Shopping Cart
Remove All
Your shopping cart is currently empty
Synonyms: V-erbA-related protein 1, Thyroid hormone receptor, alpha-1- like, Thyroid hormone receptor, alpha like, THRAL, THRA1, Rev-erbA-alpha, Rev-ErbAalpha, Reverba, Rev erbalpha, Rev erbAalpha, Nuclear receptor subfamily 1 group D member 1, Nuclear receptor Rev ErbA alpha, NR1D1_HUMAN, Nr1d1, hRev, ERBA-related 1, EAR-1, EAR1
| Pack Size | Price | USA Stock | Global Stock | Quantity |
|---|---|---|---|---|
| 50 μL | $298 | 7-10 days | 7-10 days | |
| 100 μL | $498 | 7-10 days | 7-10 days |
| Description | Anti-NR1D1 Antibody (2D57) is a Rabbit antibody targeting NR1D1. Anti-NR1D1 Antibody (2D57) can be used in IHC,WB. |
| Synonyms | V-erbA-related protein 1, Thyroid hormone receptor, alpha-1- like, Thyroid hormone receptor, alpha like, THRAL, THRA1, Rev-erbA-alpha, Rev-ErbAalpha, Reverba, Rev erbalpha, Rev erbAalpha, Nuclear receptor subfamily 1 group D member 1, Nuclear receptor Rev ErbA alpha, NR1D1_HUMAN, Nr1d1, hRev, ERBA-related 1, EAR-1, EAR1 |
| Ig Type | IgG |
| Clone | 2D57 |
| Reactivity | Human,Mouse |
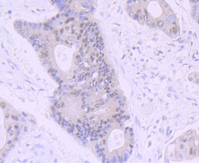
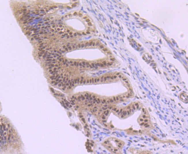
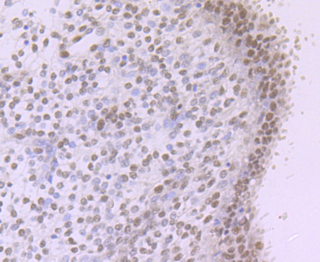
| Verified Activity | 1. Western blot analysis of NR1D1 on HepG2 and SiHa cell lysates using anti-NR1D1 antibody at 1/500 dilution. 2. Immunohistochemical analysis of paraffin-embedded human colon cancer tissue using anti-NR1D1 antibody. Counter stained with hematoxylin. 3. Immunohistochemical analysis of paraffin-embedded human uterus tissue using anti-NR1D1 antibody. Counter stained with hematoxylin. 4. Immunohistochemical analysis of paraffin-embedded mouse fallopian tubes using anti-NR1D1 antibody. Counter stained with hematoxylin. |
| Application | |
| Recommended Dose | WB: 1:500-1000; IHC: 1:100 |
| Antibody Type | Monoclonal |
| Host Species | Rabbit |
| Construction | Recombinant Antibody |
| Purification | ProA affinity purified |
| Appearance | Liquid |
| Formulation | 1*TBS (pH7.4), 1%BSA, 40%Glycerol. Preservative: 0.05% Sodium Azide. |
| Research Background | Transcriptional repressor which coordinates circadian rhythm and metabolic pathways in a heme-dependent manner. Integral component of the complex transcription machinery that governs circadian rhythmicity and forms a critical negative limb of the circadian clock by directly repressing the expression of core clock components ARTNL/BMAL1, CLOCK and CRY1. Also regulates genes involved in metabolic functions, including lipid and bile acid metabolism, adipogenesis, gluconeogenesis and the macrophage inflammatory response. Acts as a receptor for heme which stimulates its interaction with the NCOR1/HDAC3 corepressor complex, enhancing transcriptional repression. Recognizes two classes of DNA response elements within the promoter of its target genes and can bind to DNA as either monomers or homodimers, depending on the nature of the response element. Binds as a monomer to a response element composed of the consensus half-site motif 5'-[A/G]GGTCA-3' preceded by an A/T-rich 5' sequence (RevRE), or as a homodimer to a direct repeat of the core motif spaced by two nucleotides (RevDR-2). |
| Conjucates | Unconjugated |
| Immunogen | Recombinant Protein |
| Uniprot ID |
| Molecular Weight | Theoretical: 67 kDa. |
| Stability & Storage | Store at -20°C or -80°C for 12 months. Avoid repeated freeze-thaw cycles. |
| Transport | Shipping with blue ice. |
| Size | Quantity | Unit Price | Amount | Operation |
|---|

Copyright © 2015-2026 TargetMol Chemicals Inc. All Rights Reserved.