Shopping Cart
Remove All
Your shopping cart is currently empty
Synonyms: nuclear factor of κ light polypeptide gene enhancer in B-cells inhibitor, alpha, nuclear factor of kappa light polypeptide gene enhancer in B-cells inhibitor, α, nuclear factor of kappa light polypeptide gene enhancer in B-cells inhibitor, alpha, NFKBI, MAD-3, IKBA, IkB α
| Pack Size | Price | USA Stock | Global Stock | Quantity |
|---|---|---|---|---|
| 50 μL | $298 | 7-10 days | 7-10 days | |
| 100 μL | $498 | 7-10 days | 7-10 days |
| Description | Anti-NFKBIA Antibody (9N642) is a Rabbit antibody targeting NFKBIA. Anti-NFKBIA Antibody (9N642) can be used in ICC,IHC,IP,WB. |
| Synonyms | nuclear factor of κ light polypeptide gene enhancer in B-cells inhibitor, alpha, nuclear factor of kappa light polypeptide gene enhancer in B-cells inhibitor, α, nuclear factor of kappa light polypeptide gene enhancer in B-cells inhibitor, alpha, NFKBI, MAD-3, IKBA, IkB α |
| Ig Type | IgG |
| Clone | 9N642 |
| Reactivity | Human,Mouse,Rat |
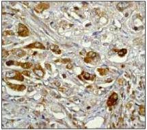
| Verified Activity | 1. Western blot analysis Hela cell lysate using IκB-α RabMAb. 2. Immunohistochemical analysis of paraffin-embedded human prostate carcinoma using IκB-α RabMAb. |
| Application | |
| Recommended Dose | WB: 1:1000; IHC: 1:100; ICC: 1:100; IP: 1:10-100 |
| Antibody Type | Monoclonal |
| Host Species | Rabbit |
| Construction | Recombinant Antibody |
| Purification | Protein A purified |
| Appearance | Liquid |
| Formulation | 1*TBS (pH7.4), 1%BSA, 40%Glycerol. Preservative: 0.05% Sodium Azide. |
| Research Background | The NF-κB/Rel transcription factors are present in the cytosol in an inactive state, complexed with the inhibitory IκB-α protein. In response to many different NF-κB-inducing agents—including T-cell mitogens, proinflammatory cytokines, and viral transactivators—the inhibitory IκB-α is rapidly phosphorylated and degraded. Phosphorylation of IκB-α at Ser32 and Ser36 has been shown to stimulate conjugation with ubiquitin and subsequent degradation of IκB-α. Phosphorylation of IκB-α at Ser32 and Ser36 is critical for activation of NF-κB, which then translocates to the nucleus and induces transcription of genes that protect organism. |
| Conjucates | Unconjugated |
| Immunogen | Peptide |
| Uniprot ID |
| Molecular Weight | Theoretical: 35 kDa. |
| Stability & Storage | Store at -20°C or -80°C for 12 months. Avoid repeated freeze-thaw cycles. |
| Transport | Shipping with blue ice. |
| Size | Quantity | Unit Price | Amount | Operation |
|---|

Copyright © 2015-2026 TargetMol Chemicals Inc. All Rights Reserved.