Shopping Cart
Remove All
Your shopping cart is currently empty
Anti-PCSK9 Polyclonal Antibody is a Rabbit antibody targeting PCSK9. Anti-PCSK9 Polyclonal Antibody can be used in FCM, ICC/IF, IF, IHC-Fr, IHC-P, WB.
| Pack Size | Price | USA Stock | Global Stock | Quantity |
|---|---|---|---|---|
| 50 μL | $220 | 7-10 days | 7-10 days | |
| 100 μL | $374 | 7-10 days | 7-10 days | |
| 200 μL | $528 | 7-10 days | 7-10 days |
| Description | Anti-PCSK9 Polyclonal Antibody is a Rabbit antibody targeting PCSK9. Anti-PCSK9 Polyclonal Antibody can be used in FCM, ICC/IF, IF, IHC-Fr, IHC-P, WB. |
| Synonyms | proprotein convertase subtilisin/kexin type 9, PC9, NARC-1, NARC1, LDLCQ1, HCHOLA3, FH3 |
| Ig Type | IgG |
| Reactivity | Human,Mouse,Rat |
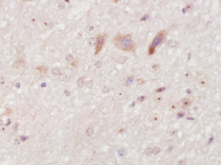
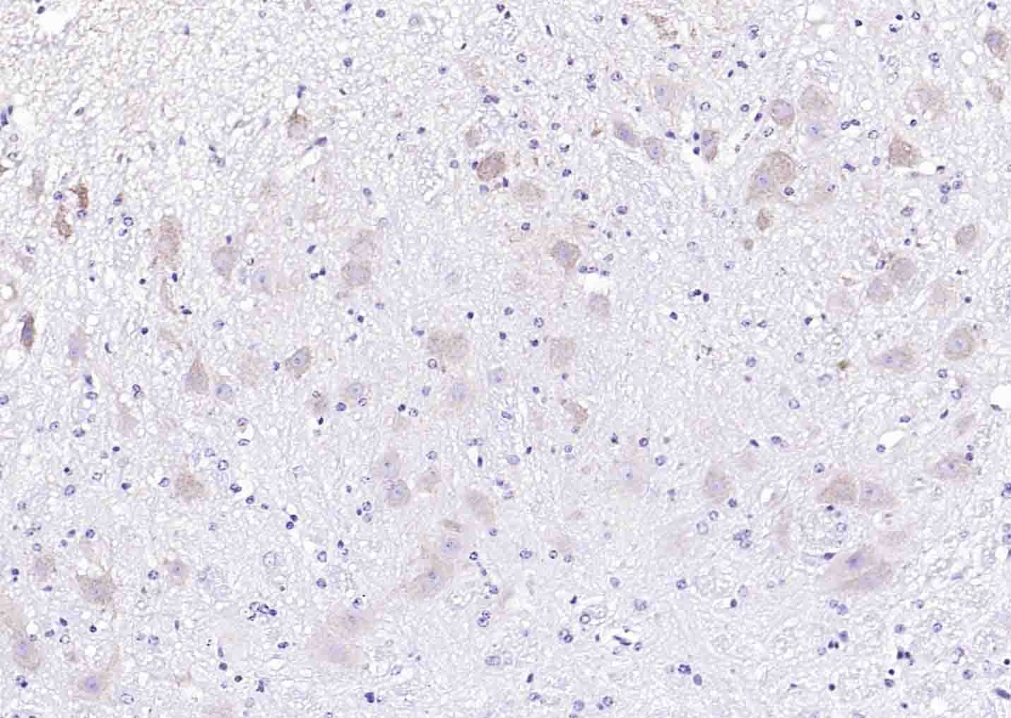
| Verified Activity | 1. Paraformaldehyde-fixed, paraffin embedded (Rat brain); Antigen retrieval by boiling in sodium citrate buffer (pH6.0) for 15 min; Block endogenous peroxidase by 3% hydrogen peroxide for 20 min; Blocking buffer (normal goat serum) at 37°C for 30 min; Antibody incubation with (NARC1 PCSK9) Polyclonal Antibody, Unconjugated (TMAB-01345) at 1:400 overnight at 4°C, followed by operating according to SP Kit (Rabbit) instructionsand DAB staining. 2. Paraformaldehyde-fixed, paraffin embedded (Mouse brain); Antigen retrieval by boiling in sodium citrate buffer (pH6.0) for 15 min; Block endogenous peroxidase by 3% hydrogen peroxide for 20 min; Blocking buffer (normal goat serum) at 37°C for 30 min; Antibody incubation with (NARC1 PCSK9) Polyclonal Antibody, Unconjugated (TMAB-01345) at 1:400 overnight at 4°C, followed by operating according to SP Kit (Rabbit) instructionsand DAB staining. 3. Sample: Lane 1: HepG2 (Human) Cell Lysate at 30 μg Lane 2: SW480 (Human) Cell Lysate at 30 μg Primary: Anti-NARC1/PCSK9 (TMAB-01345) at 1/1000 dilution Secondary: IRDye800CW Goat Anti-Rabbit IgG at 1/20000 dilution Predicted band size: 72 kDa Observed band size: 70 kDa 4. A431 cell; 4% Paraformaldehyde-fixed; Triton X-100 at room temperature for 20 min; Blocking buffer (normal goat serum) at 37°C for 20 min; Antibody incubation with (NARC1/PCSK9) polyclonal Antibody, Unconjugated (TMAB-01345) 1:100, 90 minutes at 37°C; followed by a conjugated Goat Anti-Rabbit IgG antibody at 37°C for 90 minutes, DAPI (blue) was used to stain the cell nucleus. 5. Sample: Lane 1: A431 (Human) Cell Lysate at 30 μg Lane 2: Uterus (Mouse) Lysate at 40 μg Primary: Anti-NARC1/PCSK9 (TMAB-01345) at 1/1000 dilution Secondary: IRDye800CW Goat Anti-Rabbit IgG at 1/20000 dilution Predicted band size: 72 kDa Observed band size: 70 kD 6. Blank control: K562. Primary Antibody (green line): Rabbit Anti-NARC1/PCSK9 antibody (TMAB-01345) Dilution: 2 μg/10^6 cells; Isotype Control Antibody (orange line): Rabbit IgG. Secondary Antibody: Goat anti-rabbit IgG-FITC Dilution: 0.5 μg/test. Protocol The cells were fixed with 4% PFA (10 min at room temperature) and then permeabilized with 90% ice-cold methanol for 20 min at-20°C. The cells were then incubated in 5% BSA to block non-specific protein-protein interactions for 30 min at room temperature. Cells stained with Primary Antibody for 30 min at room temperature. The secondary antibody used for 40 min at room temperature. 7. Paraformaldehyde-fixed, paraffin embedded (mouse cerebellum); Antigen retrieval by boiling in sodium citrate buffer (pH6.0) for 15 min; Block endogenous peroxidase by 3% hydrogen peroxide for 20 min; Blocking buffer (normal goat serum) at 37°C for 30 min; Antibody incubation with (NARC1/PCSK9) Polyclonal Antibody, Unconjugated (TMAB-01345) at 1:200 overnight at 4°C, followed by operating according to SP Kit (Rabbit) instructionsand DAB staining. 8. Sample: Lane 1: Recombinant human PCSK9 protein, C-His (HEK293) Primary: Anti-NARC1/PCSK9 (TMAB-01345) at 1/1000 dilution Secondary: IRDye800CW Goat Anti-Rabbit IgG at 1/20000 dilution Predicted band size: 57 kDa Observed band size: 63 kDa ![]() ![]() ![]() ![]() ![]() ![]() ![]() ![]() |
| Application | |
| Recommended Dose | FCM=2 μg/Test; ICC/IF=1:100-500; IF=1:100-500; IHC-Fr=1:100-500; IHC-P=1:100-500; WB=1:500-2000 |
| Antibody Type | Polyclonal |
| Host Species | Rabbit |
| Subcellular Localization | Secreted. |
| Tissue Specificity | Expressed in neuro-epithelioma, colon carcinoma, hepatic and pancreatic cell lines, and in Schwann cells. |
| Construction | Polyclonal Antibody |
| Purification | Protein A purified |
| Appearance | Liquid |
| Formulation | 0.01M TBS (pH7.4) with 1% BSA, 0.02% Proclin300 and 50% Glycerol. |
| Concentration | 1 mg/mL |
| Research Background | May be implicated in the differentiation of cortical neurons and may play a role in cholesterol homeostasis. |
| Immunogen | KLH conjugated synthetic peptide: human PCSK9/NARC1 |
| Antigen Species | Human |
| Gene Name | PCSK9 |
| Gene ID | |
| Protein Name | Proprotein convertase subtilisin/kexin type 9 |
| Uniprot ID | |
| Biology Area | Cholesterol Metabolism,Proprotein Convertases,Amino acid metabolism,Cholesterol Metabolism,Amino Acids,Lipid metabolism,Intracellular |
| Function | The precursor protein but not the mature protein may form multimers. |
| Molecular Weight | Theoretical: 57 kDa. Actual: 65 kDa. |
| Stability & Storage | Store at -20°C or -80°C for 12 months. Avoid repeated freeze-thaw cycles. |
| Transport | Shipping with blue ice. |
| Size | Quantity | Unit Price | Amount | Operation |
|---|

Copyright © 2015-2026 TargetMol Chemicals Inc. All Rights Reserved.