Shopping Cart
Remove All
Your shopping cart is currently empty
Anti-NEK7 Polyclonal Antibody is a Rabbit antibody targeting NEK7. Anti-NEK7 Polyclonal Antibody can be used in IF,IHC-Fr,IHC-P.
| Pack Size | Price | USA Warehouse | Global Warehouse | Quantity |
|---|---|---|---|---|
| 50 μL | $222 | 7-10 days | 7-10 days | |
| 100 μL | $374 | 7-10 days | 7-10 days | |
| 200 μL | $527 | 7-10 days | 7-10 days |
| Description | Anti-NEK7 Polyclonal Antibody is a Rabbit antibody targeting NEK7. Anti-NEK7 Polyclonal Antibody can be used in IF,IHC-Fr,IHC-P. |
| Synonyms | NIMA-related kinase 7 |
| Ig Type | IgG |
| Reactivity | Mouse,Rat (predicted:Human,Chicken,Pig,Cow,Rabbit,Sheep) |
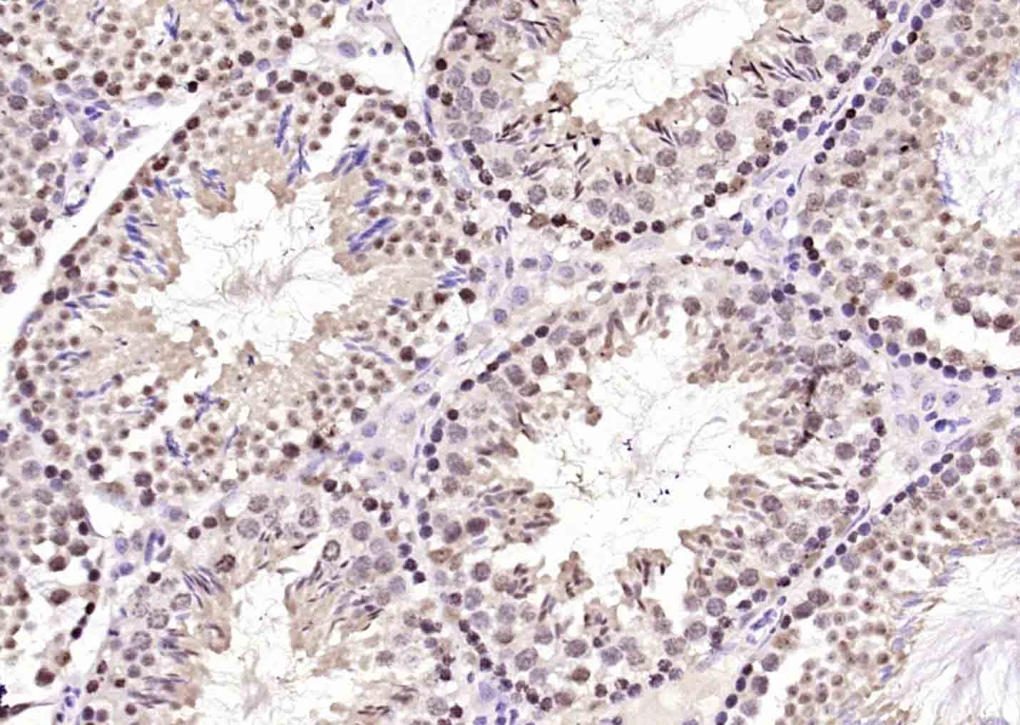
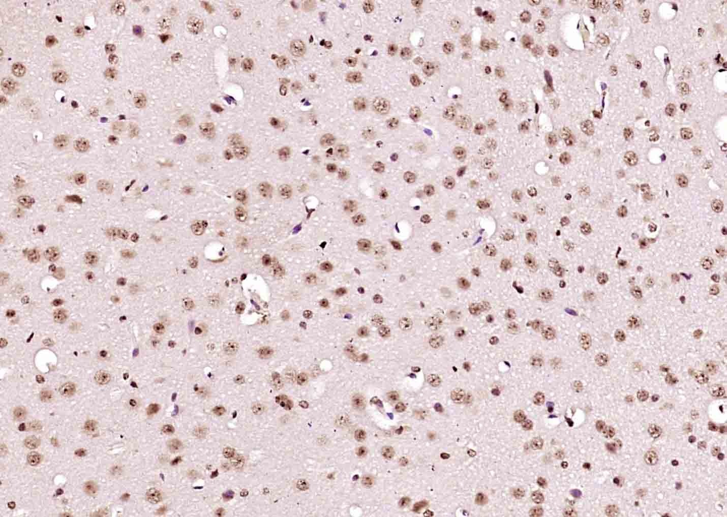
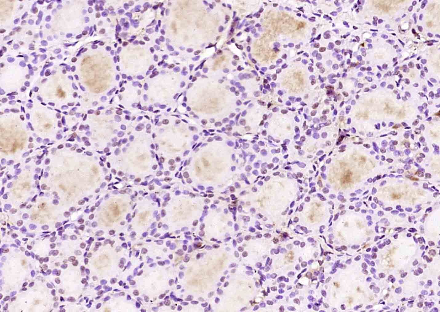
| Verified Activity | 1. Paraformaldehyde-fixed, paraffin embedded (mouse testis); Antigen retrieval by boiling in sodium citrate buffer (pH6.0) for 15 min; Block endogenous peroxidase by 3% hydrogen peroxide for 20 min; Blocking buffer (normal goat serum) at 37°C for 30 min; Antibody incubation with (NEK7) Polyclonal Antibody, Unconjugated (TMAB-01213) at 1:200 overnight at 4°C, followed by operating according to SP Kit (Rabbit) instructionsand DAB staining. 2. Paraformaldehyde-fixed, paraffin embedded (rat thyroid gland); Antigen retrieval by boiling in sodium citrate buffer (pH6.0) for 15 min; Block endogenous peroxidase by 3% hydrogen peroxide for 20 min; Blocking buffer (normal goat serum) at 37°C for 30 min; Antibody incubation with (NEK7) Polyclonal Antibody, Unconjugated (TMAB-01213) at 1:200 overnight at 4°C, followed by operating according to SP Kit (Rabbit) instructionsand DAB staining. 3. Paraformaldehyde-fixed, paraffin embedded (mouse brain); Antigen retrieval by boiling in sodium citrate buffer (pH6.0) for 15 min; Block endogenous peroxidase by 3% hydrogen peroxide for 20 min; Blocking buffer (normal goat serum) at 37°C for 30 min; Antibody incubation with (NEK7) Polyclonal Antibody, Unconjugated (TMAB-01213) at 1:200 overnight at 4°C, followed by operating according to SP Kit (Rabbit) instructionsand DAB staining. ![]() ![]() ![]() |
| Application | |
| Recommended Dose | IHC-P: 1:100-500; IHC-Fr: 1:100-500; IF: 1:100-500 |
| Antibody Type | Polyclonal |
| Host Species | Rabbit |
| Subcellular Localization | Nucleus. Cytoplasm. Cytoplasm, cytoskeleton, spindle pole. Cytoplasm, cytoskeleton, centrosome. Note=Present at centrosome throughout the cell cycle. Also detected at spindle midzone of the anaphase cells and eventually concentrates at the midbody. |
| Tissue Specificity | Highly expressed in lung, muscle, testis, brain, heart, liver, leukocyte and spleen. Lower expression in ovary, prostate and kidney. No expression seen in small intestine. |
| Construction | Polyclonal Antibody |
| Purification | Protein A purified |
| Appearance | Liquid |
| Formulation | 0.01M TBS (pH7.4) with 1% BSA, 0.02% Proclin300 and 50% Glycerol. |
| Concentration | 1 mg/mL |
| Research Background | Tissue specificity: Highly expressed in lung, muscle, testis, brain, heart, liver, leukocyte and spleen. Lower expression in ovary, prostate and kidney. |
| Immunogen | KLH conjugated synthetic peptide: human NEK7 |
| Antigen Species | Human |
| Gene Name | NEK7 |
| Gene ID | |
| Protein Name | Serine/threonine-protein kinase Nek7 |
| Uniprot ID | |
| Biology Area | Cytokinesis,Other cell division antibodies,Kinases/Phosphatases,Other Kinases |
| Function | Protein kinase which plays an important role in mitotic cell cycle progression. Required for microtubule nucleation activity of the centrosome, robust mitotic spindle formation and cytokinesis. Phosphorylates RPS6KB1. |
| Molecular Weight | Theoretical: 35 kDa. |
| Stability & Storage | Store at -20°C or -80°C for 12 months. Avoid repeated freeze-thaw cycles. |
| Transport | Shipping with blue ice. |
| Size | Quantity | Unit Price | Amount | Operation |
|---|

Copyright © 2015-2026 TargetMol Chemicals Inc. All Rights Reserved.