Shopping Cart
Remove All
Your shopping cart is currently empty
Anti-Phospho-AKT1/2/3 (Tyr315/316/312) Polyclonal Antibody is a Rabbit antibody targeting Phospho-AKT1/2/3 (Tyr315/316/312). Anti-Phospho-AKT1/2/3 (Tyr315/316/312) Polyclonal Antibody can be used in IF,IHC,WB.
| Pack Size | Price | USA Warehouse | Global Warehouse | Quantity |
|---|---|---|---|---|
| 50 μL | $218 | 7-10 days | 7-10 days | |
| 100 μL | $317 | 7-10 days | 7-10 days |
| Description | Anti-Phospho-AKT1/2/3 (Tyr315/316/312) Polyclonal Antibody is a Rabbit antibody targeting Phospho-AKT1/2/3 (Tyr315/316/312). Anti-Phospho-AKT1/2/3 (Tyr315/316/312) Polyclonal Antibody can be used in IF,IHC,WB. |
| Synonyms | p-AKT1/2/3 (Y315/316/312), p-AKT1/2/3 (Tyr315/316/312), AKT1/2/3 (p-Y315/316/312), AKT1/2/3 (p-Tyr315/316/312) |
| Ig Type | IgG |
| Reactivity | Human,Mouse,Rat |
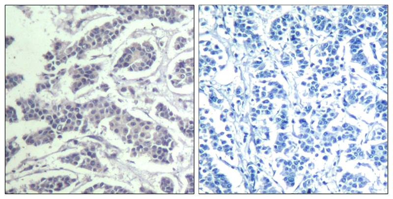
| Verified Activity | 1. Western blot analysis of extracts from HepG2 cells untreated or treated with EGF using AKT1/AKT2/AKT3(phospho-Tyr315/316/312) Antibody TMAC-00128. 2. Immunohistochemical analysis of paraffin-embedded human breast carcinoma tissue using AKT1/AKT2/AKT3(Phospho-Tyr315/316/312) Antibody TMAC-00128(left) or the same antibody preincubated with blocking peptide(right). 3. Immunofluorescence staining of methanol-fixed Hela cells using AKT1/AKT2/AKT3(phospho-Tyr315/316/312) Antibody TMAC-00128. 4. Western blot analysis of extracts from 3T3 cells, treated with EGF or calf intestinal phosphatase (CIP), using AKT1/AKT2/AKT3 (phospho-Tyr315/316/312) Antibody TMAC-00128. 5. Western blot analysis of extracts of various cell lines, using AKT1/AKT2/AKT3(phospho-Tyr315/316/312) Antibody. ![]() ![]() ![]() ![]() ![]() |
| Application | |
| Antibody Type | Polyclonal |
| Host Species | Rabbit |
| Construction | Polyclonal Antibody |
| Purification | Antibodies were produced by immunizing rabbits with synthetic phosphopeptide and KLH conjugates. Antibodies were purified by affinity-chromatography using epitope-specific phosphopeptide. Non-phospho specific antibodies were removed by chromatogramphy using non-phosphopeptide. |
| Appearance | Liquid |
| Formulation | Supplied at 1.0mg/mL in phosphate buffered saline (without Mg2+ and Ca2+), pH 7.4, 150mM NaCl, 0.02% sodium azide and 50% glycerol. |
| Research Background | General protein kinase capable of phosphorylating several known proteins. Phosphorylates TBC1D4. Signals downstream of phosphatidylinositol 3-kinase (PI3K) to mediate the effects of various growth factors such as platelet-derived growth factor (PDGF), epidermal growth factor (EGF), insulin and insulin-like growth factor I (IGF-I). Plays a role in glucose transport by mediating insulin-induced translocation of the GLUT4 glucose transporter to the cell surface. Mediates the antiapoptotic effects of IGF-I. Mediates insulin-stimulated protein synthesis by phosphorylating TSC2 at 'Ser-939' and 'Thr-1462', thereby activating mTORC1 signaling and leading to both phosphorylation of 4E-BP1 and in activation of RPS6KB1. Promotes glycogen synthesis by mediating the insulin-induced activation of glycogen synthase. /General protein kinase capable of phosphorylating several known proteins. IGF-1 leads to the activation of AKT3, which may play a role in regulating cell survival. Capable of phosphorylating several known proteins. Truncated isoform 2/PKB gamma 1 without the second serine phosphorylation site could still be stimulated but to a lesser extent. |
| Conjucates | Unconjugated |
| Others Formats | Phospho |
| Immunogen | Peptide sequence around phosphorylation site of tyrosine 315/316/312 (P-E-Y(p)-L-A) derived from Human AKT1/AKT2/AKT3 |
| Antigen Species | human |
| Uniprot ID |
| Stability & Storage | Store at 2°C-8°C for 1 month. Store at -20°C or -80°C for 12 months. Avoid repeated freeze-thaw cycles. |
| Transport | Shipping with blue ice. |
| Size | Quantity | Unit Price | Amount | Operation |
|---|

Copyright © 2015-2026 TargetMol Chemicals Inc. All Rights Reserved.