Shopping Cart
Remove All
Your shopping cart is currently empty
Synonyms: Testicular receptor 3, ST-59, Orphan nuclear receptor TR3, Orphan nuclear receptor HMR, Nuclear receptor subfamily 4immunitygroup A member 1, Nuclear hormone receptor NUR/77 (Nur77), NR4A1, NAK1, HMR, GFRP1, Early response protein NAK1
| Pack Size | Price | USA Stock | Global Stock | Quantity |
|---|---|---|---|---|
| 50 μL | $222 | 7-10 days | 7-10 days | |
| 100 μL | $374 | 7-10 days | 7-10 days | |
| 200 μL | $528 | 7-10 days | 7-10 days |
| Description | Anti-NR4A1 Polyclonal Antibody is a Rabbit antibody targeting NR4A1. Anti-NR4A1 Polyclonal Antibody can be used in IF,IHC-Fr,IHC-P,WB. |
| Synonyms | Testicular receptor 3, ST-59, Orphan nuclear receptor TR3, Orphan nuclear receptor HMR, Nuclear receptor subfamily 4immunitygroup A member 1, Nuclear hormone receptor NUR/77 (Nur77), NR4A1, NAK1, HMR, GFRP1, Early response protein NAK1 |
| Ig Type | IgG |
| Reactivity | Mouse,Rat (predicted:Human) |
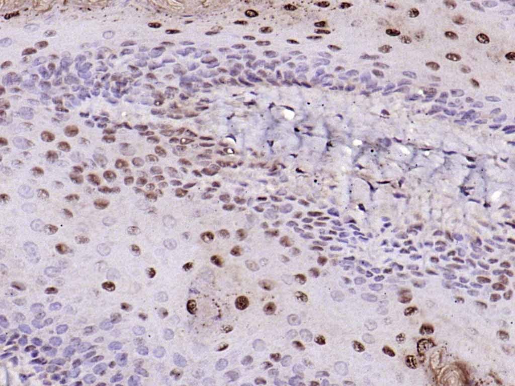
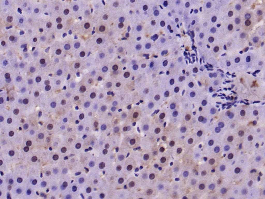
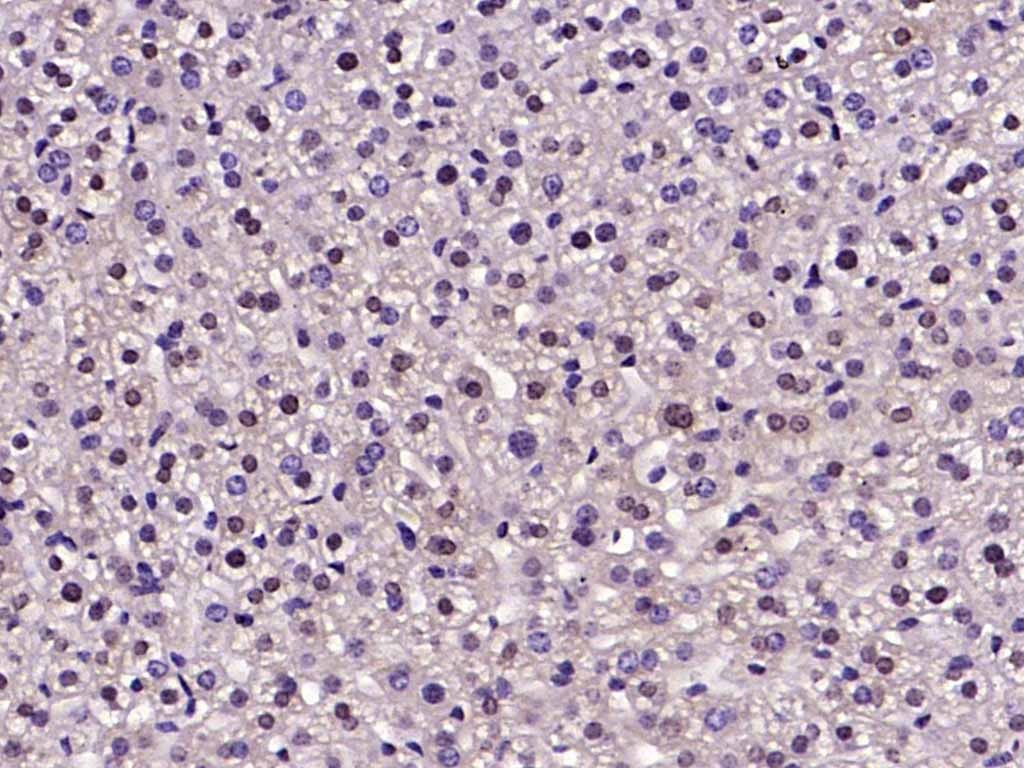
| Verified Activity | 1. 25 μg total protein per Lane of various lysates probed with Nur77 polyclonal antibody, unconjugated (TMAB-01268) at 1:1000 dilution and 4°C overnight incubation. Followed by conjugated secondary antibody incubation at RT for 60 min. 2. Paraformaldehyde-fixed, paraffin embedded Mouse Cerebrum; Antigen retrieval by boiling in sodium citrate buffer (pH6.0) for 15 min; Antibody incubation with Nur77 Polyclonal Antibody, Unconjugated (TMAB-01268) at 1:200 overnight at 4°C, followed by conjugation to the secondary antibody and DAB staining. 3. Paraformaldehyde-fixed, paraffin embedded Rat Cerebrum; Antigen retrieval by boiling in sodium citrate buffer (pH6.0) for 15 min; Antibody incubation with Nur77 Polyclonal Antibody, Unconjugated (TMAB-01268) at 1:200 overnight at 4°C, followed by conjugation to the secondary antibody and DAB staining. 4. Paraformaldehyde-fixed, paraffin embedded Mouse Liver; Antigen retrieval by boiling in sodium citrate buffer (pH6.0) for 15 min; Antibody incubation with Nur77 Polyclonal Antibody, Unconjugated (TMAB-01268) at 1:200 overnight at 4°C, followed by conjugation to the secondary antibody and DAB staining. 5. Paraformaldehyde-fixed, paraffin embedded Rat Liver; Antigen retrieval by boiling in sodium citrate buffer (pH6.0) for 15 min; Antibody incubation with Nur77 Polyclonal Antibody, Unconjugated (TMAB-01268) at 1:200 overnight at 4°C, followed by conjugation to the secondary antibody and DAB staining. 6. Paraformaldehyde-fixed, paraffin embedded Rat Thyroid Gland; Antigen retrieval by boiling in sodium citrate buffer (pH6.0) for 15 min; Antibody incubation with Nur77 Polyclonal Antibody, Unconjugated (TMAB-01268) at 1:200 overnight at 4°C, followed by conjugation to the secondary antibody and DAB staining. |
| Application | |
| Recommended Dose | WB: 1:500-2000; IHC-P: 1:100-500; IHC-Fr: 1:100-500; IF: 1:100-500 |
| Antibody Type | Polyclonal |
| Host Species | Rabbit |
| Subcellular Localization | Nucleus. |
| Tissue Specificity | Fetal muscle and adult liver, brain and thyroid. |
| Construction | Polyclonal Antibody |
| Purification | Protein A purified |
| Appearance | Liquid |
| Formulation | 0.01M TBS (pH7.4) with 1% BSA, 0.02% Proclin300 and 50% Glycerol. |
| Concentration | 1 mg/mL |
| Research Background | This gene encodes a member of the steroid-thyroid hormone-retinoid receptor superfamily. Expression is induced by phytohemagglutinin in human lymphocytes and by serum stimulation of arrested fibroblasts. The encoded protein acts as a nuclear transcription factor. Translocation of the protein from the nucleus to mitochondria induces apoptosis. Multiple transcript variants encoding different isoforms have been found for this gene. [provided by RefSeq, Jan 2011] |
| Immunogen | KLH conjugated synthetic peptide: human Nur77/GFRP |
| Antigen Species | Human |
| Gene Name | NR4A1 |
| Gene ID | |
| Protein Name | Nuclear receptor subfamily 4 group A member 1 |
| Uniprot ID | |
| Biology Area | Nucleus,Apoptosis,Apoptosis,Nucleus,Co-activators/co-repressors,Orphan Nuclear Receptors |
| Function | Orphan nuclear receptor. May act concomitantly with NURR1 in regulating the expression of delayed-early genes during liver regeneration. Binds the NGFI-B response element (NBRE) 5'-AAAAGGTCA-3' (By similarity). May inhibit NF-kappa-B transactivation of IL2. |
| Molecular Weight | Theoretical: 66 kDa. Actual: 70 kDa. |
| Stability & Storage | Store at -20°C or -80°C for 12 months. Avoid repeated freeze-thaw cycles. |
| Transport | Shipping with blue ice. |
| Size | Quantity | Unit Price | Amount | Operation |
|---|

Copyright © 2015-2026 TargetMol Chemicals Inc. All Rights Reserved.