Shopping Cart
Remove All
Your shopping cart is currently empty
Anti-PAX8 Antibody (4E844) is a Rabbit antibody targeting PAX8. Anti-PAX8 Antibody (4E844) can be used in ICC/IF,IHC.
| Pack Size | Price | USA Warehouse | Global Warehouse | Quantity |
|---|---|---|---|---|
| 50 μL | $298 | 7-10 days | 7-10 days | |
| 100 μL | $497 | 7-10 days | 7-10 days |
| Description | Anti-PAX8 Antibody (4E844) is a Rabbit antibody targeting PAX8. Anti-PAX8 Antibody (4E844) can be used in ICC/IF,IHC. |
| Synonyms | paired box 8 |
| Ig Type | IgG |
| Clone | 4E844 |
| Reactivity | Human,Mouse,Rat |
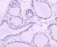
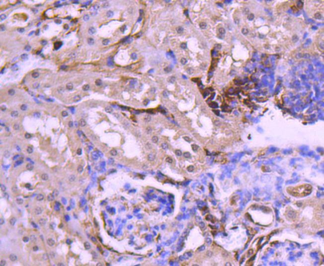
| Verified Activity | 1. Immunohistochemical analysis of paraffin-embedded human thyroid tissue using anti-PAX8 antibody. Counter stained with hematoxylin. 2. Immunohistochemical analysis of paraffin-embedded human kidney tissue using anti-PAX8 antibody. Counter stained with hematoxylin. 3. Immunohistochemical analysis of paraffin-embedded mouse kidney tissue using anti-PAX8 antibody. Counter stained with hematoxylin. 4. ICC staining PAX8 in SKOV-3 cells (green). The nuclear counter stain is DAPI (blue). Cells were fixed in paraformaldehyde, permeabilised with 0.25% Triton X100/PBS. ![]() ![]() ![]() ![]() |
| Application | |
| Recommended Dose | IHC: 1:50-200; ICC/IF: 1:50-200 |
| Antibody Type | Monoclonal |
| Host Species | Rabbit |
| Construction | Recombinant Antibody |
| Purification | ProA affinity purified |
| Appearance | Liquid |
| Formulation | 1*TBS (pH7.4), 1%BSA, 40%Glycerol. Preservative: 0.05% Sodium Azide. |
| Research Background | The Pax family encodes transcription factors that function during embryogenesis and regulate the temporal and position-dependent differentiation of cells. Pax-8 is expressed in the developing and adult thyroid, the developing secretory system and at lower levels, in the adult kidney. Pax-8 complexes with TTF-1 and TTF-2 to induce thyroid follicular cell differentiation and thyroid hormone biosynthesis by regulating the expression of sodium iodide symporter (NIS), thyroid peroxidase (TPO), thyroglobulin (TG) and the thyrotropin receptor (TSHR). Treatment of FRTL-5 cells with TGFβ1 decreases Pax-8 mRNA levels and Pax-8 DNA binding activity, which suppresses the expression of TG and the formation of thyrocytes. Patients who have autosomal dominant mutations of the Pax-8 gene develop thyroid dysgenesis. The Pax-8 gene produces six isoforms, A to F, that are generated by alternative splicing and differ in their carboxy-terminal regions. The Pax-8 isoforms display different DNA binding capacities and are thought to be functionally distinct. The gene which encodes Pax-8 maps to human chromosome 2q12-q14. |
| Conjucates | Unconjugated |
| Immunogen | Recombinant Protein |
| Uniprot ID |
| Stability & Storage | Store at -20°C or -80°C for 12 months. Avoid repeated freeze-thaw cycles. |
| Transport | Shipping with blue ice. |
| Size | Quantity | Unit Price | Amount | Operation |
|---|

Copyright © 2015-2026 TargetMol Chemicals Inc. All Rights Reserved.