Shopping Cart
Remove All
Your shopping cart is currently empty
Anti-Phospho-ACK1 (Tyr284) Polyclonal Antibody is a Rabbit antibody targeting Phospho-ACK1 (Tyr284). Anti-Phospho-ACK1 (Tyr284) Polyclonal Antibody can be used in IF,IHC,WB.
| Pack Size | Price | USA Warehouse | Global Warehouse | Quantity |
|---|---|---|---|---|
| 50 μL | $218 | 7-10 days | 7-10 days | |
| 100 μL | $318 | 7-10 days | 7-10 days |
| Description | Anti-Phospho-ACK1 (Tyr284) Polyclonal Antibody is a Rabbit antibody targeting Phospho-ACK1 (Tyr284). Anti-Phospho-ACK1 (Tyr284) Polyclonal Antibody can be used in IF,IHC,WB. |
| Synonyms | p-ACK1 (Y284), p-ACK1 (Tyr284), ACK1 (p-Y284), ACK1 (p-Tyr284) |
| Ig Type | IgG |
| Reactivity | Human,Mouse |
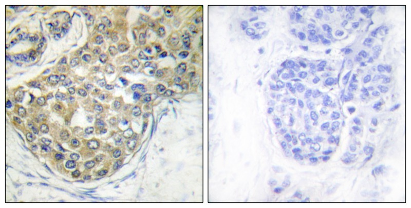
| Verified Activity | 1. Western blot analysis of extracts from HepG2 cells treated with EGF using ACK1 (Phospho-Tyr284) Antibody TMAC-00070.The lane on the right is treated with the antigen-specific peptide. 2. Immunohistochemical analysis of paraffin-embedded human breast carcinoma tissue using ACK1 (Phospho-Tyr284) antibody TMAC-00070 (left)or the same antibody preincubated with blocking peptide (right). 3. Immunofluorescence staining of methanol-fixed A549 cells using ACK1 (Phospho-Tyr284) Antibody TMAC-00070. ![]() ![]() ![]() |
| Application | |
| Recommended Dose | WB: 1:500-1000; IHC: 1:50-100; IF: 1:100-200 |
| Antibody Type | Polyclonal |
| Host Species | Rabbit |
| Construction | Polyclonal Antibody |
| Purification | Antibodies were produced by immunizing rabbits with synthetic phosphopeptide and KLH conjugates. Antibodies were purified by affinity-chromatography using epitope-specific phosphopeptide. Non-phospho specific antibodies were removed by chromatogramphy using non-phosphopeptide. |
| Appearance | Liquid |
| Formulation | Rabbit IgG in phosphate buffered saline (without Mg2+ and Ca2+), pH 7.4, 150mM NaCl, 0.02% sodium azide and 50% glycerol. |
| Research Background | Non-receptor tyrosine-protein and serine/threonine-protein kinase that is implicated in cell spreading and migration, cell survival, cell growth and proliferation. Transduces extracellular signals to cytosolic and nuclear effectors. Phosphorylates AKT1, AR, MCF2, WASL and WWOX. Implicated in trafficking and clathrin-mediated endocytosis through binding to epidermal growth factor receptor (EGFR) and clathrin. Binds to both poly- and mono-ubiquitin and regulates ligand-induced degradation of EGFR, thereby contributing to the accumulation of EGFR at the limiting membrane of early endosomes. |
| Conjucates | Unconjugated |
| Others Formats | Phospho |
| Immunogen | Peptide sequence around phosphorylation site of tyrosine 284 (D-H-Y(p)-V-M) derived from Human ACK1 |
| Antigen Species | human |
| Uniprot ID |
| Molecular Weight | Actual: 120 kDa. |
| Stability & Storage | Store at -20°C or -80°C for 12 months. Avoid repeated freeze-thaw cycles. |
| Transport | Shipping with blue ice. |
| Size | Quantity | Unit Price | Amount | Operation |
|---|

Copyright © 2015-2026 TargetMol Chemicals Inc. All Rights Reserved.