Shopping Cart
Remove All
Your shopping cart is currently empty
Anti-Olig-2/Oligo2 Antibody (2L225) is a Rabbit antibody targeting Olig-2/Oligo2. Anti-Olig-2/Oligo2 Antibody (2L225) can be used in ICC/IF,IHC,WB.
| Pack Size | Price | USA Warehouse | Global Warehouse | Quantity |
|---|---|---|---|---|
| 50 μL | $298 | 7-10 days | 7-10 days | |
| 100 μL | $498 | 7-10 days | 7-10 days |
| Description | Anti-Olig-2/Oligo2 Antibody (2L225) is a Rabbit antibody targeting Olig-2/Oligo2. Anti-Olig-2/Oligo2 Antibody (2L225) can be used in ICC/IF,IHC,WB. |
| Synonyms | RACK17, PRKCBP2, OLIGO2, Olig2, bHLHe19, BHLHB1 |
| Ig Type | IgG |
| Clone | 2L225 |
| Reactivity | Human,Mouse,Rat |
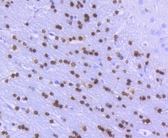
| Verified Activity | 1. Immunohistochemical analysis of paraffin-embedded rat brain tissue using anti-Olig2 antibody. Counter stained with hematoxylin. 2. Immunohistochemical analysis of paraffin-embedded mouse brain tissue using anti-Olig2 antibody. Counter stained with hematoxylin. ![]() ![]() |
| Application | |
| Recommended Dose | WB: 1:500-1000; IHC: 1:50-200; ICC/IF: 1:50-200 |
| Antibody Type | Monoclonal |
| Host Species | Rabbit |
| Construction | Recombinant Antibody |
| Purification | ProA affinity purified |
| Appearance | Liquid |
| Formulation | 1*TBS (pH7.4), 1%BSA, 40%Glycerol. Preservative: 0.05% Sodium Azide. |
| Research Background | The oligodendrocyte lineage-specific basic helix-loop-helix (OLIG) family of transcription factors include OLIG1-OLIG3, which differ in tissue expression. OLIG1 and OLIG2 are specifically expressed in nervous tissue as gene regulators of oligodendrogenesis. OLIG2 is more widely expressed in embryonic brain than OLIG1, while OLIG3 is primarily expressed in non-neural tissues. OLIG1 and OLIG2 interact with the Nkx-2.2 homeodomain protein, which is responsible for directing ventral neuronal patterning in response to graded Sonic hedgehog signaling in the embryonic neural tube. These interactions between OLIG proteins and Nkx-2.2 appear to promote the formation of alternate cell types by inhibiting V3 interneuron development. OLIG1 and OLIG2 are abundantly expressed in oligodendroglioma and nearly absent in astrocytomas. Therefore, OLIG proteins are candidates for molecular markers of human glial brain tumors, which are the most common primary malignancies of the human brain. |
| Conjucates | Unconjugated |
| Immunogen | Recombinant Protein |
| Uniprot ID |
| Molecular Weight | Theoretical: 32 kDa. |
| Stability & Storage | Store at -20°C or -80°C for 12 months. Avoid repeated freeze-thaw cycles. |
| Transport | Shipping with blue ice. |
| Size | Quantity | Unit Price | Amount | Operation |
|---|

Copyright © 2015-2026 TargetMol Chemicals Inc. All Rights Reserved.