Shopping Cart
Remove All
Your shopping cart is currently empty
Anti-PDIA3 Antibody (8V206) is a Rabbit antibody targeting PDIA3. Anti-PDIA3 Antibody (8V206) can be used in IHC,IP,WB.
| Pack Size | Price | USA Warehouse | Global Warehouse | Quantity |
|---|---|---|---|---|
| 50 μL | $297 | 7-10 days | 7-10 days | |
| 100 μL | $496 | 7-10 days | 7-10 days |
| Description | Anti-PDIA3 Antibody (8V206) is a Rabbit antibody targeting PDIA3. Anti-PDIA3 Antibody (8V206) can be used in IHC,IP,WB. |
| Synonyms | Protein disulfide-isomerase A3, PDIA3 protein, ER protein 57, Disulfide isomerase ER-60, 58 kDa glucose-regulated protein |
| Ig Type | IgG |
| Clone | 8V206 |
| Reactivity | Human |
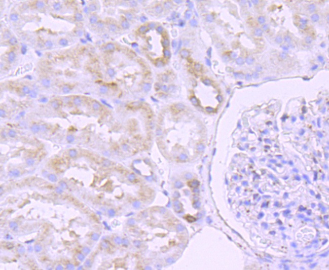
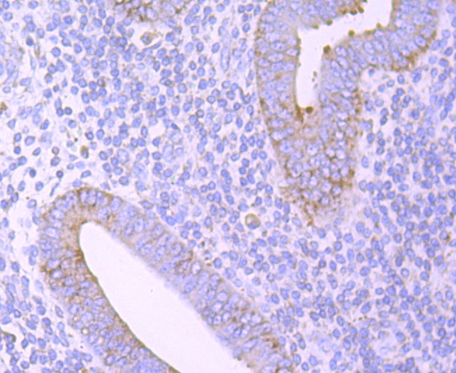
| Verified Activity | 1. Western blot analysis of ERp57 on different cells lysates using anti-ERp57 antibody at 1/500 dilution. Positive control: Line 1: Hela, Line 2: HepG2, Line 3:293T. 2. Immunohistochemical analysis of paraffin-embedded human kidney tissue using anti-ERp57 antibody. Counter stained with hematoxylin. 3. Immunohistochemical analysis of paraffin-embedded human pancreas tissue using anti-ERp57 antibody. Counter stained with hematoxylin. 4. Immunohistochemical analysis of paraffin-embedded human uterus tissue using anti-ERp57 antibody. Counter stained with hematoxylin. ![]() ![]() ![]() ![]() |
| Application | |
| Recommended Dose | WB: 1:500-1000; IHC: 1:50-200; IP: 1:10-50 |
| Antibody Type | Monoclonal |
| Host Species | Rabbit |
| Construction | Recombinant Antibody |
| Purification | ProA affinity purified |
| Appearance | Liquid |
| Formulation | 1*TBS (pH7.4), 1%BSA, 40%Glycerol. Preservative: 0.05% Sodium Azide. |
| Research Background | Mammals defend themselves against intracellular pathogens through presentation of cytoplasmically-derived short pathogenic peptides to the cell surface of cytotoxic T lymphocytes, which subsequently leads to cytotoxic events with respect to the affected cell. Antigen presentation is mediated by major histocompatibility complex (MHC) class I molecules, which bind and coordinate short pathogenic peptides. MHC class I molecules assemble in the endoplasmic reticulum with chaperones before binding to the transporter associated with antigen processing (TAP). ERp57, also designated GRP57, GRP58, ERp60 and ERp61, is a component of the MHC class I pathway that appears to interact with MHC class I molecules before they associate with TAP. The human ERp57 gene maps to chromosome 15q15 and encodes a 505 amino acid protein. ERp57 has two Trp-Cys-Gly-His-Cys-Lys motifs completely conserved among the mammals. ERp57 may act as a protease, a protein disulfide isomerase, a phospholipase or a combination of these. |
| Conjucates | Unconjugated |
| Immunogen | Recombinant Protein |
| Uniprot ID |
| Molecular Weight | Theoretical: 55 kDa. |
| Stability & Storage | Store at -20°C or -80°C for 12 months. Avoid repeated freeze-thaw cycles. |
| Transport | Shipping with blue ice. |
| Size | Quantity | Unit Price | Amount | Operation |
|---|

Copyright © 2015-2026 TargetMol Chemicals Inc. All Rights Reserved.