Shopping Cart
Remove All
Your shopping cart is currently empty
Anti-NSE/ENO2 Antibody (7Z725) is a Mouse antibody targeting NSE/ENO2. Anti-NSE/ENO2 Antibody (7Z725) can be used in IHC,WB.
| Pack Size | Price | USA Warehouse | Global Warehouse | Quantity |
|---|---|---|---|---|
| 50 μL | $218 | 7-10 days | 7-10 days | |
| 100 μL | $318 | 7-10 days | 7-10 days |
| Description | Anti-NSE/ENO2 Antibody (7Z725) is a Mouse antibody targeting NSE/ENO2. Anti-NSE/ENO2 Antibody (7Z725) can be used in IHC,WB. |
| Synonyms | NSE, HEL-S-279, enolase 2 (γ, neuronal), enolase 2 (gamma, neuronal) |
| Clone | 7Z725 |
| Reactivity | Human,Mouse,Rat |
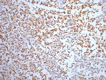
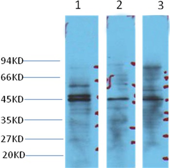
| Verified Activity | 1. Western blot analysis of 1) Hela, 2) Jurkat, 3) 293T cell lysates, using TMAC-02893 diluted at 1:3,000. 2. IHC staining of human breast cancer tissue with NSE mouse mAb diluted at 1:200. ![]() ![]() |
| Application | |
| Recommended Dose | WB: 1:1000~1:3000; IHC: 1:200 |
| Antibody Type | Monoclonal |
| Host Species | Mouse |
| Construction | Hybridoma Monoclonal Antibody |
| Purification | Affinity purification using immunogen. |
| Appearance | Liquid |
| Formulation | Mouse IgG1 in phosphate buffered saline (without Mg2+ and Ca2+), pH 7.4, 150mM NaCl, 0.02% sodium azide and 50% glycerol. |
| Research Background | Enolase is a glycolytic enzyme catalyzing the reaction pathway between 2 phospho glycerate and phosphoenol pyruvate. In mammals, enolase molecules are dimers composed of three distinct subunits (alpha, beta and gamma). The alpha subunit is expressed in most tissues and the beta subunit only in muscle. The gamma subunit is expressed primarily in neurons, in normal and in neoplastic neuroendocrine cells. NSE (neuron specific enolase) is found in elevated concentrations in plasma in certain neoplasias. These include pediatric neuroblastoma and small cell lung cancer. Coexpression of NSE and chromogranin A is common in neuroendocrine neoplasms. |
| Conjucates | Unconjugated |
| Uniprot ID |
| Molecular Weight | Actual: 47 kDa. |
| Stability & Storage | Store at -20°C or -80°C for 12 months. Avoid repeated freeze-thaw cycles. |
| Transport | Shipping with blue ice. |
| Size | Quantity | Unit Price | Amount | Operation |
|---|

Copyright © 2015-2026 TargetMol Chemicals Inc. All Rights Reserved.