Shopping Cart
Remove All
Your shopping cart is currently empty
Anti-Nephrin Polyclonal Antibody is a Rabbit antibody targeting Nephrin. Anti-Nephrin Polyclonal Antibody can be used in FCM,IF,IHC-Fr,IHC-P,WB.
| Pack Size | Price | USA Stock | Global Stock | Quantity |
|---|---|---|---|---|
| 50 μL | $221 | 7-10 days | 7-10 days | |
| 100 μL | $372 | 7-10 days | 7-10 days | |
| 200 μL | $528 | 7-10 days | 7-10 days |
| Description | Anti-Nephrin Polyclonal Antibody is a Rabbit antibody targeting Nephrin. Anti-Nephrin Polyclonal Antibody can be used in FCM,IF,IHC-Fr,IHC-P,WB. |
| Synonyms | NPHN, nephrosis 1, congenital, Finnish type (nephrin), nephrin, CNF |
| Ig Type | IgG |
| Reactivity | Human,Mouse,Rat,Dog (predicted:Rabbit) |
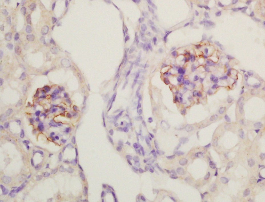
| Verified Activity | 1. Sample: MDCk (Dog) Cell Lysate at 40 μg Primary: Anti-Nephrin (TMAB-01214) at 1/500 dilution Secondary: IRDye800CW Goat Anti-Rabbit IgG at 1/20000 dilution Predicted band size: 138 kDa Observed band size: 138 kDa 2. Sample: Liver (Mouse) Lysate at 40 μg Primary: Anti-Nephrin (TMAB-01214) at 1/300 dilution Secondary: IRDye800CW Goat Anti-Rabbit IgG at 1/20000 dilution Predicted band size: 138 kDa Observed band size: 138 kDa 3. Blank control: 293T. Primary Antibody (green line): Rabbit Anti-Nephrin antibody (TMAB-01214) Dilution: 1 μg/Test; Secondary Antibody: Goat anti-rabbit IgG-FITC Dilution: 0.5 μg/Test. Protocol The cells wereincubated in 5% BSA to block non-specific protein-protein interactions for 30 min at room temperature. Cells stained with Primary Antibody for 30 min at room temperature. The secondary antibody used for 40 min at room temperature. 4. Tissue/cell: mouse kidney tissue; 4% Paraformaldehyde-fixed and paraffin-embedded; Antigen retrieval: citrate buffer (0.01M, pH6.0), Boiling bathing for 15 min; Block endogenous peroxidase by 3% Hydrogen peroxide for 30 min; Blocking buffer (normal goat serum) at 37°C for 20 min; Incubation: Anti-Nephrin Polyclonal Antibody, Unconjugated (TMAB-01214) 1:200, overnight at 4°C, followed by conjugation to the secondary antibody and DAb staining. 5. the cells (293T) were fixed with 2% paraformaldehyde (10 min). Isotype Control Antibody: Rabbit Igg (orange); Secondary Antibody: Goat anti-rabbit IgG-Pe (white blue), Dilution: 1:200 in 1 X PBS containing 0.5% BSA; Primary Antibody Dilution: 1 μg in 100 μL 1X PBS containing 0.5% BSA (green). 6. Blank control: RSC96 (blue), the cells were fixed with 2% paraformaldehyde (10 min) and then permeabilized with ice-cold 90% methanol for 30 min on ice. Isotype Control Antibody: Rabbit Igg (orange); Secondary Antibody: Goat anti-rabbit IgG-Pe (white blue), Dilution: 1:200 in 1 X PBS containing 0.5% BSA; Primary Antibody Dilution: 1 μg in 100 μL 1X PBS containing 0.5% BSA (green). ![]() ![]() ![]() ![]() ![]() ![]() |
| Application | |
| Recommended Dose | WB: 1:500-2000; IHC-P: 1:100-500; IHC-Fr: 1:100-500; IF: 1:100-500; FCM: 1μg/Test |
| Antibody Type | Polyclonal |
| Host Species | Rabbit |
| Subcellular Localization | Cell membrane; Single-pass type I membrane protein (Potential). Note=Predominantly located at podocyte slit diaphragm between podocyte foot processes. Also associated with podocyte apical plasma membrane. |
| Tissue Specificity | Specifically expressed in podocytes of kidney glomeruli. Expressed in kidney glomeruli. In the embryo,expressed in the mesonephric kidney at E11 with strong expression in cranial tubules with podocyte-like structures. Expression is observed in the podocyt |
| Construction | Polyclonal Antibody |
| Purification | Protein A purified |
| Appearance | Liquid |
| Formulation | 0.01M TBS (pH7.4) with 1% BSA, 0.02% Proclin300 and 50% Glycerol. |
| Concentration | 1 mg/mL |
| Research Background | This gene encodes a member of the immunoglobulin family of cell adhesion molecules that functions in the glomerular filtration barrier in the kidney. The gene is primarily expressed in renal tissues, and the protein is a type-1 transmembrane protein found at the slit diaphragm of glomerular podocytes. The slit diaphragm is thought to function as an ultrafilter to exclude albumin and other plasma macromolecules in the formation of urine. Mutations in this gene result in Finnish-type congenital nephrosis 1, characterized by severe proteinuria and loss of the slit diaphragm and foot processes.[provided by RefSeq, Oct 2009] |
| Immunogen | KLH conjugated synthetic peptide: human Nephrin |
| Antigen Species | Human |
| Gene Name | NPHS1 |
| Gene ID | |
| Protein Name | Nephrin |
| Uniprot ID | |
| Biology Area | Endothelial |
| Function | Seems to play a role in the development or function of the kidney glomerular filtration barrier. Regulates glomerular vascular permeability. May anchor the podocyte slit diaphragm to the actin cytoskeleton. Plays a role in skeletal muscle formation through regulation of myoblast fusion. |
| Molecular Weight | Theoretical: 138 kDa. Actual: 138 kDa. |
| Stability & Storage | Store at -20°C or -80°C for 12 months. Avoid repeated freeze-thaw cycles. |
| Transport | Shipping with blue ice. |
| Size | Quantity | Unit Price | Amount | Operation |
|---|

Copyright © 2015-2026 TargetMol Chemicals Inc. All Rights Reserved.