Shopping Cart
Remove All
Your shopping cart is currently empty
Anti-PCNA Antibody (5V918) is a Mouse antibody targeting PCNA. Anti-PCNA Antibody (5V918) can be used in IHC,WB.
| Pack Size | Price | USA Warehouse | Global Warehouse | Quantity |
|---|---|---|---|---|
| 50 μL | $218 | 7-10 days | 7-10 days | |
| 100 μL | $318 | 7-10 days | 7-10 days |
| Description | Anti-PCNA Antibody (5V918) is a Mouse antibody targeting PCNA. Anti-PCNA Antibody (5V918) can be used in IHC,WB. |
| Synonyms | proliferating cell nuclear antigen, ATLD2 |
| Clone | 5V918 |
| Reactivity | Human,Mouse |
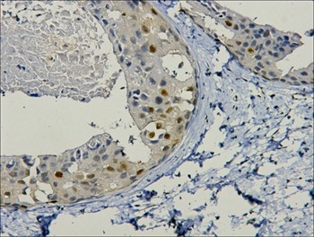
| Verified Activity | 1. Western blot analysis of Hela (lane 1), Rat brain (lane 2), NIH 3T3 (lane 3), 293T (lane 4), using TMAC-03100 diluted at 1:5000. 2. IHC staining of paraffin- embedded Human breast cancer tissue with PCNA mouse mAb diluted at 1:200. ![]() ![]() |
| Application | |
| Recommended Dose | WB: 1:5000; IHC: 1:200 |
| Antibody Type | Monoclonal |
| Host Species | Mouse |
| Construction | Hybridoma Monoclonal Antibody |
| Purification | Affinity purification using immunogen. |
| Appearance | Liquid |
| Formulation | Mouse IgG1 in phosphate buffered saline (without Mg2+ and Ca2+), pH 7.4, 150mM NaCl, 0.02% sodium azide and 50% glycerol. |
| Research Background | PCNA is a marker for cells in early G1 phase and S phase of the cell cycle. It is found in the nucleus and is a cofactor of DNA polymerase delta. PCNA acts as a homotrimer and helps increase the processivity of leading strand synthesis during DNA replication. In response to DNA damage, PCNA is ubiquitinated and is involved in the RAD6 dependent DNA repair pathway. Two transcript variants encoding the same protein have been found for PCNA. Pseudogenes of this gene have been described on chromosome 4 and on the X chromosome. |
| Conjucates | Unconjugated |
| Uniprot ID |
| Molecular Weight | Actual: 36 kDa. |
| Stability & Storage | Store at -20°C or -80°C for 12 months. Avoid repeated freeze-thaw cycles. |
| Transport | Shipping with blue ice. |
| Size | Quantity | Unit Price | Amount | Operation |
|---|

Copyright © 2015-2026 TargetMol Chemicals Inc. All Rights Reserved.