Shopping Cart
Remove All
Your shopping cart is currently empty
Synonyms: Nuclear factor of activated T cells cytosolic component 1, Nuclear factor of activated T cells cytoplasmic calcineurin dependent 1, Nuclear factor of activated T cells cytoplasmic 1, NFATc1, NFATC 1, NFATc, NFAT2, NFAT transcription complex cytosolic component, NFAT 2, NFAC1, NF ATc1, NF ATc, MGC138448
| Pack Size | Price | USA Stock | Global Stock | Quantity |
|---|---|---|---|---|
| 50 μL | $222 | 7-10 days | 7-10 days | |
| 100 μL | $373 | 7-10 days | 7-10 days | |
| 200 μL | $529 | 7-10 days | 7-10 days |
| Description | Anti-NFAT2 Polyclonal Antibody is a Rabbit antibody targeting NFAT2. Anti-NFAT2 Polyclonal Antibody can be used in FCM, IF, IHC-Fr, IHC-P. |
| Synonyms | Nuclear factor of activated T cells cytosolic component 1, Nuclear factor of activated T cells cytoplasmic calcineurin dependent 1, Nuclear factor of activated T cells cytoplasmic 1, NFATc1, NFATC 1, NFATc, NFAT2, NFAT transcription complex cytosolic component, NFAT 2, NFAC1, NF ATc1, NF ATc, MGC138448 |
| Ig Type | IgG |
| Reactivity | Human,Rat (predicted:Mouse,Rabbit) |
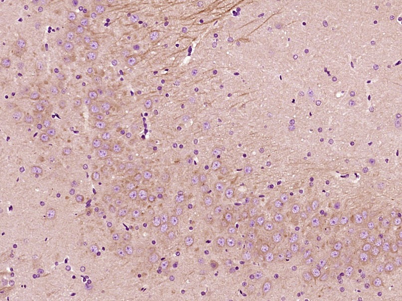
| Verified Activity | 1. Blank control: Jurkat. Primary Antibody (green line): Rabbit Anti-NFAT2 antibody (TMAB-01223) Dilution: 1 μg/Test; Secondary Antibody: Goat anti-rabbit IgG-FITC Dilution: 0.5 μg/Test. Protocol The cells were fixed with 4% PFA (10 min at room temperature) and then permeabilized with 90% ice-cold methanol for 20 min at-20°C. The cells were then incubated in 5% BSA to block non-specific protein-protein interactions for 30 min at room temperature. Cells stained with Primary Antibody for 30 min at room temperature. The secondary antibody used for 40 min at room temperature. 2. Paraformaldehyde-fixed, paraffin embedded (Rat brain); Antigen retrieval by boiling in sodium citrate buffer (pH6.0) for 15 min; Block endogenous peroxidase by 3% hydrogen peroxide for 20 min; Blocking buffer (normal goat serum) at 37°C for 30 min; Antibody incubation with (NFAT2) Polyclonal Antibody, Unconjugated (TMAB-01223) at 1:400 overnight at 4°C, followed by operating according to SP Kit (Rabbit) instructionsand DAB staining. 3. Blank control: Molt-4. Primary Antibody (green line): Rabbit Anti-NFAT2 antibody (TMAB-01223) Dilution: 1 μg/10^6 cells; Isotype Control Antibody (orange line): Rabbit IgG. Secondary Antibody: Goat anti-rabbit IgG-AF647 Dilution: 1 μg/test. Protocol The cells were fixed with 4% PFA (10 min at room temperature) and then permeabilized with 90% ice-cold methanol for 20 min at-20°C. The cells were then incubated in 5% BSA to block non-specific protein-protein interactions for 30 min at at room temperature. Cells stained with Primary Antibody for 30 min at room temperature. The secondary antibody used for 40 min at room temperature. |
| Application | |
| Recommended Dose | IHC-P: 1:100-500; IHC-Fr: 1:100-500; IF: 1:100-500; FCM: 1ug/test |
| Antibody Type | Polyclonal |
| Host Species | Rabbit |
| Subcellular Localization | Cytoplasm. Nucleus. Cytoplasmic for the phosphorylated form and nuclear after activation that is controlled by calcineurin-mediated dephosphorylation. Rapid nuclear exit of NFATC is thought to be one mechanism by which cells distinguish between sustained and transient calcium signals. The subcellular localization of NFATC plays a key role in the regulation of gene transcription. |
| Tissue Specificity | Expressed in thymus, peripheral leukocytes as T-cells and spleen. Isoforms A are preferentially expressed in effector T-cells (thymus and peripheral leukocytes) whereas isoforms B and isoforms C are preferentially expressed in naive T-cells (spleen). Isof |
| Construction | Polyclonal Antibody |
| Purification | Protein A purified |
| Appearance | Liquid |
| Formulation | 0.01M TBS (pH7.4) with 1% BSA, 0.02% Proclin300 and 50% Glycerol. |
| Concentration | 1 mg/mL |
| Research Background | The product of this gene is a component of the nuclear factor of activated T cells DNA-binding transcription complex. This complex consists of at least two components: a preexisting cytosolic component that translocates to the nucleus upon T cell receptor (TCR) stimulation, and an inducible nuclear component. Proteins belonging to this family of transcription factors play a central role in inducible gene transcription during immune response. The product of this gene is an inducible nuclear component. It functions as a major molecular target for the immunosuppressive drugs such as cyclosporin A. Multiple alternatively spliced transcript variants encoding distinct isoforms have been identified for this gene. Different isoforms of this protein may regulate inducible expression of different cytokine genes. [provided by RefSeq, Jul 2013] |
| Immunogen | KLH conjugated synthetic peptide: human NFATc1 |
| Antigen Species | Human |
| Gene Name | NFATC1 |
| Gene ID | |
| Protein Name | Nuclear factor of activated T-cells, cytoplasmic 1 |
| Uniprot ID | |
| Biology Area | Transcription factors/regulators,NFATs,Other factors,Non-CD,NFATS |
| Function | Plays a role in the inducible expression of cytokine genes in T-cells, especially in the induction of the IL-2 or IL-4 gene transcription. Also controls gene expression in embryonic cardiac cells. Could regulate not only the activation and proliferation but also the differentiation and programmed death of T-lymphocytes as well as lymphoid and non-lymphoid cells.Required for osteoclastogenesis and regulates many genes important for osteoclast differentiation and function. |
| Molecular Weight | Theoretical: 101 kDa. |
| Stability & Storage | Store at -20°C or -80°C for 12 months. Avoid repeated freeze-thaw cycles. |
| Transport | Shipping with blue ice. |
| Size | Quantity | Unit Price | Amount | Operation |
|---|

Copyright © 2015-2026 TargetMol Chemicals Inc. All Rights Reserved.