Shopping Cart
Remove All
Your shopping cart is currently empty
Synonyms: PYRIN-containing APAF1-like protein 1, PYPAF1, NLRP3, NALP3, NACHT, LRR and PYD domains-containing protein 3, LRR and PYD domains-containing protein 3, Cryopyrin, Cold-induced autoinflammatory syndrome 1 protein, CIAS1, Caterpiller protein 1.1 (CLR1.1), C1orf7, Angiotensin/vasopressin receptor AII/AVP-like
| Pack Size | Price | USA Stock | Global Stock | Quantity |
|---|---|---|---|---|
| 50 μL | $298 | 7-10 days | 7-10 days | |
| 100 μL | $498 | 7-10 days | 7-10 days |
| Description | Anti-NLRP3 Antibody (7T54) is a Rabbit antibody targeting NLRP3. Anti-NLRP3 Antibody (7T54) can be used in FCM,ICC/IF,IHC,IP,WB. |
| Synonyms | PYRIN-containing APAF1-like protein 1, PYPAF1, NLRP3, NALP3, NACHT, LRR and PYD domains-containing protein 3, LRR and PYD domains-containing protein 3, Cryopyrin, Cold-induced autoinflammatory syndrome 1 protein, CIAS1, Caterpiller protein 1.1 (CLR1.1), C1orf7, Angiotensin/vasopressin receptor AII/AVP-like |
| Ig Type | IgG |
| Clone | 7T54 |
| Reactivity | Human,Mouse,Rat |
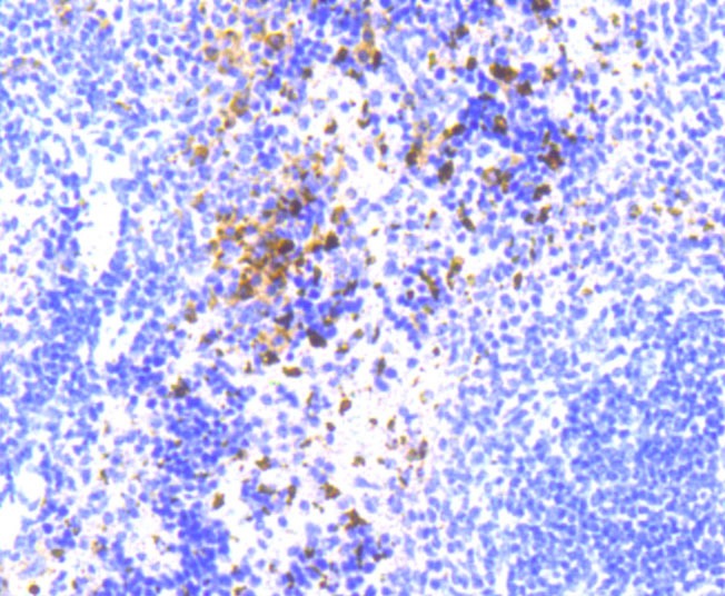
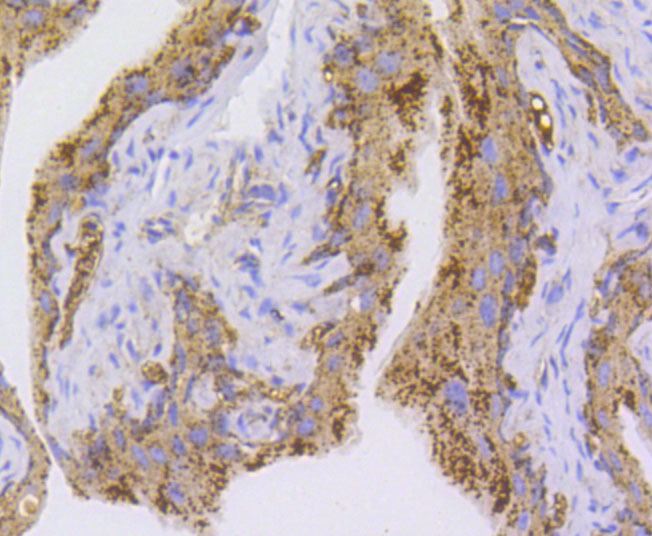
| Verified Activity | 1. Immunohistochemical analysis of paraffin-embedded mouse bladder tissue using anti- NLRP3 antibody. Counter stained with hematoxylin. 2. Immunohistochemical analysis of paraffin-embedded mouse spleen tissue using anti- NLRP3 antibody. Counter stained with hematoxylin. 3. ICC staining NLRP3 in Hela cells (green). The nuclear counter stain is DAPI (blue). Cells were fixed in paraformaldehyde, permeabilised with 0.25% Triton X100/PBS. 4. ICC staining NLRP3 in HUVEC cells (green). The nuclear counter stain is DAPI (blue). Cells were fixed in paraformaldehyde, permeabilised with 0.25% Triton X100/PBS. 5. ICC staining NLRP3 in PMVEC cells (green). The nuclear counter stain is DAPI (blue). Cells were fixed in paraformaldehyde, permeabilised with 0.25% Triton X100/PBS. 6. Flow cytometric analysis of Jurkat cells with NLRP3 antibody at 1/50 dilution (red) compared with an unlabelled control (cells without incubation with primary antibody; black). Alexa Fluor 488-conjugated goat anti rabbit IgG was used as the secondary antibody. 7. Western blot analysis of lysates from 293, MCF7 and U-87 MG cells using NLRP3 Rabbit mAb. |
| Application | |
| Recommended Dose | WB: 1:1000; IHC: 1:50-200; ICC/IF: 1:100-500; FCM: 1:50-100 |
| Antibody Type | Monoclonal |
| Host Species | Rabbit |
| Construction | Recombinant Antibody |
| Purification | ProA affinity purified |
| Appearance | Liquid |
| Formulation | 1*TBS (pH7.4), 1%BSA, 40%Glycerol. Preservative: 0.05% Sodium Azide. |
| Research Background | Cryopyrin interacts selectively with apoptosis-associated specklike protein containing a CARD domain (ASC). This complex may function as an upstream activator of NFkB signaling and caspase-1 activation. The complex also inhibits TNFa induced activation and nuclear translocation of RelA/NFkB p65. Mutations in Cryopyrin and Pyrin proteins are responsible for several autoinflammatory disorders in humans, including familial cold autoinflammatory syndrome (FCAS), Muckle-Wells syndrome (MWS) and chronic infantile neurologic cutaneous and articular syndrome (CINCA). |
| Conjucates | Unconjugated |
| Immunogen | Recombinant Protein |
| Uniprot ID |
| Molecular Weight | Theoretical: 118/85 kDa. |
| Stability & Storage | Store at -20°C or -80°C for 12 months. Avoid repeated freeze-thaw cycles. |
| Transport | Shipping with blue ice. |
| Size | Quantity | Unit Price | Amount | Operation |
|---|

Copyright © 2015-2026 TargetMol Chemicals Inc. All Rights Reserved.