Shopping Cart
Remove All
Your shopping cart is currently empty
Anti-Phospho-4EBP1 (Thr46) Polyclonal Antibody is a Rabbit antibody targeting Phospho-4EBP1 (Thr46). Anti-Phospho-4EBP1 (Thr46) Polyclonal Antibody can be used in IHC,WB.
| Pack Size | Price | USA Warehouse | Global Warehouse | Quantity |
|---|---|---|---|---|
| 50 μL | $216 | 7-10 days | 7-10 days | |
| 100 μL | $317 | 7-10 days | 7-10 days |
| Description | Anti-Phospho-4EBP1 (Thr46) Polyclonal Antibody is a Rabbit antibody targeting Phospho-4EBP1 (Thr46). Anti-Phospho-4EBP1 (Thr46) Polyclonal Antibody can be used in IHC,WB. |
| Synonyms | p-4EBP1 (Thr46), p-4EBP1 (T46), 4EBP1 (p-Thr46), 4EBP1 (p-T46) |
| Ig Type | IgG |
| Reactivity | Human,Mouse,Rat |
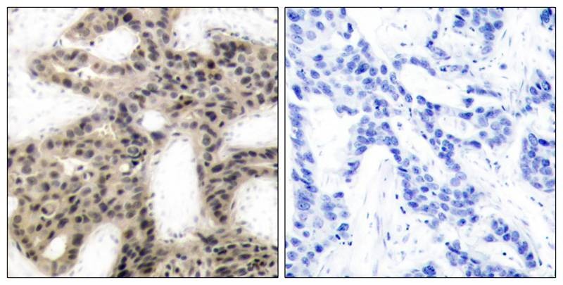
| Verified Activity | 1. Western blot analysis of extracts from Hela cells using 4E-BP1 (Phospho-Thr46) Antibody TMAC-00022 and the same antibody preincubated with blocking peptide. 2. Immunohistochemical analysis of paraffin-embedded human breast carcinoma tissue using 4E-BP1(Phospho-Thr45) Antibody TMAC-00022(left) or the same antibody preincubated with blocking peptide(right). ![]() ![]() |
| Application | |
| Recommended Dose | WB: 1:500-1000; IHC: 1:50-100 |
| Antibody Type | Polyclonal |
| Host Species | Rabbit |
| Construction | Polyclonal Antibody |
| Purification | Antibodies were produced by immunizing rabbits with synthetic phosphopeptide and KLH conjugates. Antibodies were purified by affinity-chromatography using epitope-specific phosphopeptide. Non-phospho specific antibodies were removed by chromatogramphy using non-phosphopeptide. |
| Appearance | Liquid |
| Formulation | Supplied at 1.0mg/mL in phosphate buffered saline (without Mg2+ and Ca2+), pH 7.4, 150mM NaCl, 0.02% sodium azide and 50% glycerol. |
| Research Background | 4E-BP1 encodes one member of a family of translation repressor proteins. The protein directly interacts with eukaryotic translation initiation factor 4E (eIF4E), which is a limiting component of the multisubunit complex that recruits 40S ribosomal subunits to the 5' end of mRNAs. Interaction of this protein with eIF4E inhibits complex assembly and represses translation. This protein is phosphorylated in response to various signals including UV irradiation and insulin signaling, resulting in its dissociation from eIF4E and activation of mRNA translation. |
| Conjucates | Unconjugated |
| Others Formats | Phospho |
| Immunogen | Peptide sequence around phosphorylation site of threonine 46 (S-T-T(p)-P-G) derived from Human 4E-BP1 |
| Antigen Species | human |
| Uniprot ID |
| Stability & Storage | Store at 2°C-8°C for 1 month. Store at -20°C or -80°C for 12 months. Avoid repeated freeze-thaw cycles. |
| Transport | Shipping with blue ice. |
| Size | Quantity | Unit Price | Amount | Operation |
|---|

Copyright © 2015-2026 TargetMol Chemicals Inc. All Rights Reserved.