Shopping Cart
Remove All
Your shopping cart is currently empty
Anti-NEFH Antibody (9C4) is a Mouse antibody targeting NEFH. Anti-NEFH Antibody (9C4) can be used in IF,IHC-P,IP,WB.
| Pack Size | Price | USA Warehouse | Global Warehouse | Quantity |
|---|---|---|---|---|
| 50 μL | $296 | 7-10 days | 7-10 days | |
| 100 μL | $428 | 7-10 days | 7-10 days |
| Description | Anti-NEFH Antibody (9C4) is a Mouse antibody targeting NEFH. Anti-NEFH Antibody (9C4) can be used in IF,IHC-P,IP,WB. |
| Synonyms | NF-H, NFH, Neurofilament triplet H protein, Neurofilament heavy polypeptide, NEFH, KIAA0845, 200 kDa neurofilament protein |
| Clone | 9C4 |
| Reactivity | Human,Mouse,Rat |
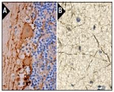
| Verified Activity | 1. Western blot analysis of NF-H expression in rat brain (A) and mouse brain (B) tissue extracts. 2. Immunoperoxidase staining of formalin fixed, paraffin-embedded human cerebellum tissue showing membrane and cytoplasmic staining of Purkinje cells and neuropil staining in granular layer and molecular layer (A). Immunoperoxidase staining of formalin fixed, paraffin-embedded human cerebellum tissue showing membrane and cytoplasmic staining of Purkinje cells and neuropil staining in granular layer and molecular layer (B). ![]() ![]() |
| Application | |
| Recommended Dose | WB: 1:500-1000; IHC-P: 1:50-500; IP: 1-2 μg per 100-500 μg of total protein(1 ml of cell lysate) |
| Antibody Type | Monoclonal |
| Host Species | Mouse |
| Construction | Hybridoma Monoclonal Antibody |
| Purification | ProA affinity purified |
| Appearance | Liquid |
| Formulation | 1*TBS (pH7.4), 1%BSA, 40%Glycerol. Preservative: 0.05% Sodium Azide. |
| Research Background | Neurofilament-H (NF-H), for neurofilament heavy polypeptide, a member of the intermediate filament family, is a major component of neuronal cytoskeletons. Neurofilaments are dynamic structures; they contain phosphorylation sites for a large number of protein kinases, including protein kinase A, protein kinase C, cyclin-dependent kinase 5, extracellular signal regulated kinase, glycogen synthase kinase-3, and stress-activated protein kinase gamma. In addition to their role in the control of axon caliber, neurofilaments may affect other cytoskeletal elements, such as microtubules and Actin filaments. Changes in neurofilament phosphorylation or metabolism are frequently observed in neurodegenerative diseases, including amyotrophic lateral sclerosis (ALS), Parkinson's disease and Alzheimer's disease. |
| Conjucates | Unconjugated |
| Immunogen | A neurofilament NF-H protein isolated from a cytoskeletal preparation from brain tissue homogenate of calf origin |
| Uniprot ID |
| Molecular Weight | Theoretical: 200 kDa. |
| Stability & Storage | Store at -20°C or -80°C for 12 months. Avoid repeated freeze-thaw cycles. |
| Transport | Shipping with blue ice. |
| Size | Quantity | Unit Price | Amount | Operation |
|---|

Copyright © 2015-2026 TargetMol Chemicals Inc. All Rights Reserved.