Shopping Cart
Remove All
Your shopping cart is currently empty
Anti-PERP Antibody (9S923) is a Rabbit antibody targeting PERP. Anti-PERP Antibody (9S923) can be used in ICC/IF,WB.
| Pack Size | Price | USA Warehouse | Global Warehouse | Quantity |
|---|---|---|---|---|
| 50 μL | $298 | 7-10 days | 7-10 days | |
| 100 μL | $498 | 7-10 days | 7-10 days |
| Description | Anti-PERP Antibody (9S923) is a Rabbit antibody targeting PERP. Anti-PERP Antibody (9S923) can be used in ICC/IF,WB. |
| Synonyms | Transmembrane protein THW, THW, PIGPC1, PERP, P53-induced protein PIGPC1, p53 apoptosis effector related to PMP-22, KRTCAP1, Keratinocyte-associated protein 1 (KCP-1), KCP1 |
| Ig Type | IgG |
| Clone | 9S923 |
| Reactivity | Human,Mouse,Rat |
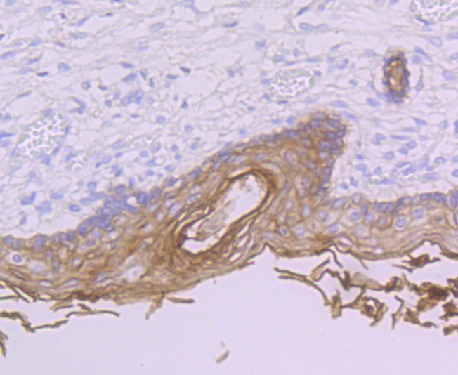
| Verified Activity | 1. Western blot analysis of PERP on human skin tissue lysate using anti-PERP antibody at 1/1,000 dilution. 2. Immunohistochemical analysis of paraffin-embedded human skin tissue using anti-PERP antibody. Counter stained with hematoxylin. 3. Immunohistochemical analysis of paraffin-embedded mouse small intestine tissue using anti-PERP antibody. Counter stained with hematoxylin. ![]() ![]() ![]() |
| Application | |
| Recommended Dose | WB: 1:500-2000; IHC: 1:50-200 |
| Antibody Type | Monoclonal |
| Host Species | Rabbit |
| Construction | Recombinant Antibody |
| Purification | ProA affinity purified |
| Appearance | Liquid |
| Formulation | 1*TBS (pH7.4), 1%BSA, 40%Glycerol. Preservative: 0.05% Sodium Azide. |
| Research Background | Component of intercellular desmosome junctions. Plays a role in stratified epithelial integrity and cell-cell adhesion by promoting desmosome assembly. Plays a role as an effector in the TP53-dependent apoptotic pathway. |
| Conjucates | Unconjugated |
| Immunogen | Recombinant Protein |
| Uniprot ID |
| Molecular Weight | Theoretical: 21 kDa. |
| Stability & Storage | Store at -20°C or -80°C for 12 months. Avoid repeated freeze-thaw cycles. |
| Transport | Shipping with blue ice. |
| Size | Quantity | Unit Price | Amount | Operation |
|---|

Copyright © 2015-2026 TargetMol Chemicals Inc. All Rights Reserved.