Shopping Cart
Remove All
Your shopping cart is currently empty
Anti-NFE2L2 Polyclonal Antibody is a Rabbit antibody targeting NFE2L2. Anti-NFE2L2 Polyclonal Antibody can be used in FCM, ICC/IF, IF, IHC-Fr, IHC-P, WB.
| Pack Size | Price | USA Stock | Global Stock | Quantity |
|---|---|---|---|---|
| 50 μL | $221 | 7-10 days | 7-10 days | |
| 100 μL | $373 | 7-10 days | 7-10 days | |
| 200 μL | $527 | 7-10 days | 7-10 days |
| Description | Anti-NFE2L2 Polyclonal Antibody is a Rabbit antibody targeting NFE2L2. Anti-NFE2L2 Polyclonal Antibody can be used in FCM, ICC/IF, IF, IHC-Fr, IHC-P, WB. |
| Synonyms | Nuclear factor, erythroid derived 2, like 2, Nuclear factor erythroid 2-related factor 2, Nrf-2, NRF2, NFE2-related factor 2, NF-E2-related factor 2, NFE2L2 |
| Ig Type | IgG |
| Reactivity | Human,Mouse,Rat |
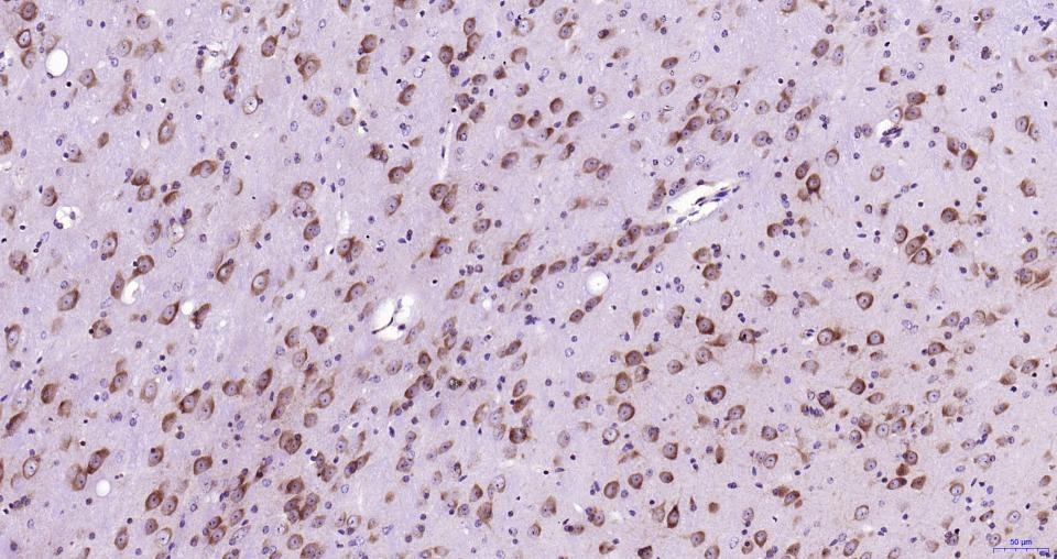
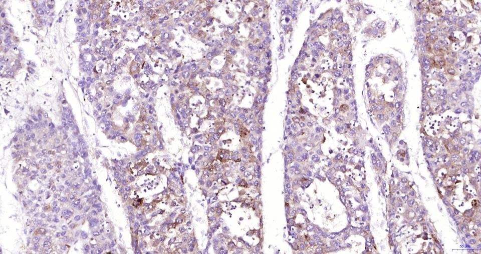
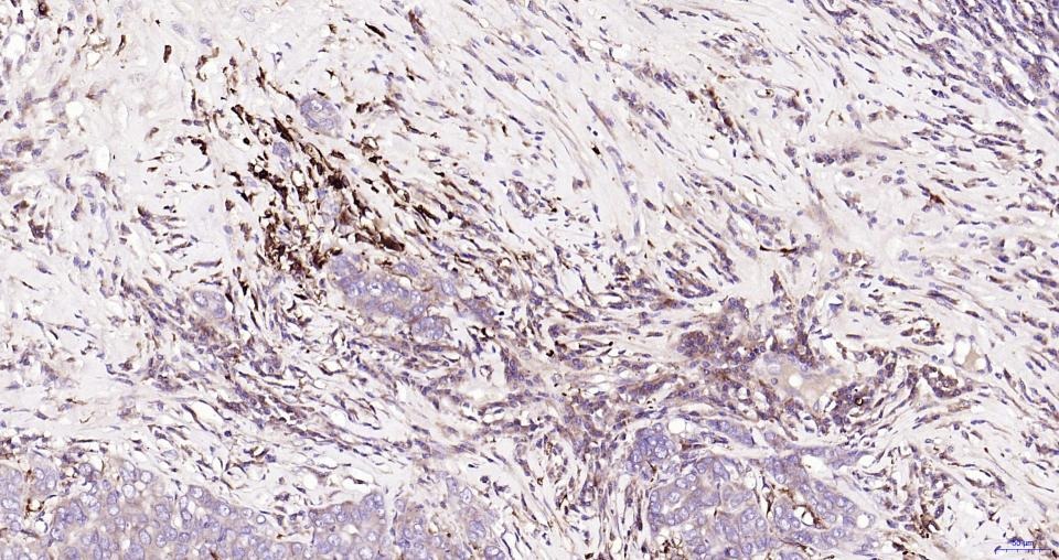
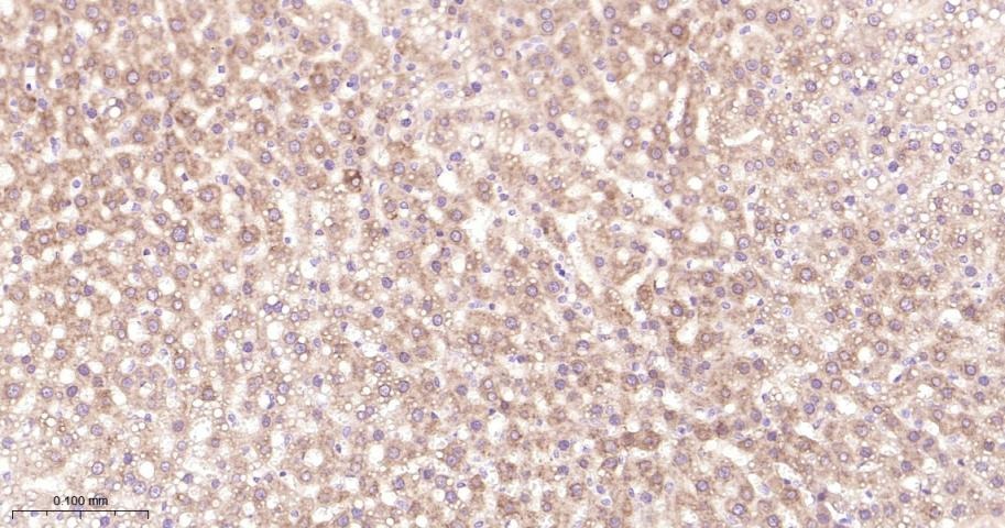
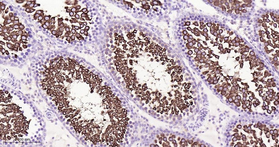
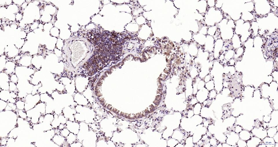
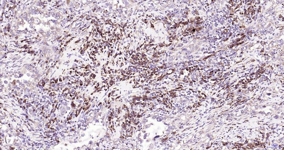
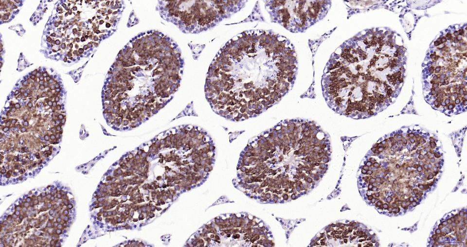
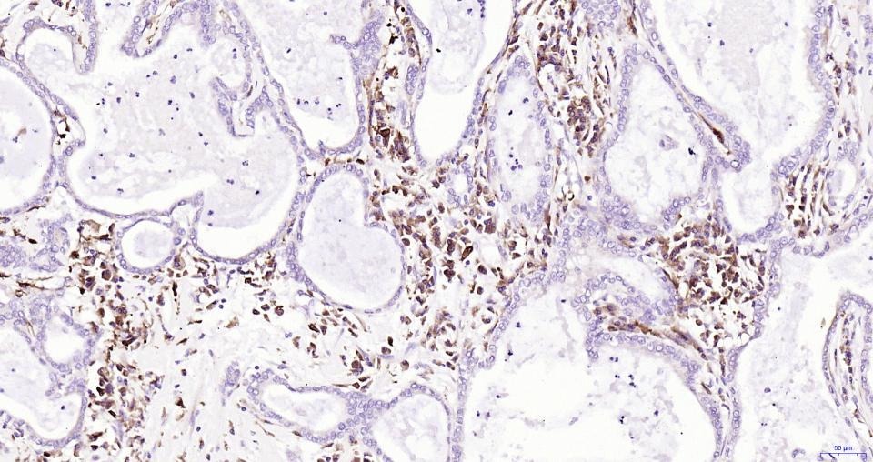
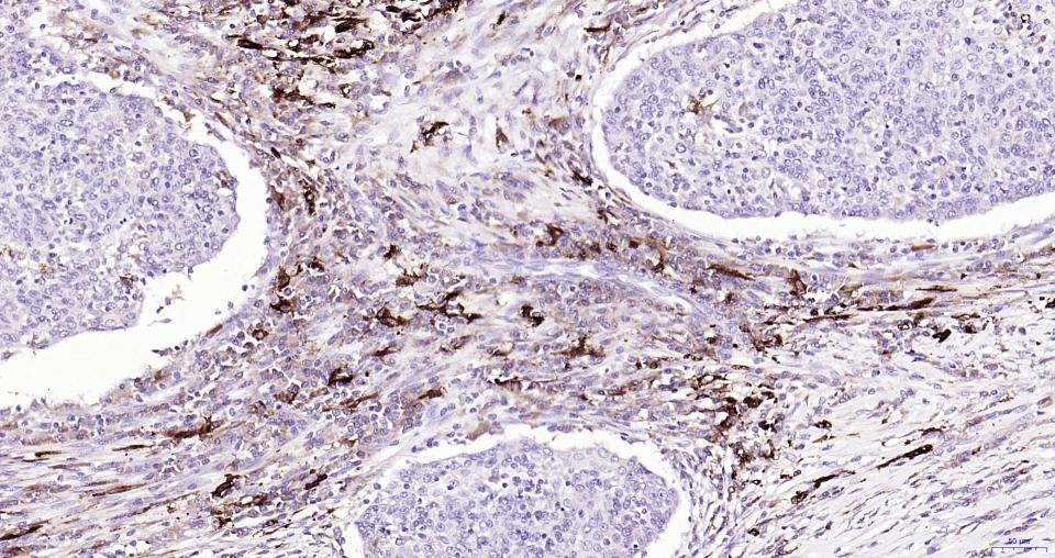
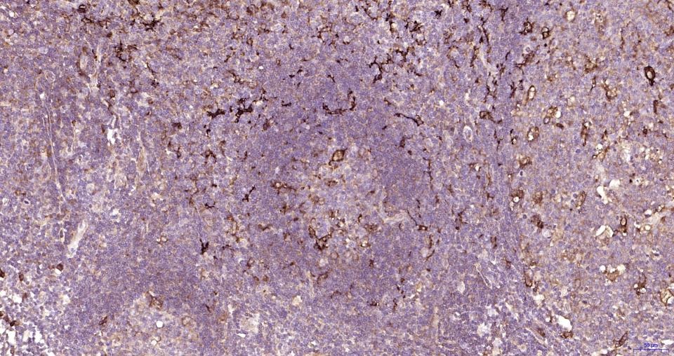
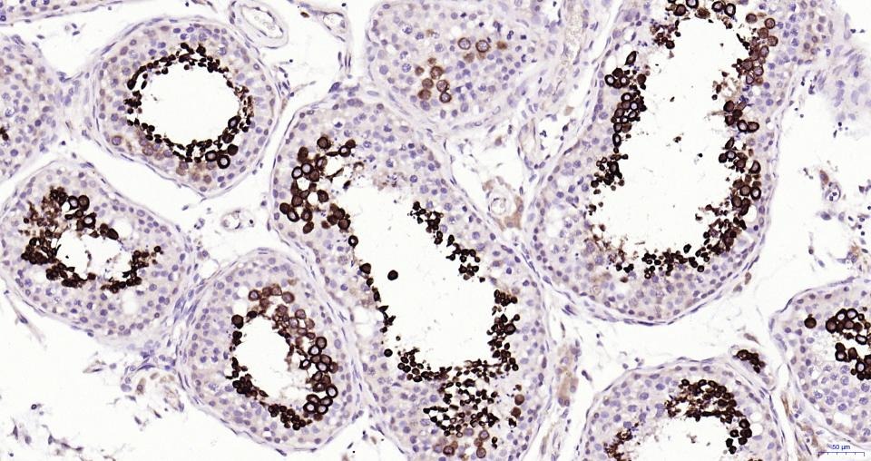
| Verified Activity | 1. Paraformaldehyde-fixed, paraffin embedded Mouse Lung; Antigen retrieval by boiling in sodium citrate buffer (pH6.0) for 15 min; Antibody incubation with Nrf2 Polyclonal Antibody, Unconjugated (TMAB-01226) at 1:200 overnight at 4°C, followed by conjugation to the SP Kit (Rabbit) and DAB staining. 2. Paraformaldehyde-fixed, paraffin embedded Mouse Testicles; Antigen retrieval by boiling in sodium citrate buffer (pH6.0) for 15 min; Antibody incubation with Nrf2 Polyclonal Antibody, Unconjugated (TMAB-01226) at 1:200 overnight at 4°C, followed by conjugation to the SP Kit (Rabbit) and DAB staining. 3. Paraformaldehyde-fixed, paraffin embedded Human Testicles; Antigen retrieval by boiling in sodium citrate buffer (pH6.0) for 15 min; Antibody incubation with Nrf2 Polyclonal Antibody, Unconjugated (TMAB-01226) at 1:200 overnight at 4°C, followed by conjugation to the SP Kit (Rabbit) and DAB staining. 4. Paraformaldehyde-fixed, paraffin embedded Mouse Cerebrum; Antigen retrieval by boiling in sodium citrate buffer (pH6.0) for 15 min; Antibody incubation with Nrf2 Polyclonal Antibody, Unconjugated (TMAB-01226) at 1:200 overnight at 4°C, followed by conjugation to the SP Kit (Rabbit) and DAB staining. 5. Paraformaldehyde-fixed, paraffin embedded Mouse Heart; Antigen retrieval by boiling in sodium citrate buffer (pH6.0) for 15 min; Antibody incubation with Nrf2 Polyclonal Antibody, Unconjugated (TMAB-01226) at 1:200 overnight at 4°C, followed by conjugation to the SP Kit (Rabbit) and DAB staining. 6. Paraformaldehyde-fixed, paraffin embedded Human Liver Cancer; Antigen retrieval by boiling in sodium citrate buffer (pH6.0) for 15 min; Antibody incubation with Nrf2 Polyclonal Antibody, Unconjugated (TMAB-01226) at 1:200 overnight at 4°C, followed by conjugation to the SP Kit (Rabbit) and DAB staining. 7. Paraformaldehyde-fixed, paraffin embedded Human Cervical Cancer; Antigen retrieval by boiling in sodium citrate buffer (pH6.0) for 15 min; Antibody incubation with Nrf2 Polyclonal Antibody, Unconjugated (TMAB-01226) at 1:200 overnight at 4°C, followed by conjugation to the SP Kit (Rabbit) and DAB staining. 8. Paraformaldehyde-fixed, paraffin embedded Human Skin Cancer; Antigen retrieval by boiling in sodium citrate buffer (pH6.0) for 15 min; Antibody incubation with Nrf2 Polyclonal Antibody, Unconjugated (TMAB-01226) at 1:200 overnight at 4°C, followed by conjugation to the SP Kit (Rabbit) and DAB staining. 9. Paraformaldehyde-fixed, paraffin embedded Human Tonsil; Antigen retrieval by boiling in sodium citrate buffer (pH6.0) for 15 min; Antibody incubation with Nrf2 Polyclonal Antibody, Unconjugated (TMAB-01226) at 1:200 overnight at 4°C, followed by conjugation to the SP Kit (Rabbit) and DAB staining. 10. Paraformaldehyde-fixed, paraffin embedded Human Breast Cancer; Antigen retrieval by boiling in sodium citrate buffer (pH6.0) for 15 min; Antibody incubation with Nrf2 Polyclonal Antibody, Unconjugated (TMAB-01226) at 1:200 overnight at 4°C, followed by conjugation to the SP Kit (Rabbit) and DAB staining. 11. Paraformaldehyde-fixed, paraffin embedded Human Pancreatic Cancer; Antigen retrieval by boiling in sodium citrate buffer (pH6.0) for 15 min; Antibody incubation with Nrf2 Polyclonal Antibody, Unconjugated (TMAB-01226) at 1:200 overnight at 4°C, followed by conjugation to the SP Kit (Rabbit) and DAB staining. 12. Hela (H) cells were treated with or without MG-132 (10 μM) for 10h, 25 μg total protein per Lane of cell lysates probed with Nrf2 monoclonal antibody, unconjugated at 1:1000 dilution and 4°C overnight incubation. Followed by conjugated secondary antibody incubation at RT for 60 min. 13. Paraformaldehyde-fixed, paraffin embedded Rat Liver; Antigen retrieval by boiling in sodium citrate buffer (pH6.0) for 15 min; Antibody incubation with Nrf2 Polyclonal Antibody, Unconjugated (TMAB-01226) at 1:200 overnight at 4°C, followed by conjugation to the secondary antibody and DAB staining. 14. Paraformaldehyde-fixed, paraffin embedded Rat Testicles; Antigen retrieval by boiling in sodium citrate buffer (pH6.0) for 15 min; Antibody incubation with Nrf2 Polyclonal Antibody, Unconjugated (TMAB-01226) at 1:200 overnight at 4°C, followed by conjugation to the secondary antibody and DAB staining. 15. The Hela (treated with MG-132 (10 μM,10h)) (H) cells were fixed with 4% PFA (10 min at room temperature) and then permeabilized with 90% ice-cold methanol for 20 min at-20°C,the cells then were incubated in 5% BSA to block non-specific protein-protein interactions (30 min at room temperature). Primary Antibody (green): Rabbit Anti-Nrf2 antibody (TMAB-01226): 1 μg/10^6 cells; Secondary Antibody (white blue): Goat anti-Rabbit IgG-BF488: 1 μg/test. Blank control (black): PBS. 16. 4% Paraformaldehyde-fixed Hela (treated with MG-132 (10 μM,10h))(H) cell; Triton X-100 at RT for 20 min; Antibody incubation with (Nrf2) polyclonal Antibody, unconjugated (TMAB-01226) 1:100, 90 min at 37°C; followed by conjugated Goat Anti-Rabbit IgG antibody (green) at 37°C for 90 min, DAPI (blue) was used to stain the cell nucleus. PBS instead of the primary antibody was used as the blank control. ![]() ![]() ![]() ![]() ![]() ![]() ![]() ![]() ![]() ![]() ![]() ![]() ![]() ![]() ![]() ![]() |
| Application | |
| Recommended Dose | FCM=1 μg/Test; ICC/IF=1:100-500; IF=1:200-1000; IHC-Fr=1:200-1000; IHC-P=1:200-1000; WB=1:1000-5000 |
| Antibody Type | Polyclonal |
| Host Species | Rabbit |
| Subcellular Localization | Cytoplasm, cytosol. Nucleus. Note=Cytosolic under unstressed conditions, translocates into the nucleus upon induction by electrophilic agents. |
| Tissue Specificity | Widely expressed. Highest expression in adult muscle, kidney, lung, liver and in fetal muscle. |
| Construction | Polyclonal Antibody |
| Purification | Protein A purified |
| Appearance | Liquid |
| Formulation | 0.01M TBS (pH7.4) with 1% BSA, 0.02% Proclin300 and 50% Glycerol. |
| Concentration | 1 mg/mL |
| Research Background | Nuclear factor erythroid 2-related factor 2 (Nrf2) is a transcription factor which regulates the expression of many detoxification and antioxidant enzymes. Nrf2 can potentially play a significant role in adaptive responses to oxidative stress. Nrf2 belongs to the Cap N Collar (CNC-bZIP) subfamily of basic /leucine zipper (bZIP) transcription factors. |
| Immunogen | KLH conjugated synthetic peptide: human Nrf2 |
| Antigen Species | Human |
| Gene Name | NFE2L2 |
| Gene ID | |
| Protein Name | Nuclear factor erythroid 2-related factor 2 |
| Uniprot ID | |
| Biology Area | Cardiac metabolism,Oxidative Stress,ChIP antibodies,Other factors,Mitochondrial transcription,Mitochondrial Biogenesis,Oxidative stress |
| Function | Transcription activator that binds to antioxidant response (ARE) elements in the promoter regions of target genes. Important for the coordinated up-regulation of genes in response to oxidative stress. May be involved in the transcriptional activation of genes of the beta-globin cluster by mediating enhancer activity of hypersensitive site 2 of the beta-globin locus control region. |
| Molecular Weight | Theoretical: 68 kDa. Actual: 90-110 kDa. |
| Stability & Storage | Store at -20°C or -80°C for 12 months. Avoid repeated freeze-thaw cycles. |
| Transport | Shipping with blue ice. |
| Size | Quantity | Unit Price | Amount | Operation |
|---|

Copyright © 2015-2026 TargetMol Chemicals Inc. All Rights Reserved.