Shopping Cart
Remove All
Your shopping cart is currently empty
Anti-PFKFB3 Antibody (1B165) is a Rabbit antibody targeting PFKFB3. Anti-PFKFB3 Antibody (1B165) can be used in FCM,ICC,IHC,IP,WB.
| Pack Size | Price | USA Warehouse | Global Warehouse | Quantity |
|---|---|---|---|---|
| 50 μL | $298 | 7-10 days | 7-10 days | |
| 100 μL | $497 | 7-10 days | 7-10 days |
| Description | Anti-PFKFB3 Antibody (1B165) is a Rabbit antibody targeting PFKFB3. Anti-PFKFB3 Antibody (1B165) can be used in FCM,ICC,IHC,IP,WB. |
| Synonyms | PFK2, PFK/FBPase 3, iPFK-2, IPFK2 |
| Ig Type | IgG |
| Clone | 1B165 |
| Reactivity | Human,Mouse,Rat |
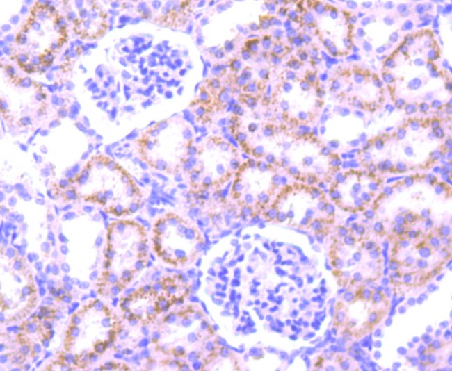
| Verified Activity | 1. Western blot analysis of PFKFB3 on different cell lysates using anti-PFKFB3 antibody at 1/1,000 dilution. Positive control: Lane 1: Hela, Lane 2: PC-12, Lane 3: A431. 2. Immunohistochemical analysis of paraffin-embedded rat kidney tissue using anti-PFKFB3 antibody. Counter stained with hematoxylin. 3. Immunohistochemical analysis of paraffin-embedded mouse colon tissue using anti-PFKFB3 antibody. Counter stained with hematoxylin. 4. ICC staining PFKFB3 in A549 cells (green). The nuclear counter stain is DAPI (blue). Cells were fixed in paraformaldehyde, permeabilised with 0.25% Triton X100/PBS. 5. ICC staining PFKFB3 in Hela cells (green). The nuclear counter stain is DAPI (blue). Cells were fixed in paraformaldehyde, permeabilised with 0.25% Triton X100/PBS. 6. Flow cytometric analysis of A431 cells with PFKFB3 antibody at 1/100 dilution (red) compared with an unlabelled control (cells without incubation with primary antibody; black). ![]() ![]() ![]() ![]() ![]() ![]() |
| Application | |
| Recommended Dose | WB: 1:500-1000; IHC: 1:50-200; ICC: 1:50-200; FCM: 1:50-100 |
| Antibody Type | Monoclonal |
| Host Species | Rabbit |
| Construction | Recombinant Antibody |
| Purification | ProA affinity purified |
| Appearance | Liquid |
| Formulation | 1*TBS (pH7.4), 1%BSA, 40%Glycerol. Preservative: 0.05% Sodium Azide. |
| Research Background | Among the enzymes playing role in glycolysis,four allosteric PFKFB enzymes 1?C4 expressed by four independent PFKFB genes, catalyze the rate-limiting phosphorylation of fructose-6-phosphate to fructose-1, 6-bisphosphate, using ATP as the energy source in the glycolysis pathway. Among these four allosteric enzymes, PFKFB3 enzyme retains the highest Kinase/Biphosphatase activity ratio and is expressed by PFKFB3 gene which has been demonstrated to be highly expressed in leukemic cells and in solid tumors. Moreover, mitogenic, hypoxic and inflammatory conditions have an inductive effect on the expression of PFKFB3. Hence upregulation of PFKFB genes specific to cancer cells compared to their normal counterparts (from the same patients) with more robust over-expression in breast and lung cancer make it a more appropriate target. |
| Conjucates | Unconjugated |
| Immunogen | Recombinant Protein |
| Uniprot ID |
| Stability & Storage | Store at -20°C or -80°C for 12 months. Avoid repeated freeze-thaw cycles. |
| Transport | Shipping with blue ice. |
| Size | Quantity | Unit Price | Amount | Operation |
|---|

Copyright © 2015-2026 TargetMol Chemicals Inc. All Rights Reserved.