Shopping Cart
Remove All
Your shopping cart is currently empty
Anti-Pax2 Antibody (6X420) is a Rabbit antibody targeting Pax2. Anti-Pax2 Antibody (6X420) can be used in IHC,WB.
| Pack Size | Price | USA Warehouse | Global Warehouse | Quantity |
|---|---|---|---|---|
| 50 μL | $297 | 7-10 days | 7-10 days | |
| 100 μL | $498 | 7-10 days | 7-10 days |
| Description | Anti-Pax2 Antibody (6X420) is a Rabbit antibody targeting Pax2. Anti-Pax2 Antibody (6X420) can be used in IHC,WB. |
| Synonyms | Pax 2, PAPRS, Paired box protein Pax-2, Paired box protein Pax2, Paired box protein Pax 2, paired box protein 2, paired box homeotic gene 2, Paired box gene 2, Paired box 2, FSGS7 |
| Ig Type | IgG |
| Clone | 6X420 |
| Reactivity | Human |
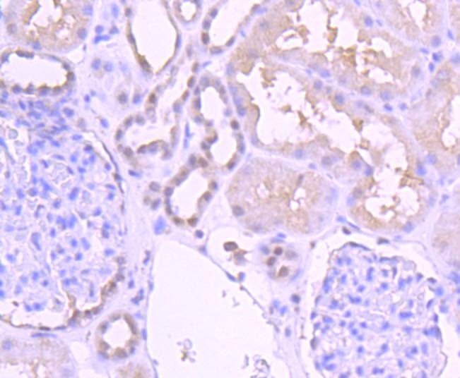
| Verified Activity | 1. Immunohistochemical analysis of paraffin-embedded human kidney tissue using anti-Pax2 antibody. Counter stained with hematoxylin. ![]() |
| Application | |
| Recommended Dose | WB: 1:1000; IHC: 1:50-100 |
| Antibody Type | Monoclonal |
| Host Species | Rabbit |
| Construction | Recombinant Antibody |
| Purification | ProA affinity purified |
| Appearance | Liquid |
| Formulation | 1*TBS (pH7.4), 1%BSA, 40%Glycerol. Preservative: 0.05% Sodium Azide. |
| Research Background | Pax genes contain paired domains with strong homology to genes in Drosophila which are involved in programming early development. The PAX2 gene is expressed in primitive cells of the kidney, ureter, eye, ear, and central nervous system. More specifically, in human embryo sections, PAX2 is expressed in the optic vesicle and later in the retina, in the otic vesicle and later in the semicircular canals of the inner ear, and in mesonephros, metanephros, adrenals, spinal cord, and hindbrain. PAX2 mutations can be responsible for renal hypoplasia, either isolated or associated with various ophthalmologic manifestations ranging from retinal coloboma to microphthalmia. Lesions in the PAX6 gene accounts for most cases of aniridia, a congenital malformation of the eye, chiefly characterized by iris hypoplasia, which can cause blindness. PAX6 is involved in other anterior segment malformations besides aniridia, such as Peters anomaly, a major error in the embryonic development of the eye with corneal clouding with variable iridolenticulocorneal adhesions. |
| Conjucates | Unconjugated |
| Immunogen | Recombinant Protein |
| Uniprot ID |
| Molecular Weight | Theoretical: 45 kDa. |
| Stability & Storage | Store at -20°C or -80°C for 12 months. Avoid repeated freeze-thaw cycles. |
| Transport | Shipping with blue ice. |
| Size | Quantity | Unit Price | Amount | Operation |
|---|

Copyright © 2015-2026 TargetMol Chemicals Inc. All Rights Reserved.