Shopping Cart
Remove All
Your shopping cart is currently empty
Anti-NPFFR1 Polyclonal Antibody is a Rabbit antibody targeting NPFFR1. Anti-NPFFR1 Polyclonal Antibody can be used in IF,IHC-Fr,IHC-P,WB.
| Pack Size | Price | USA Stock | Global Stock | Quantity |
|---|---|---|---|---|
| 50 μL | $220 | 7-10 days | 7-10 days | |
| 100 μL | $373 | 7-10 days | 7-10 days | |
| 200 μL | $528 | 7-10 days | 7-10 days |
| Description | Anti-NPFFR1 Polyclonal Antibody is a Rabbit antibody targeting NPFFR1. Anti-NPFFR1 Polyclonal Antibody can be used in IF,IHC-Fr,IHC-P,WB. |
| Synonyms | RFamide related peptide receptor OT7T022, NPFFR1, NPFF1R1, NPFF1 Receptor, NPFF1, Neuropeptide FF receptor 1, G-protein coupled receptor 147, GPR147 |
| Ig Type | IgG |
| Reactivity | Human,Mouse,Rat (predicted:Dog,Pig,Cow,Horse,Rabbit,Sheep) |
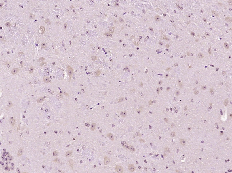
| Verified Activity | 1. Paraformaldehyde-fixed, paraffin embedded (Rat brain); Antigen retrieval by boiling in sodium citrate buffer (pH6.0) for 15 min; Block endogenous peroxidase by 3% hydrogen peroxide for 20 min; Blocking buffer (normal goat serum) at 37°C for 30 min; Antibody incubation with (NPFF1 Receptor) Polyclonal Antibody, Unconjugated (TMAB-01257) at 1:400 overnight at 4°C, followed by operating according to SP Kit (Rabbit) instructionsand DAB staining. 2. Sample: U251 (Human) Cell Lysate at 30 μg Primary: Anti-NPFF1 Receptor (TMAB-01257) at 1/300 dilution Secondary: IRDye800CW Goat Anti-Rabbit IgG at 1/20000 dilution Predicted band size: 48 kDa Observed band size: 48 kDa 3. Paraformaldehyde-fixed, paraffin embedded (Mouse brain); Antigen retrieval by boiling in sodium citrate buffer (pH6.0) for 15 min; Block endogenous peroxidase by 3% hydrogen peroxide for 20 min; Blocking buffer (normal goat serum) at 37°C for 30 min; Antibody incubation with (NPFF1 Receptor) Polyclonal Antibody, Unconjugated (TMAB-01257) at 1:400 overnight at 4°C, followed by operating according to SP Kit (Rabbit) instructionsand DAB staining. 4. Sample: Lane 1: Mouse Cerebellum tissue lysates Lane 2: Mouse Cerebrum tissue lysates Lane 3: Rat Cerebellum tissue lysates Lane 4: Rat Cerebrum tissue lysates Primary: Anti-NPFF1 Receptor (TMAB-01257) at 1/1000 dilution Secondary: IRDye800CW Goat Anti-Rabbit IgG at 1/20000 dilution Predicted band size: 48 kDa Observed band size: 48 kDa ![]() ![]() ![]() ![]() |
| Application | |
| Recommended Dose | WB: 1:500-2000; IHC-P: 1:100-500; IHC-Fr: 1:100-500; IF: 1:100-500 |
| Antibody Type | Polyclonal |
| Host Species | Rabbit |
| Subcellular Localization | Cell membrane. |
| Construction | Polyclonal Antibody |
| Purification | Protein A purified |
| Appearance | Liquid |
| Formulation | 0.01M TBS (pH7.4) with 1% BSA, 0.02% Proclin300 and 50% Glycerol. |
| Concentration | 1 mg/mL |
| Research Background | Neuropeptide FF 1 Receptor (NPFF1 or hFF1) and Neuropeptide FF 2 Receptor (NPFF2) belong to the G protein-coupled receptor 1 family. Both NPFF1 and NPFF2 are integral membrane proteins that act as receptors for NPAF (A-18- F-amide) and NPFF (F-8-F-amide) neuropeptides. Both NPFF proteins may be activated by synthetic or naturally occurring FMRF-amide-like ligands. The receptors are mediated by association with G proteins that activate a phosphatidylinositol-calcium second messenger system. NPFF1 Receptors is highly expressed in the human hypothalamus and amygdala, indicating a possible role for NPFF1 in central autonomic and neuroendocrine control in the human brain. Based in part on NPFF2 Receptor expression in diencephalon and superficial layers of the spinal cord, NPFF2 Receptor is thought to be involved in the modulation of sensory input and opioid analgesia. |
| Immunogen | KLH conjugated synthetic peptide: human GPR147/NPFF1 Receptor |
| Antigen Species | Human |
| Gene Name | NPFFR1 |
| Gene ID | |
| Protein Name | Neuropeptide FF receptor 1 |
| Uniprot ID | |
| Function | Receptor for NPAF (A-18-F-amide) and NPFF (F-8-F-amide) neuropeptides, also known as morphine-modulating peptides. Can also be activated by a variety of naturally occurring or synthetic FMRF-amide like ligands. This receptor mediates its action by association with G proteins that activate a phosphatidylinositol-calcium second messenger system. |
| Molecular Weight | Theoretical: 48 kDa. Actual: 48 kDa. |
| Stability & Storage | Store at -20°C or -80°C for 12 months. Avoid repeated freeze-thaw cycles. |
| Transport | Shipping with blue ice. |
| Size | Quantity | Unit Price | Amount | Operation |
|---|

Copyright © 2015-2026 TargetMol Chemicals Inc. All Rights Reserved.