Shopping Cart
Remove All
Your shopping cart is currently empty
Anti-Oct1 Antibody (5G338) is a Mouse antibody targeting 45931. Anti-Oct1 Antibody (5G338) can be used in WB.
| Pack Size | Price | USA Warehouse | Global Warehouse | Quantity |
|---|---|---|---|---|
| 50 μL | $218 | 7-10 days | 7-10 days | |
| 100 μL | $318 | 7-10 days | 7-10 days |
| Description | Anti-Oct1 Antibody (5G338) is a Mouse antibody targeting 45931. Anti-Oct1 Antibody (5G338) can be used in WB. |
| Synonyms | Octamer-binding transcription factor 1, Octamer-binding protein 1, Oct-1, OCT1, NF-A1 |
| Clone | 5G338 |
| Reactivity | Human |
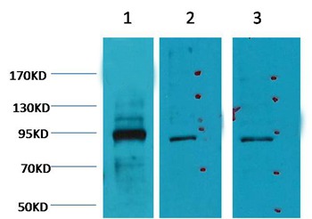
| Verified Activity | 1. Western blot analysis of 1) Hela, 2) Jurkat, 3) HepG2, using TMAC-02913. ![]() |
| Application | |
| Recommended Dose | WB: 1:500-2000 |
| Antibody Type | Monoclonal |
| Host Species | Mouse |
| Construction | Hybridoma Monoclonal Antibody |
| Purification | Affinity purification using immunogen. |
| Appearance | Liquid |
| Formulation | Mouse IgG1 in phosphate buffered saline (without Mg2+ and Ca2+), pH 7.4, 150mM NaCl, 0.02% sodium azide and 50% glycerol. |
| Research Background | POU domain, class 2, transcription factor 1 is a protein that in humans is encoded by the POU2F1 gene.Transcription factor that binds to the octamer motif (5'-ATTTGCAT-3') and activates the promoters of the genes for some small nuclear RNAs (snRNA) and of genes such as those for histone H2B and immunoglobulins. |
| Conjucates | Unconjugated |
| Uniprot ID |
| Molecular Weight | Actual: 90 kDa. |
| Stability & Storage | Store at -20°C or -80°C for 12 months. Avoid repeated freeze-thaw cycles. |
| Transport | Shipping with blue ice. |
| Size | Quantity | Unit Price | Amount | Operation |
|---|

Copyright © 2015-2026 TargetMol Chemicals Inc. All Rights Reserved.