Shopping Cart
Remove All
Your shopping cart is currently empty
Anti-Noxa Antibody (1A221) is a Rabbit antibody targeting Noxa. Anti-Noxa Antibody (1A221) can be used in FCM,IHC,WB.
| Pack Size | Price | USA Warehouse | Global Warehouse | Quantity |
|---|---|---|---|---|
| 50 μL | $297 | 7-10 days | 7-10 days | |
| 100 μL | $496 | 7-10 days | 7-10 days |
| Description | Anti-Noxa Antibody (1A221) is a Rabbit antibody targeting Noxa. Anti-Noxa Antibody (1A221) can be used in FCM,IHC,WB. |
| Synonyms | Protein Noxa, PMA-responsive gene, Pmaip1, PMA-induced protein 1, PMA induced protein 1, Phorbol-12-myristate-13-acetate-induced protein 1, Phorbol 12 myristate 13 acetate induced protein 1, NOXA, Immediate-early-response protein APR, Immediate early response protein APR, ATL-derived, APR_HUMAN, APR, Adult T cell leukemia derived PMA responsive |
| Ig Type | IgG |
| Clone | 1A221 |
| Reactivity | Human |
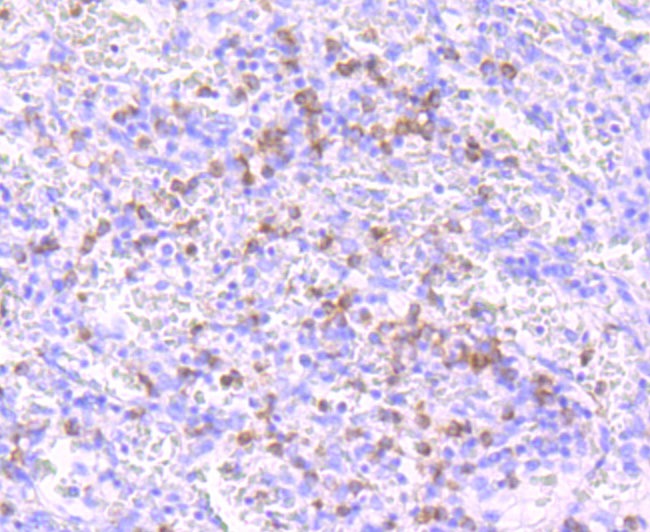
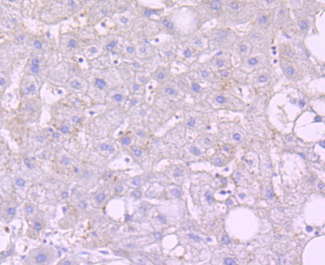
| Verified Activity | 1. Immunohistochemical analysis of paraffin-embedded human spleen tissue using anti-Noxa antibody. Counter stained with hematoxylin. 2. Immunohistochemical analysis of paraffin-embedded human liver tissue using anti-Noxa antibody. Counter stained with hematoxylin. 3. Flow cytometric analysis of Jurkat cells with Noxa antibody at 1/100 dilution (red) compared with an unlabelled control (cells without incubation with primary antibody; black). ![]() ![]() ![]() |
| Application | |
| Recommended Dose | WB: 1:500; IHC: 1:50-200; FCM: 1:50 |
| Antibody Type | Monoclonal |
| Host Species | Rabbit |
| Construction | Recombinant Antibody |
| Purification | ProA affinity purified |
| Appearance | Liquid |
| Formulation | 1*TBS (pH7.4), 1%BSA, 40%Glycerol. Preservative: 0.05% Sodium Azide. |
| Research Background | Members of the Bcl-2 family of proteins interact to regulate programmed cell death (apoptosis) under a broad range of physiological conditions. Bcl-2, Bcl-xL, and several related proteins inhibit apoptosis, whereas other members of the Bcl-2 family, such as Bax and Bak, enhance cell death. NOXA, a pro-apoptotic member of the Bcl-2 family, contains the Bcl-2 homology 3 (BH3) region, but does not contain other BH domains. Murine cells constitutively express NOXA mRNA in small amounts in various organs; X-ray irradiation increases NOXA mRNA and protein expression levels. In human cells, NOXA, alternatively designated PMA-induced protein 1 or APR, displays high expression in the adult T cell leukemia cell line IKD, where it may function as an immediate-early-response gene. The NOXA protein selectively localizes to mitochondria. |
| Conjucates | Unconjugated |
| Immunogen | Recombinant Protein |
| Uniprot ID |
| Molecular Weight | Theoretical: 6 kDa. |
| Stability & Storage | Store at -20°C or -80°C for 12 months. Avoid repeated freeze-thaw cycles. |
| Transport | Shipping with blue ice. |
| Size | Quantity | Unit Price | Amount | Operation |
|---|

Copyright © 2015-2026 TargetMol Chemicals Inc. All Rights Reserved.