Shopping Cart
Remove All
Your shopping cart is currently empty
Anti-Phospho-53BP1 (Ser25) Polyclonal Antibody is a Rabbit antibody targeting Phospho-53BP1 (Ser25). Anti-Phospho-53BP1 (Ser25) Polyclonal Antibody can be used in IF,IHC.
| Pack Size | Price | USA Warehouse | Global Warehouse | Quantity |
|---|---|---|---|---|
| 50 μL | $218 | 7-10 days | 7-10 days | |
| 100 μL | $318 | 7-10 days | 7-10 days |
| Description | Anti-Phospho-53BP1 (Ser25) Polyclonal Antibody is a Rabbit antibody targeting Phospho-53BP1 (Ser25). Anti-Phospho-53BP1 (Ser25) Polyclonal Antibody can be used in IF,IHC. |
| Synonyms | p-53BP1 (Ser25), p-53BP1 (S25), 53BP1 (p-Ser25), 53BP1 (p-S25) |
| Ig Type | IgG |
| Reactivity | Human,Mouse,Rat |
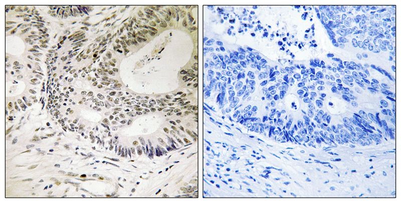
| Verified Activity | 1. Immunohistochemistry analysis of paraffin-embedded human colon carcinoma tissue using 53BP1 (Phospho-Ser25) antibody TMAC-00026. The picture on the right is treated with the synthesized peptide. 2. Immunofluorescence analysis of NIH/3T3 cells, using 53BP1 (Phospho-Ser25) antibody TMAC-00026. The picture on the right is treated with the synthesized peptide. ![]() ![]() |
| Application | |
| Recommended Dose | IHC: 1:50-100; IF: 1:100-500 |
| Antibody Type | Polyclonal |
| Host Species | Rabbit |
| Construction | Polyclonal Antibody |
| Purification | Antibodies were produced by immunizing rabbits with synthetic phosphopeptide and KLH conjugates. Antibodies were purified by affinity-chromatography using epitope-specific phosphopeptide. Non-phospho specific antibodies were removed by chromatogramphy using non-phosphopeptide. |
| Appearance | Liquid |
| Formulation | Rabbit IgG in phosphate buffered saline (without Mg2+ and Ca2+), pH 7.4, 150mM NaCl, 0.02% sodium azide and 50% glycerol. |
| Research Background | Plays a key role in the response to DNA damage. May have a role in checkpoint signaling during mitosis. Enhances TP53-mediated transcriptional activation. |
| Conjucates | Unconjugated |
| Others Formats | Phospho |
| Immunogen | Peptide sequence around phosphorylation site of serine 25 (E-D-S(p)-Q-P) derived from Human 53BP1 |
| Antigen Species | human |
| Uniprot ID |
| Molecular Weight | Theoretical: 213 kDa. |
| Stability & Storage | Store at -20°C or -80°C for 12 months. Avoid repeated freeze-thaw cycles. |
| Transport | Shipping with blue ice. |
| Size | Quantity | Unit Price | Amount | Operation |
|---|

Copyright © 2015-2026 TargetMol Chemicals Inc. All Rights Reserved.