Shopping Cart
Remove All
Your shopping cart is currently empty
Anti-NUMB Antibody (1M861) is a Rabbit antibody targeting NUMB. Anti-NUMB Antibody (1M861) can be used in ICC,IHC,WB.
| Pack Size | Price | USA Warehouse | Global Warehouse | Quantity |
|---|---|---|---|---|
| 50 μL | $298 | 7-10 days | 7-10 days | |
| 100 μL | $496 | 7-10 days | 7-10 days |
| Description | Anti-NUMB Antibody (1M861) is a Rabbit antibody targeting NUMB. Anti-NUMB Antibody (1M861) can be used in ICC,IHC,WB. |
| Synonyms | S171, Protein S171, Protein numb homolog, NUMB_HUMAN, Numb protein homolog, Numb homolog (Drosophila), Numb homolog, Numb, h-Numb, h Numb, FLJ31314, C14orf41, c14_5527 |
| Ig Type | IgG |
| Clone | 1M861 |
| Reactivity | Human,Mouse,Rat |
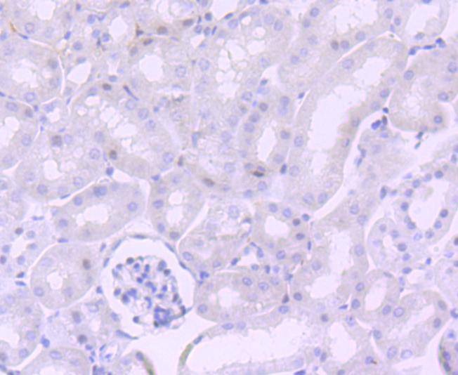
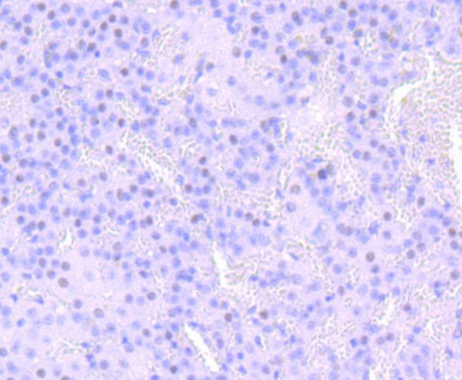
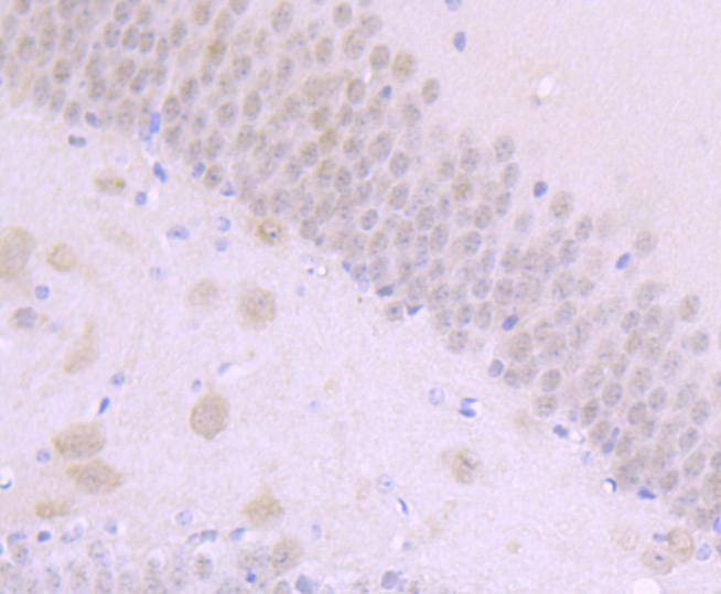
| Verified Activity | 1. Western blot analysis of NUMB on A431 cells lysates using anti-NUMB antibody at 1/1,000 dilution. 2. Immunohistochemical analysis of paraffin-embedded mouse brain tissue using anti-NUMB antibody. Counter stained with hematoxylin. 3. Immunohistochemical analysis of paraffin-embedded rat adrenal gland tissue using anti-NUMB antibody. Counter stained with hematoxylin. 4. Immunohistochemical analysis of paraffin-embedded mouse kidney tissue using anti-NUMB antibody. Counter stained with hematoxylin. 5. ICC staining NUMB in Hela cells (red). The nuclear counter stain is DAPI (blue). Cells were fixed in paraformaldehyde, permeabilised with 0.25% Triton X100/PBS. 6. ICC staining NUMB in A431 cells (red). The nuclear counter stain is DAPI (blue). Cells were fixed in paraformaldehyde, permeabilised with 0.25% Triton X100/PBS. 7. ICC staining NUMB in NIH/3T3 cells (red). The nuclear counter stain is DAPI (blue). Cells were fixed in paraformaldehyde, permeabilised with 0.25% Triton X100/PBS. ![]() ![]() ![]() ![]() ![]() ![]() ![]() |
| Application | |
| Recommended Dose | WB: 1:1000-5000; IHC: 1:50-100; ICC: 1:50-200 |
| Antibody Type | Monoclonal |
| Host Species | Rabbit |
| Construction | Recombinant Antibody |
| Purification | ProA affinity purified |
| Appearance | Liquid |
| Formulation | 1*TBS (pH7.4), 1%BSA, 40%Glycerol. Preservative: 0.05% Sodium Azide. |
| Research Background | Neuronal cell fate decisions are directed in Drosophila by NUMB, a signaling adapter protein with two protein-protein interaction domains: a phosphotyrosine-binding domain and a proline-rich SH3-binding region (PRR). Mammalian NUMB homologs play a role in the determination of cell fates during development and bind with EPS15, LNX1, and NOTCH1. Conditional mouse mutants with deletion of NUMB in developing sensory ganglia show a reduction in axonal arborization in afferent fibers. Changes in cellular calcium homeostasis influences NUMB-dependent cell fate decisions during development of the nervous system. Chicken NUMB (c-NUMB) protein is localized to the basal cortex of mitotic neuroepithelial cells. |
| Conjucates | Unconjugated |
| Immunogen | Recombinant Protein |
| Uniprot ID |
| Molecular Weight | Theoretical: 71 kDa. |
| Stability & Storage | Store at -20°C or -80°C for 12 months. Avoid repeated freeze-thaw cycles. |
| Transport | Shipping with blue ice. |
| Size | Quantity | Unit Price | Amount | Operation |
|---|

Copyright © 2015-2026 TargetMol Chemicals Inc. All Rights Reserved.