity, and the phosphorylation of Thr 308 is not dependent on phosphorylation of Ser 473 in vivo. Thus, Akt proteins become phosphorylated and activated in insulin/IGF-1-stimulated cells by an upstream kinase(s). The activation of Akt1 and Akt2 is inhibited by the PI kinase inhibitor wortmannin, suggesting that the protein signals downstream of the PI kinases. |
| Conjucates | Unconjugated |
| Others Formats | Phospho |
| Immunogen | A synthesized phosphopeptide: human AKT1 around the phosphorylation site of Thr450 |
| Antigen Species | human |
| Uniprot ID |
| Molecular Weight | Theoretical: 56 kDa. |
| Stability & Storage | Store at -20°C or -80°C for 12 months. Avoid repeated freeze-thaw cycles. |
| Transport | Shipping with blue ice. |
| Size | Quantity | Unit Price | Amount | Operation |
|---|

Copyright © 2015-2026 TargetMol Chemicals Inc. All Rights Reserved.