Shopping Cart
Remove All
Your shopping cart is currently empty
Anti-p16 ARC Antibody (3G504) is a Rabbit antibody targeting p16 ARC. Anti-p16 ARC Antibody (3G504) can be used in FCM,ICC/IF,IHC,IP,WB.
| Pack Size | Price | USA Warehouse | Global Warehouse | Quantity |
|---|---|---|---|---|
| 50 μL | $298 | 7-10 days | 7-10 days | |
| 100 μL | $496 | 7-10 days | 7-10 days |
| Description | Anti-p16 ARC Antibody (3G504) is a Rabbit antibody targeting p16 ARC. Anti-p16 ARC Antibody (3G504) can be used in FCM,ICC/IF,IHC,IP,WB. |
| Synonyms | RP1 127C7.3, p16-ARC, p16 Arc, p 16 ARC, MGC88523, dJ127C7.3, ARPC5_HUMAN, Arpc5, ARPC 5, Arp2/3 protein complex subunit p16, Arp2/3 complex 16 kDa subunit, ARC16, Actin-related protein 2/3 complex subunit 5, Actin related protein 2/3 complex, subunit 5 16kDa, Actin related protein 2/3 complex subunit 5 (16 kD), Actin related protein 2/3 complex subunit 5 |
| Ig Type | IgG |
| Clone | 3G504 |
| Reactivity | Human,Mouse,Rat |
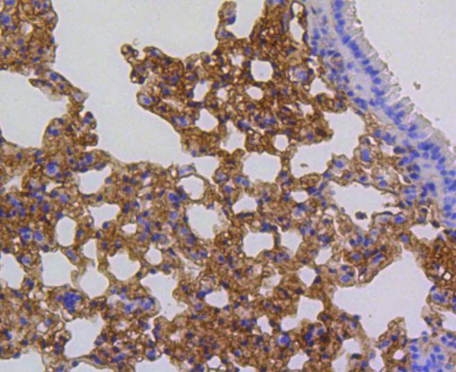
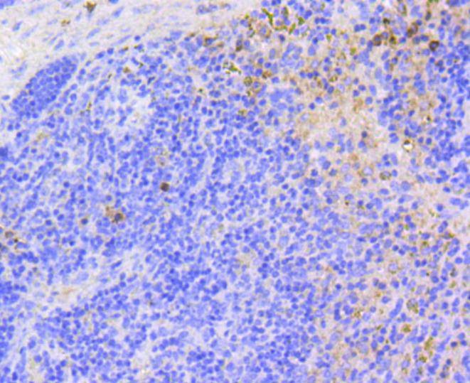
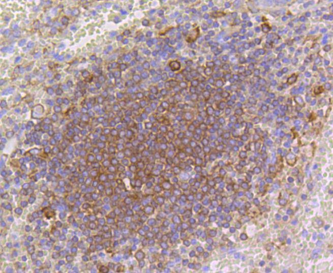
| Verified Activity | 1. Western blot analysis of p16 ARC on different cell lysates using anti-p16 ARC antibody at 1/1,000 dilution. Positive control: Lane 1: MCF-7, Lane 2: SK-BR-3. 2. Immunohistochemical analysis of paraffin-embedded human spleen tissue using anti-p16 ARC antibody. Counter stained with hematoxylin. 3. Immunohistochemical analysis of paraffin-embedded mouse lung tissue using anti-p16 ARC antibody. Counter stained with hematoxylin. 4. Immunohistochemical analysis of paraffin-embedded mouse spleen tissue using anti-p16 ARC antibody. Counter stained with hematoxylin. 5. ICC staining p16 ARC in N2A cells (green). The nuclear counter stain is DAPI (blue). Cells were fixed in paraformaldehyde, permeabilised with 0.25% Triton X100/PBS. 6. Flow cytometric analysis of SH-SY-5Y cells with p16 ARC antibody at 1/50 dilution (blue) compared with an unlabelled control (cells without incubation with primary antibody; red). Alexa Fluor 488-conjugated goat anti rabbit IgG was used as secondary antibody. ![]() ![]() ![]() ![]() ![]() ![]() |
| Application | |
| Recommended Dose | WB: 1:1000-2000; IHC: 1:50-200; ICC/IF: 1:50; FCM: 1:50-100 |
| Antibody Type | Monoclonal |
| Host Species | Rabbit |
| Construction | Recombinant Antibody |
| Purification | ProA affinity purified |
| Appearance | Liquid |
| Formulation | 1*TBS (pH7.4), 1%BSA, 40%Glycerol. Preservative: 0.05% Sodium Azide. |
| Research Background | The Arp2/3 (Actin-related protein 2/3) complex consists of seven subunits, all of which are actin-related proteins. The complex is involved in the control of actin polymerization and in mediating the formation of branched actin networks. p16-ARC, also known as ARPC5 (Actin-related protein 2/3 complex subunit 5) or ARC16 (Arp2/3 complex 16 kDa subunit), is a 151 amino acid subunit of the Arp2/3 complex. Thought to play a role in maintaining the integrity of Arp2/3, p16-ARC is a substrate for MAPKAPK-2 which, through phosphorylation of p16-ARC, may participate in Arp2/3 regulatory functions and remodeling of the Actin cytoskeleton. Two isoforms of p16-ARC exist due to alternative splicing events. |
| Conjucates | Unconjugated |
| Immunogen | Recombinant Protein |
| Uniprot ID |
| Molecular Weight | Theoretical: 16 kDa. |
| Stability & Storage | Store at -20°C or -80°C for 12 months. Avoid repeated freeze-thaw cycles. |
| Transport | Shipping with blue ice. |
| Size | Quantity | Unit Price | Amount | Operation |
|---|

Copyright © 2015-2026 TargetMol Chemicals Inc. All Rights Reserved.