Shopping Cart
Remove All
Your shopping cart is currently empty
Anti-PDK2 Antibody (1C819) is a Rabbit antibody targeting PDK2. Anti-PDK2 Antibody (1C819) can be used in FCM,IHC,IP,WB.
| Pack Size | Price | USA Warehouse | Global Warehouse | Quantity |
|---|---|---|---|---|
| 50 μL | $298 | 7-10 days | 7-10 days | |
| 100 μL | $497 | 7-10 days | 7-10 days |
| Description | Anti-PDK2 Antibody (1C819) is a Rabbit antibody targeting PDK2. Anti-PDK2 Antibody (1C819) can be used in FCM,IHC,IP,WB. |
| Synonyms | Pyruvate dehydrogenase lipoamide kinase isozyme 2, mitochondrial, Pyruvate dehydrogenase kinase, isozyme 2, Pyruvate dehydrogenase kinase isoform 2, PDK2_HUMAN, PDK 2, PDHK2, mitochondrial, [Pyruvate dehydrogenase [lipoamide]] kinase isozyme 2 |
| Ig Type | IgG |
| Clone | 1C819 |
| Reactivity | Human,Mouse,Rat |
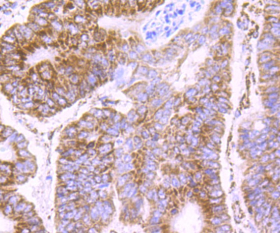
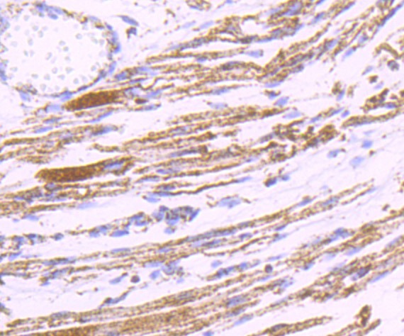
| Verified Activity | 1. Western blot analysis of PDK2 on rat heart tissue lysate using anti-PDK2 antibody at 1/500 dilution. 2. Immunohistochemical analysis of paraffin-embedded rat brain tissue using anti-PDK2 antibody. Counter stained with hematoxylin. 3. Immunohistochemical analysis of paraffin-embedded human colon cancer tissue using anti-PDK2 antibody. Counter stained with hematoxylin. 4. Immunohistochemical analysis of paraffin-embedded human fetal skeletal muscle tissue using anti-PDK2 antibody. Counter stained with hematoxylin. 5. Immunohistochemical analysis of paraffin-embedded mouse cerebellum tissue using anti-PDK2 antibody. Counter stained with hematoxylin. 6. Flow cytometric analysis of SH-SY-5Y cells with PDK2 antibody at 1/100 dilution (red) compared with an unlabelled control (cells without incubation with primary antibody; black). Alexa Fluor 488-conjugated goat anti-rabbit IgG was used as the secondary antibody. ![]() ![]() ![]() ![]() ![]() ![]() |
| Application | |
| Recommended Dose | WB: 1:500; IHC: 1:50-200; FCM: 1:50-100 |
| Antibody Type | Monoclonal |
| Host Species | Rabbit |
| Construction | Recombinant Antibody |
| Purification | ProA affinity purified |
| Appearance | Liquid |
| Formulation | 1*TBS (pH7.4), 1%BSA, 40%Glycerol. Preservative: 0.05% Sodium Azide. |
| Research Background | Pyruvate dehydrogenase kinase family members (PDK1, 2, 3, 4) are serine kinases that catalyze the phosphorylation of the E1α subunit of the pyruvate dehydrogenase complex (PDC). PDC activity is controlled through phosphorylation and dephosphorylation of the E1α subunit, which leads to inactivation and reactivation, respectively. The core of PDC is composed of sixty dihydrolypoyl acetyltransferase (E2) subunits that bind directly to PDK2 and enhance PDK2 kinase activity. Upregulation of PDK isoenzymes occurs during starvation conditions, rerouting acetyl-CoA generation by facilitating fatty acid oxidation. PDKs contain five conserved regions and are mechanistically similar to bacterial His-kinases, in that both require Histidine residues for activity. In mammals, transcripts for PDK2 are ubiquitously expressed with high levels in heart and skeletal muscle and decreased levels in spleen and lung. |
| Conjucates | Unconjugated |
| Immunogen | Recombinant Protein |
| Uniprot ID |
| Molecular Weight | Theoretical: 46 kDa. |
| Stability & Storage | Store at -20°C or -80°C for 12 months. Avoid repeated freeze-thaw cycles. |
| Transport | Shipping with blue ice. |
| Size | Quantity | Unit Price | Amount | Operation |
|---|

Copyright © 2015-2026 TargetMol Chemicals Inc. All Rights Reserved.