Shopping Cart
Remove All
Your shopping cart is currently empty
Anti-p73 Antibody (2O496) is a Rabbit antibody targeting p73. Anti-p73 Antibody (2O496) can be used in ICC/IF,IHC,WB.
| Pack Size | Price | USA Warehouse | Global Warehouse | Quantity |
|---|---|---|---|---|
| 50 μL | $298 | 7-10 days | 7-10 days | |
| 100 μL | $497 | 7-10 days | 7-10 days |
| Description | Anti-p73 Antibody (2O496) is a Rabbit antibody targeting p73. Anti-p73 Antibody (2O496) can be used in ICC/IF,IHC,WB. |
| Synonyms | Tumor protein p73, TP73, P73_HUMAN, p53-related protein, p53-like transcription factor, p53 related protein, p53 like transcription factor, p 73 |
| Ig Type | IgG |
| Clone | 2O496 |
| Reactivity | Human,Mouse,Rat |
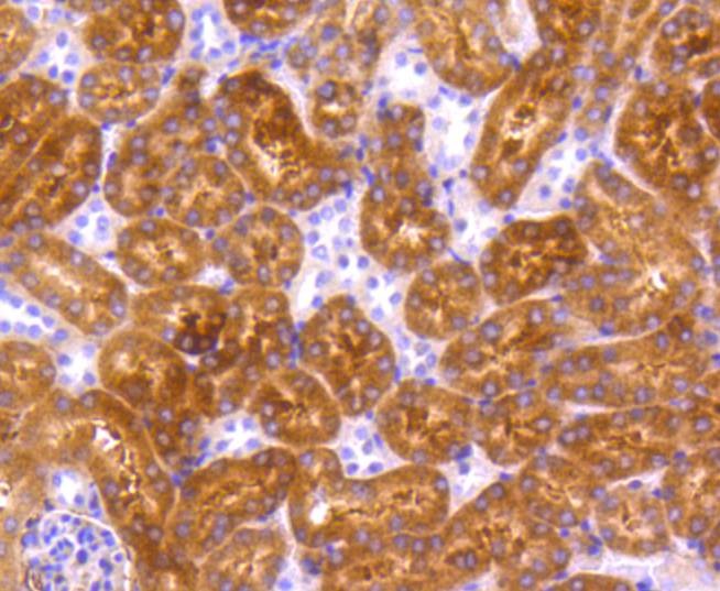
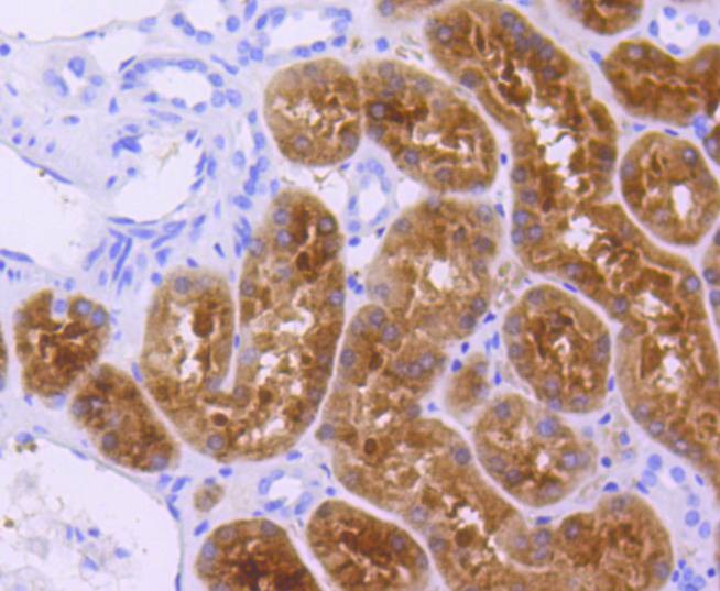
| Verified Activity | 1. Western blot analysis of p73 on Hela cell lysates using anti-p73 antibody at 1/1,000 dilution. 2. Immunohistochemical analysis of paraffin-embedded human kidney tissue using anti-p73 antibody. Counter stained with hematoxylin. 3. Immunohistochemical analysis of paraffin-embedded mouse skin tissue using anti-p73 antibody. Counter stained with hematoxylin. 4. Immunohistochemical analysis of paraffin-embedded mouse kidney tissue using anti-p73 antibody. Counter stained with hematoxylin. 5. ICC staining p73 in MCF-7 cells (green). The nuclear counter stain is DAPI (blue). Cells were fixed in paraformaldehyde, permeabilised with 0.25% Triton X100/PBS. ![]() ![]() ![]() ![]() ![]() |
| Application | |
| Recommended Dose | WB: 1:1000; IHC: 1:50-200; ICC/IF: 1:50-200 |
| Antibody Type | Monoclonal |
| Host Species | Rabbit |
| Construction | Recombinant Antibody |
| Purification | ProA affinity purified |
| Appearance | Liquid |
| Formulation | 1*TBS (pH7.4), 1%BSA, 40%Glycerol. Preservative: 0.05% Sodium Azide. |
| Research Background | The p53 gene is a widely studied oncogene, or tumor suppressor gene. The p53 gene product can act as a negative regulator of cell growth in response to DNA damage. Mutations and allelic loss of the p53 gene have been associated with malignant transformation in a wide variety of human tumors. p53 shares considerable sequence similarity with p73, a gene that maps to a region in chromosome 1 that is frequently deleted in neuroblastomas. However, p73 does not appear to be activated by DNA damaging agents. The p73 isoform p73α inhibits drug-induced apoptosis in small cell lung carcinoma cells, while the p73 isoform p73β promotes it. p73α also prevents Bax activation, mitochondrial dysfunction, caspase activation and is able to reduce apoptosis induced by the BH3-only protein PUMA (p53 upregulated modulator of apoptosis). There is an equilibrium between p73α and p73β, demonstrated by the fact that p73α inhibits the pro-apoptotic effect of p73β. |
| Conjucates | Unconjugated |
| Immunogen | Recombinant Protein |
| Uniprot ID |
| Molecular Weight | Theoretical: 70/60(12 isoforms) kDa. |
| Stability & Storage | Store at -20°C or -80°C for 12 months. Avoid repeated freeze-thaw cycles. |
| Transport | Shipping with blue ice. |
| Size | Quantity | Unit Price | Amount | Operation |
|---|

Copyright © 2015-2026 TargetMol Chemicals Inc. All Rights Reserved.