Shopping Cart
Remove All
Your shopping cart is currently empty
Anti-Osteoactivin/GPNMB Antibody (4G206) is a Mouse antibody targeting Osteoactivin/GPNMB. Anti-Osteoactivin/GPNMB Antibody (4G206) can be used in IHC,WB.
| Pack Size | Price | USA Warehouse | Global Warehouse | Quantity |
|---|---|---|---|---|
| 50 μL | $296 | 7-10 days | 7-10 days | |
| 100 μL | $427 | 7-10 days | 7-10 days |
| Description | Anti-Osteoactivin/GPNMB Antibody (4G206) is a Mouse antibody targeting Osteoactivin/GPNMB. Anti-Osteoactivin/GPNMB Antibody (4G206) can be used in IHC,WB. |
| Synonyms | Osteoactivin, NMB, HGFIN, glycoprotein (transmembrane) nmb |
| Clone | 4G206 |
| Reactivity | Human |
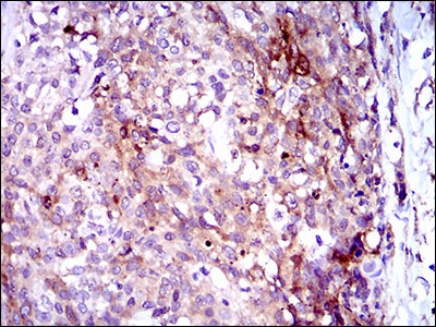
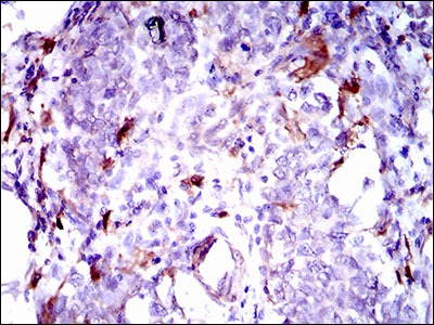
| Verified Activity | 1. Western blot analysis of GPNMB on human GPNMB recombinant protein using anti-GPNMB antibody at 1/1,000 dilution. 2. Western blot analysis of GPNMB on HEK293 (1) and GPNMB-hIgGFc transfected HEK293 (2) cell lysate using anti-GPNMB antibody at 1/1,000 dilution. 3. Western blot analysis of GPNMB on PANC-1 and PC-3 cell lysate using anti-GPNMB antibody at 1/1,000 dilution. 4. Immunohistochemical analysis of paraffin-embedded human breast cancer tissue using anti-GPNMB antibody. Counter stained with hematoxylin. 5. Immunohistochemical analysis of paraffin-embedded human esophagus cancer tissue using anti-GPNMB antibody. Counter stained with hematoxylin. ![]() ![]() ![]() ![]() ![]() |
| Application | |
| Recommended Dose | WB: 1:500; IHC: 1:100-200 |
| Antibody Type | Monoclonal |
| Host Species | Mouse |
| Construction | Hybridoma Monoclonal Antibody |
| Purification | ProA affinity purified |
| Appearance | Liquid |
| Formulation | 1*TBS (pH7.4), 1%BSA, 40%Glycerol. Preservative: 0.05% Sodium Azide. |
| Research Background | Transmembrane glycoprotein NMB (GPNMB), also designated hematopoietic growth factor inducible neurokinin-1 (HGFIN), is a single-pass type I membrane protein. Belonging to the Pmel-17/NMB family of proteins, GPNMB acts as a melanogenic enzyme. GPNMB expression is not restricted to cells of melanocytic lineage and is highest in poorly metastatic melanoma cell lines. There is no expression of GPNMB in highly metastatic melanoma cell lines. GPNMB may play a important role in lymphohematopoietic stem cell maturation. |
| Conjucates | Unconjugated |
| Immunogen | Recombinant Protein |
| Uniprot ID |
| Molecular Weight | Theoretical: 64 kDa. |
| Stability & Storage | Store at -20°C or -80°C for 12 months. Avoid repeated freeze-thaw cycles. |
| Transport | Shipping with blue ice. |
| Size | Quantity | Unit Price | Amount | Operation |
|---|

Copyright © 2015-2026 TargetMol Chemicals Inc. All Rights Reserved.