Shopping Cart
Remove All
Your shopping cart is currently empty
Anti-P-selectin Polyclonal Antibody is a Rabbit antibody targeting P-selectin. Anti-P-selectin Polyclonal Antibody can be used in IF, IHC-Fr, IHC-P.
| Pack Size | Price | USA Warehouse | Global Warehouse | Quantity |
|---|---|---|---|---|
| 50 μL | $221 | 7-10 days | 7-10 days | |
| 100 μL | $374 | 7-10 days | 7-10 days | |
| 200 μL | $529 | 7-10 days | 7-10 days |
| Description | Anti-P-selectin Polyclonal Antibody is a Rabbit antibody targeting P-selectin. Anti-P-selectin Polyclonal Antibody can be used in IF, IHC-Fr, IHC-P. |
| Synonyms | P-selectin, PADGEM, Leukocyte-endothelial cell adhesion molecule 3, LECAM3, Granule membrane protein 140, GMP-140, CD62 antigen-like family member P |
| Ig Type | IgG |
| Reactivity | Human (predicted:Mouse,Rat) |
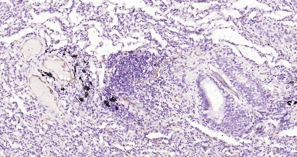
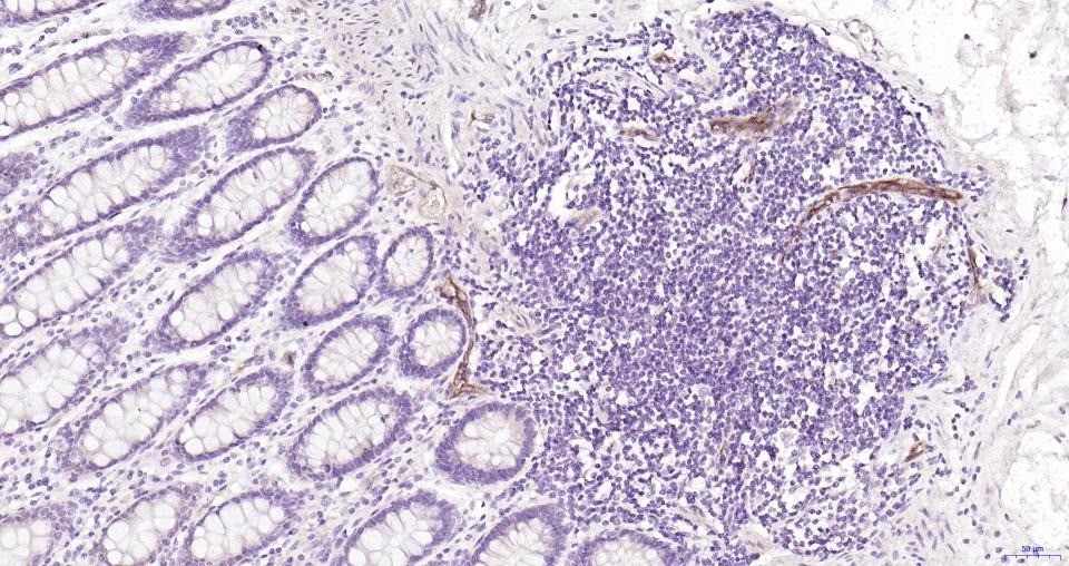
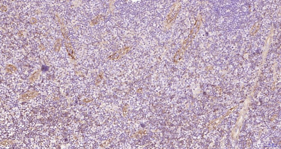
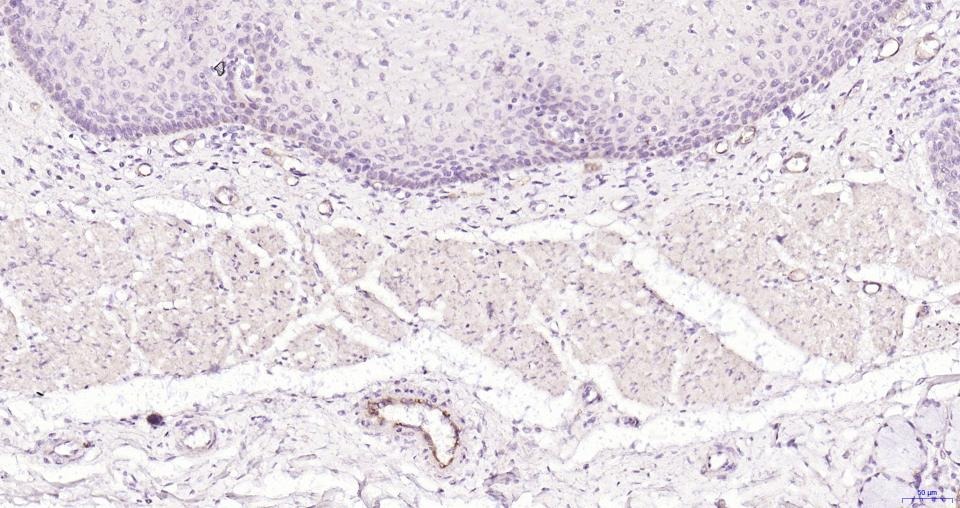
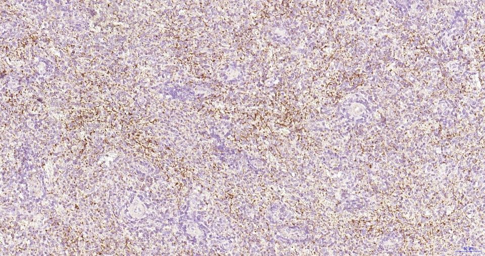
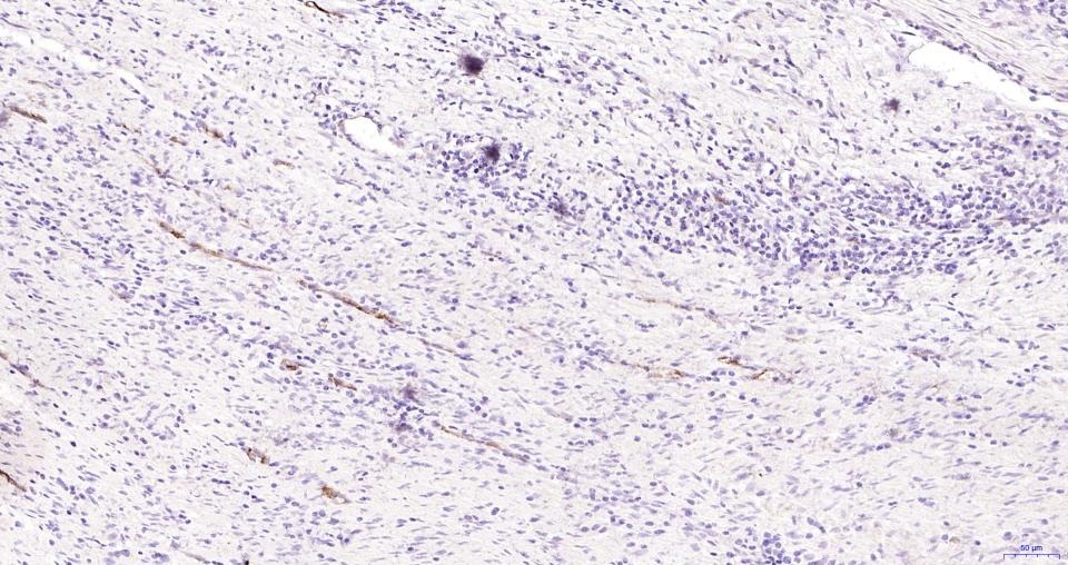
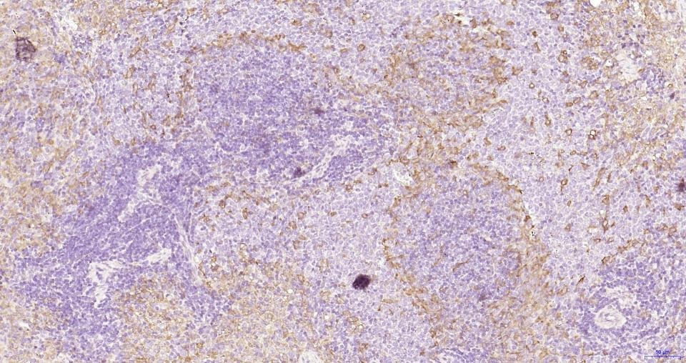
| Verified Activity | 1. Paraformaldehyde-fixed, paraffin embedded Rat Spleen; Antigen retrieval by boiling in sodium citrate buffer (pH6.0) for 15 min; Antibody incubation with CD62p Polyclonal Antibody, Unconjugated (TMAB-01587) at 1:100 overnight at 4°C, followed by conjugation to the secondary antibody and DAB staining. 2. Paraformaldehyde-fixed, paraffin embedded Human Spleen; Antigen retrieval by boiling in sodium citrate buffer (pH6.0) for 15 min; Antibody incubation with CD62p Polyclonal Antibody, Unconjugated (TMAB-01587) at 1:100 overnight at 4°C, followed by conjugation to the secondary antibody and DAB staining. 3. Paraformaldehyde-fixed, paraffin embedded Human Colon Cancer; Antigen retrieval by boiling in sodium citrate buffer (pH6.0) for 15 min; Antibody incubation with CD62p Polyclonal Antibody, Unconjugated (TMAB-01587) at 1:100 overnight at 4°C, followed by conjugation to the secondary antibody and DAB staining. 4. Paraformaldehyde-fixed, paraffin embedded Human Tonsil; Antigen retrieval by boiling in sodium citrate buffer (pH6.0) for 15 min; Antibody incubation with CD62p Polyclonal Antibody, Unconjugated (TMAB-01587) at 1:100 overnight at 4°C, followed by conjugation to the secondary antibody and DAB staining. 5. Paraformaldehyde-fixed, paraffin embedded Human Lung; Antigen retrieval by boiling in sodium citrate buffer (pH6.0) for 15 min; Antibody incubation with CD62p Polyclonal Antibody, Unconjugated (TMAB-01587) at 1:100 overnight at 4°C, followed by conjugation to the secondary antibody and DAB staining. 6. Paraformaldehyde-fixed, paraffin embedded Human Colon; Antigen retrieval by boiling in sodium citrate buffer (pH6.0) for 15 min; Antibody incubation with CD62p Polyclonal Antibody, Unconjugated (TMAB-01587) at 1:100 overnight at 4°C, followed by conjugation to the secondary antibody and DAB staining. 7. Paraformaldehyde-fixed, paraffin embedded Human Esophagus; Antigen retrieval by boiling in sodium citrate buffer (pH6.0) for 15 min; Antibody incubation with CD62p Polyclonal Antibody, Unconjugated (TMAB-01587) at 1:100 overnight at 4°C, followed by conjugation to the secondary antibody and DAB staining. ![]() ![]() ![]() ![]() ![]() ![]() ![]() |
| Application | |
| Recommended Dose | IF=1:100-500; IHC-Fr=1:100-500; IHC-P=1:100-500 |
| Antibody Type | Polyclonal |
| Host Species | Rabbit |
| Subcellular Localization | Membrane; Single-pass type I membrane protein. |
| Tissue Specificity | Stored in the alpha-granules of platelets and Weibel-Palade bodies of endothelial cells. Upon cell activation by agonists, P-selectin is transported rapidly to the cell surface. |
| Construction | Polyclonal Antibody |
| Purification | Protein A purified |
| Appearance | Liquid |
| Formulation | 0.01M TBS (pH7.4) with 1% BSA, 0.02% Proclin300 and 50% Glycerol. |
| Concentration | 1 mg/mL |
| Research Background | This gene encodes a 140 kDa protein that is stored in the alpha-granules of platelets and Weibel-Palade bodies of endothelial cells. This protein redistributes to the plasma membrane during platelet activation and degranulation and mediates the interaction of activated endothelial cells or platelets with leukocytes. The membrane protein is a calcium-dependent receptor that binds to sialylated forms of Lewis blood group carbohydrate antigens on neutrophils and monocytes. Alternative splice variants may occur but are not well documented. [provided by RefSeq, Jul 2008] |
| Immunogen | KLH conjugated synthetic peptide: human P-selectin |
| Antigen Species | Human |
| Gene Name | SELP |
| Gene ID | |
| Protein Name | P-selectin |
| Uniprot ID | |
| Biology Area | Endothelial Cell Markers,Cell adhesion molecules,Platelets,Regulatory T Cells,Platelets,Thrombocytic Lineage |
| Function | Ca(2+)-dependent receptor for myeloid cells that binds to carbohydrates on neutrophils and monocytes. Mediates the interaction of activated endothelial cells or platelets with leukocytes. The ligand recognized is sialyl-Lewis X. Mediates rapid rolling of leukocyte rolling over vascular surfaces during the initial steps in inflammation through interaction with PSGL1. |
| Molecular Weight | Theoretical: 88 kDa. |
| Stability & Storage | Store at -20°C or -80°C for 12 months. Avoid repeated freeze-thaw cycles. |
| Transport | Shipping with blue ice. |
| Size | Quantity | Unit Price | Amount | Operation |
|---|

Copyright © 2015-2026 TargetMol Chemicals Inc. All Rights Reserved.