Shopping Cart
Remove All
Your shopping cart is currently empty
Anti-p67phox Antibody (9W409) is a Rabbit antibody targeting p67phox. Anti-p67phox Antibody (9W409) can be used in IHC,IP,WB.
| Pack Size | Price | USA Warehouse | Global Warehouse | Quantity |
|---|---|---|---|---|
| 50 μL | $296 | 7-10 days | 7-10 days | |
| 100 μL | $497 | 7-10 days | 7-10 days |
| Description | Anti-p67phox Antibody (9W409) is a Rabbit antibody targeting p67phox. Anti-p67phox Antibody (9W409) can be used in IHC,IP,WB. |
| Synonyms | P67-PHOX, P67PHOX, NOXA2, neutrophil cytosolic factor 2, NCF-2 |
| Ig Type | IgG |
| Clone | 9W409 |
| Reactivity | Human,Mouse,Rat |
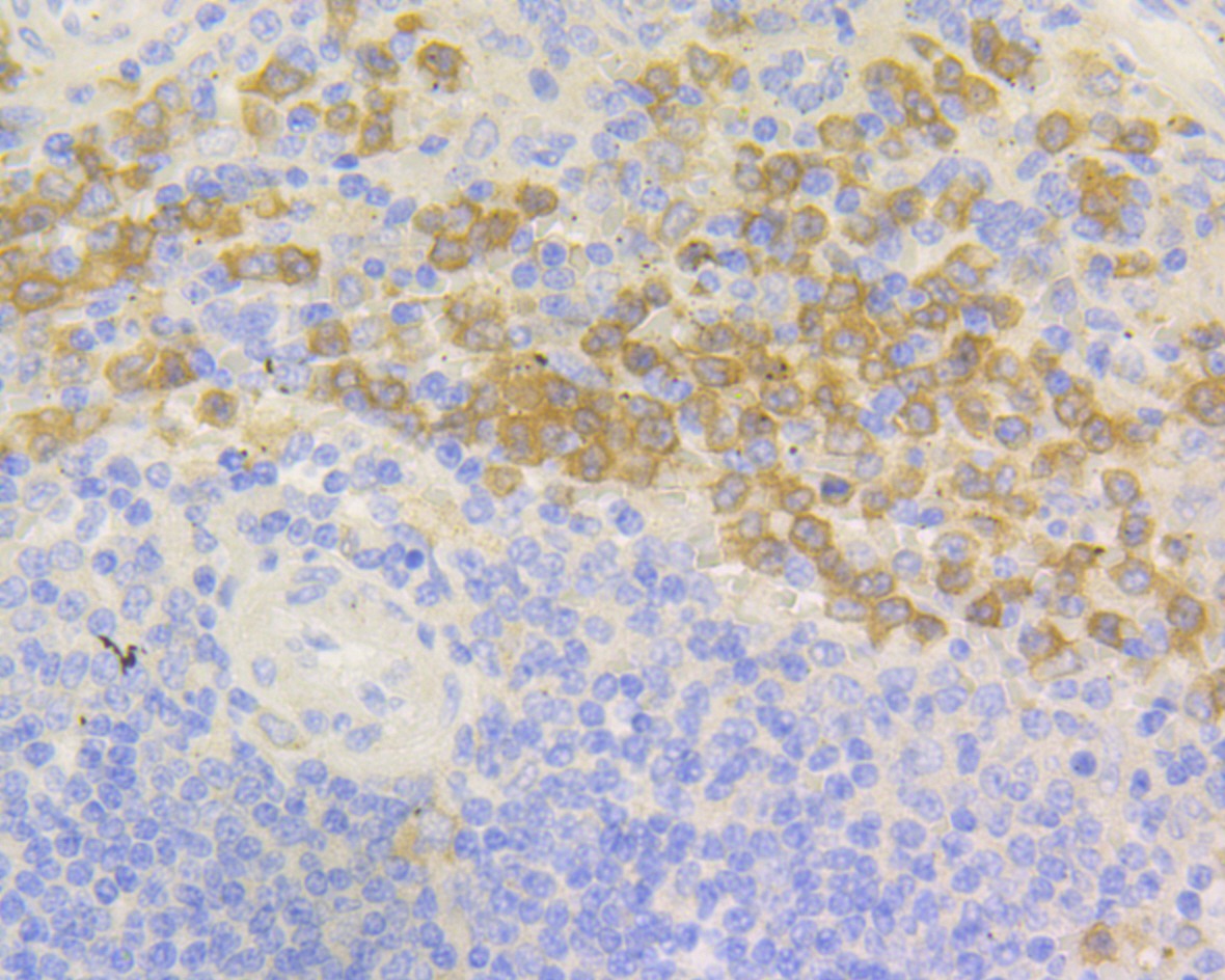
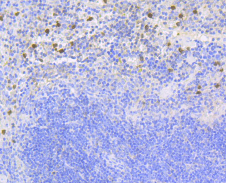
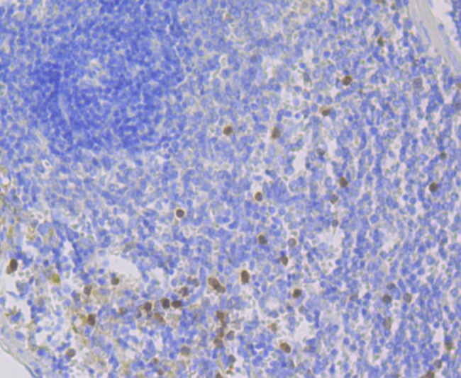
| Verified Activity | 1. Western blot analysis of NOXA2 on rat spleen tissue lysate using anti-NOXA2 antibody at 1/500 dilution. 2. Immunohistochemical analysis of paraffin-embedded rat spleen tissue using anti-NOXA2 antibody. Counter stained with hematoxylin. 3. Immunohistochemical analysis of paraffin-embedded human spleen tissue using anti-NOXA2 antibody. Counter stained with hematoxylin. 4. Immunohistochemical analysis of paraffin-embedded mouse spleen tissue using anti-NOXA2 antibody. Counter stained with hematoxylin. ![]() ![]() ![]() ![]() |
| Application | |
| Recommended Dose | WB: 1:500; IHC: 1:50-200; IP: 1:10-50 |
| Antibody Type | Monoclonal |
| Host Species | Rabbit |
| Construction | Recombinant Antibody |
| Purification | ProA affinity purified |
| Appearance | Liquid |
| Formulation | 1*TBS (pH7.4), 1%BSA, 40%Glycerol. Preservative: 0.05% Sodium Azide. |
| Research Background | The heredity disease chronic granulomatous disease (CGF) has been linked to mutations in p47phox and p67phox. The cytosolic proteins p47phox and p67phox, also designated neutrophil cytosol factor 1(NCF1) and NCF2, respectively, are required for activation of the superoxide-producing NADPH oxidase in neutrophils and other phagocytic cells. During activation of the NADPH oxidase, p47phox and p67phox migrate to the plasma membrane where they associate with cytochrome b558 and the small G protein Rac to form the functional enzyme complex. Both p47phox and p67phox contain two Src homology 3 (SH3) domains. The C-terminal SH3 domain of p67phox has been shown to interact with the proline rich domain of p47phox, suggesting that p47phox may faciliate the transport of p67phox to the membrane. |
| Conjucates | Unconjugated |
| Immunogen | Recombinant Protein: Human NOXA2 aa 150-300 |
| Antigen Species | human |
| Uniprot ID |
| Molecular Weight | Theoretical: 60/47 kDa. |
| Stability & Storage | Store at -20°C or -80°C for 12 months. Avoid repeated freeze-thaw cycles. |
| Transport | Shipping with blue ice. |
| Size | Quantity | Unit Price | Amount | Operation |
|---|

Copyright © 2015-2026 TargetMol Chemicals Inc. All Rights Reserved.