Shopping Cart
Remove All
Your shopping cart is currently empty
Anti-PD-1 Antibody (6A192) is a Rabbit antibody targeting PD-1. Anti-PD-1 Antibody (6A192) can be used in IHC,WB.
| Pack Size | Price | USA Warehouse | Global Warehouse | Quantity |
|---|---|---|---|---|
| 50 μL | $296 | 7-10 days | 7-10 days | |
| 100 μL | $497 | 7-10 days | 7-10 days |
| Description | Anti-PD-1 Antibody (6A192) is a Rabbit antibody targeting PD-1. Anti-PD-1 Antibody (6A192) can be used in IHC,WB. |
| Synonyms | SLEB2, programmed cell death 1, PD-1, PD1, hSLE1, hPD-l, hPD-1, CD279 |
| Ig Type | IgG |
| Clone | 6A192 |
| Reactivity | Human |
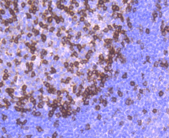
| Verified Activity | 1. Western blot analysis of over-expressed PD1 (whole extracellular domain) on 293T cell lysate using anti-PD1 antibody at 1/500 dilution. 2. Immunohistochemical analysis of paraffin-embedded human tonsil tissue using anti-PD1 antibody. Counter stained with hematoxylin. ![]() ![]() |
| Application | |
| Recommended Dose | WB: 1:500-1000; IHC: 1:50-200 |
| Antibody Type | Monoclonal |
| Host Species | Rabbit |
| Construction | Recombinant Antibody |
| Purification | ProA affinity purified |
| Appearance | Liquid |
| Formulation | 1*TBS (pH7.4), 1%BSA, 40%Glycerol. Preservative: 0.05% Sodium Azide. |
| Research Background | Pdcd-1 (Programmed Cell Death-1 protein), also designated CD279, is a type I transmembrane receptor and a member of the immunoglobin gene superfamily. Pdcd-1 contains an immunoreceptor tyrosine-based inhibitory motif (ITIM) within the cytoplasmic domain, which is conserved between the mouse and human homologs. Expression of Pdcd-1 is detected in mouse thymus, and it is induced in stimulated B and T cell lines, where it may play a role in the negative regulation of various immune responses. Receptors such as Pdcd-1 function by recruiting tyrosine phosphatases, including SHP-1 and SHIP, which are responsible for altering various B cell responses. Additionally, in activated lymphocytes, Pdcd-1 mediates the activation of the classical type of programmed cell death. |
| Conjucates | Unconjugated |
| Immunogen | Recombinant Protein |
| Uniprot ID |
| Molecular Weight | Theoretical: 32 kDa. |
| Stability & Storage | Store at -20°C or -80°C for 12 months. Avoid repeated freeze-thaw cycles. |
| Transport | Shipping with blue ice. |
| Size | Quantity | Unit Price | Amount | Operation |
|---|

Copyright © 2015-2026 TargetMol Chemicals Inc. All Rights Reserved.