Shopping Cart
Remove All
Your shopping cart is currently empty
Anti-NFKB1 Antibody (3N127) is a Rabbit antibody targeting NFKB1. Anti-NFKB1 Antibody (3N127) can be used in IHC,WB.
| Pack Size | Price | USA Warehouse | Global Warehouse | Quantity |
|---|---|---|---|---|
| 50 μL | $296 | 7-10 days | 7-10 days | |
| 100 μL | $496 | 7-10 days | 7-10 days |
| Description | Anti-NFKB1 Antibody (3N127) is a Rabbit antibody targeting NFKB1. Anti-NFKB1 Antibody (3N127) can be used in IHC,WB. |
| Synonyms | Nuclear factor of kappa light polypeptide gene enhancer in B-cells 1, Nuclear factor NF-kappa-B p105 subunit, NFKB1, EBP-1, DNA-binding factor KBF1 |
| Ig Type | IgG |
| Clone | 3N127 |
| Reactivity | Human,Mouse,Rat |
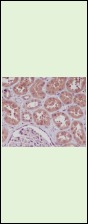
| Verified Activity | 1. Western blot analysis of NF-κB p105/p50 expression in (1)PC-12 cell lysate; (2) NIH/3T3 cell lysate. 2. All lanes use the Antibody at 1:1K dilution for 1 hour at room temperature. 3. All lanes use the Antibody at 1:3K dilution for 1 hour at room temperature. 4. All lanes use the Antibody at 1:3K dilution for 1 hour at room temperature. 5. Immunohistochemical analysis of paraffin-embedded human kidney, using NF-κB p105/p50 Antibody. ![]() ![]() ![]() ![]() ![]() |
| Application | |
| Recommended Dose | WB: 1:500-2000; IHC: 1:50-200 |
| Antibody Type | Monoclonal |
| Host Species | Rabbit |
| Construction | Recombinant Antibody |
| Purification | Affinity-chromatography |
| Appearance | Liquid |
| Formulation | Rabbit IgG in phosphate buffered saline , pH 7.4, 150mM NaCl, 0.02% sodium azide and 50% glycerol. |
| Research Background | NF-κB-p105 a transcription factor of the nuclear factor-kappaB (NF-κB) group. Undergoes cotranslational processing by the 26S proteasome to produce a 50 kD protein. The 105 kD protein is a Rel protein-specific transcription inhibitor and the 50 kD protein is a DNA binding subunit of NF-κB. NF-κB is a transcription regulator that is activated by various intra- and extra-cellular stimuli such as cytokines, oxidant-free radicals, ultraviolet irradiation, and bacterial or viral products. |
| Conjucates | Unconjugated |
| Immunogen | A synthesized peptide: human NF-κB (p105/p50) |
| Antigen Species | human |
| Uniprot ID |
| Molecular Weight | Theoretical: 50/120 kDa. |
| Stability & Storage | Store at 2°C-8°C for 1 month. Store at -20°C or -80°C for 12 months. Avoid repeated freeze-thaw cycles. |
| Transport | Shipping with blue ice. |
| Size | Quantity | Unit Price | Amount | Operation |
|---|

Copyright © 2015-2026 TargetMol Chemicals Inc. All Rights Reserved.