Shopping Cart
Remove All
Your shopping cart is currently empty
Anti-Phospho-ADD1 (Ser726) Polyclonal Antibody is a Rabbit antibody targeting Phospho-ADD1 (Ser726). Anti-Phospho-ADD1 (Ser726) Polyclonal Antibody can be used in IF,IHC,WB.
| Pack Size | Price | USA Warehouse | Global Warehouse | Quantity |
|---|---|---|---|---|
| 50 μL | $216 | 7-10 days | 7-10 days | |
| 100 μL | $318 | 7-10 days | 7-10 days |
| Description | Anti-Phospho-ADD1 (Ser726) Polyclonal Antibody is a Rabbit antibody targeting Phospho-ADD1 (Ser726). Anti-Phospho-ADD1 (Ser726) Polyclonal Antibody can be used in IF,IHC,WB. |
| Synonyms | p-ADD1 (Ser726), p-ADD1 (S726), ADD1 (p-Ser726), ADD1 (p-S726) |
| Ig Type | IgG |
| Reactivity | Human,Mouse,Rat |
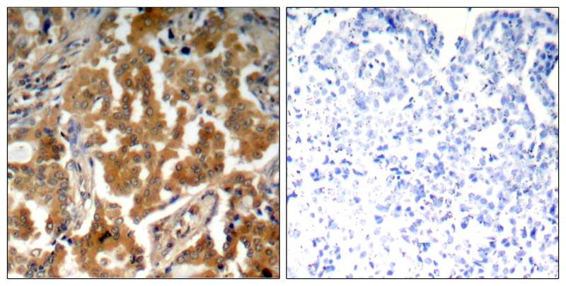
| Verified Activity | 1. Western blot analysis of extracts from Hela cells using ADD1(Phospho-Ser726) Antibody TMAC-00089 and the same antibody preincubated with blocking peptide. 2. Immunohistochemical analysis of paraffin-embedded human lung carcinoma tissue using ADD1(Phospho-Ser726) Antibody TMAC-00089(left) or the same antibody preincubated with blocking peptide(right). 3. Immunofluorescence staining of methanol-fixed Hela cells using ADD1(Phospho-Ser726) Antibody TMAC-00089. ![]() ![]() ![]() |
| Application | |
| Recommended Dose | WB: 1:500-1000; IHC: 1:50-100; IF: 1:100-200 |
| Antibody Type | Polyclonal |
| Host Species | Rabbit |
| Construction | Polyclonal Antibody |
| Purification | Antibodies were produced by immunizing rabbits with synthetic phosphopeptide and KLH conjugates. Antibodies were purified by affinity-chromatography using epitope-specific phosphopeptide. Non-phospho specific antibodies were removed by chromatogramphy using non-phosphopeptide. |
| Appearance | Liquid |
| Formulation | Supplied at 1.0mg/mL in phosphate buffered saline (without Mg2+ and Ca2+), pH 7.4, 150mM NaCl, 0.02% sodium azide and 50% glycerol. |
| Research Background | Adducins are a family of cytoskeleton proteins encoded by three genes (a, beta, gamma). Adducin is a heterodimeric protein that consists of related subunits, which are produced from distinct genes but share a similar structure. a- and beta-adducin include a protease-resistant N-terminal region and a protease-sensitive, hydrophilic C-terminal region. a- and gamma-adducins are ubiquitously expressed. In contrast, beta-adducin is expressed at high levels in brain and hematopoietic tissues. Adducin binds with high affinity to Ca(2+)/calmodulin and is a substrate for protein kinases A and C. Alternative splicing results in multiple variants encoding distinct isoforms; however, not all variants have been fully described. |
| Conjucates | Unconjugated |
| Others Formats | Phospho |
| Immunogen | Peptide sequence around phosphorylation site of serine 726 (T-P-S(p)-F-L) derived from Human ADD1 |
| Antigen Species | human |
| Uniprot ID |
| Stability & Storage | Store at 2°C-8°C for 1 month. Store at -20°C or -80°C for 12 months. Avoid repeated freeze-thaw cycles. |
| Transport | Shipping with blue ice. |
| Size | Quantity | Unit Price | Amount | Operation |
|---|

Copyright © 2015-2026 TargetMol Chemicals Inc. All Rights Reserved.