Shopping Cart
Remove All
Your shopping cart is currently empty
Synonyms: Protein kinase, PRO0461, PkB like 1, PkB kinase like gene 1, PkB kinase, PDPK2P, PDPK1_HUMAN, Pdpk1, PDPK 2, PDK1, OTTHUMP00000174525, OTTHUMP00000159110, OTTHUMP00000159109, MGC35290, MGC20087, hPDK1, hPDK 1, 3-phosphoinositide-dependent protein kinase 1, 3 phosphoinositide dependent protein kinase 1
| Pack Size | Price | USA Stock | Global Stock | Quantity |
|---|---|---|---|---|
| 50 μL | $296 | 7-10 days | 7-10 days | |
| 100 μL | $496 | 7-10 days | 7-10 days |
| Description | Anti-PDPK1 Antibody (6S392) is a Rabbit antibody targeting PDPK1. Anti-PDPK1 Antibody (6S392) can be used in ICC/IF,IHC,WB. |
| Synonyms | Protein kinase, PRO0461, PkB like 1, PkB kinase like gene 1, PkB kinase, PDPK2P, PDPK1_HUMAN, Pdpk1, PDPK 2, PDK1, OTTHUMP00000174525, OTTHUMP00000159110, OTTHUMP00000159109, MGC35290, MGC20087, hPDK1, hPDK 1, 3-phosphoinositide-dependent protein kinase 1, 3 phosphoinositide dependent protein kinase 1 |
| Ig Type | IgG |
| Clone | 6S392 |
| Reactivity | Human,Mouse,Rat |
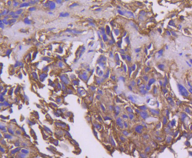
| Verified Activity | 1. Western blot analysis of PDPK1 on different lysates using anti-PDPK1 antibody at 1/1,000 dilution. Positive control: Lane 1: 293T, Lane 2: PC-12, Lane 3: HL-60. 2. Immunohistochemical analysis of paraffin-embedded human breast carcinoma tissue using anti-PDPK1 antibody. Counter stained with hematoxylin. 3. Immunohistochemical analysis of paraffin-embedded mouse kidney tissue using anti-PDPK1 antibody. Counter stained with hematoxylin. 4. Immunohistochemical analysis of paraffin-embedded human colon cancer tissue using anti-PDPK1 antibody. Counter stained with hematoxylin. 5. Immunohistochemical analysis of paraffin-embedded human kidney tissue using anti-PDPK1 antibody. Counter stained with hematoxylin. 6. ICC staining PDPK1 in Hela cells (green). The nuclear counter stain is DAPI (blue). Cells were fixed in paraformaldehyde, permeabilised with 0.25% Triton X100/PBS. 7. ICC staining PDPK1 in MCF-7 cells (green). The nuclear counter stain is DAPI (blue). Cells were fixed in paraformaldehyde, permeabilised with 0.25% Triton X100/PBS. 8. ICC staining PDPK1 in SW480 cells (green). The nuclear counter stain is DAPI (blue). Cells were fixed in paraformaldehyde, permeabilised with 0.25% Triton X100/PBS. |
| Application | |
| Recommended Dose | WB: 1:1000-2000; IHC: 1:50-200; ICC/IF: 1:100-500 |
| Antibody Type | Monoclonal |
| Host Species | Rabbit |
| Construction | Recombinant Antibody |
| Purification | ProA affinity purified |
| Appearance | Liquid |
| Formulation | 1*TBS (pH7.4), 1%BSA, 40%Glycerol. Preservative: 0.05% Sodium Azide. |
| Research Background | PDPK1 (3-phosphoinositide dependent protein kinase 1), also known as PDK1, PDPK2, PDPK2P or PRO0461, is 556 amino acid ubiquitously expressed protein that localizes to the cell membrane, cytoplasm and nucleus. Acting as a master kinase, PDPK1 phosphorylates and activates a subgroup of the AGC family of protein kinases. PDPK1 is involved in mediating signal transduction for controlling proliferation, survival, and growth of developing pancreatic beta cells, regulating Ca2+ uptake and Ca2+-activated K+ channels of mast cells, regulation of chemotaxis and motility of vascular endothelial cells, cardiac homeostasis, and thymocyte development. Belonging to the protein kinase superfamily, PDPK1 contains a PH domain, which play an essential role in homodimerization, localization and nuclear import of PDPK1, and a protein kinase domain. PDPK1 exists as five alternatively spliced isoforms and is encoded by a gene located on human chromosome 16p13.3. |
| Conjucates | Unconjugated |
| Immunogen | Recombinant Protein |
| Uniprot ID |
| Molecular Weight | Theoretical: 63/48 kDa. |
| Stability & Storage | Store at -20°C or -80°C for 12 months. Avoid repeated freeze-thaw cycles. |
| Transport | Shipping with blue ice. |
| Size | Quantity | Unit Price | Amount | Operation |
|---|

Copyright © 2015-2026 TargetMol Chemicals Inc. All Rights Reserved.