Shopping Cart
Remove All
Your shopping cart is currently empty
Synonyms: NDUFS 4, NADH-ubiquinone oxidoreductase 18 kDa subunit, NADH dehydrogenase [ubiquinone] iron-sulfur protein 4, mitochondrial, Complex I-AQDQ, Complex I-18 kDa, CI-AQDQ, CI-18 kDa
| Pack Size | Price | USA Stock | Global Stock | Quantity |
|---|---|---|---|---|
| 50 μL | $297 | 7-10 days | 7-10 days | |
| 100 μL | $497 | 7-10 days | 7-10 days |
| Description | Anti-NDUFS4 Antibody (3X649) is a Rabbit antibody targeting NDUFS4. Anti-NDUFS4 Antibody (3X649) can be used in FCM,IHC,IP,WB. |
| Synonyms | NDUFS 4, NADH-ubiquinone oxidoreductase 18 kDa subunit, NADH dehydrogenase [ubiquinone] iron-sulfur protein 4, mitochondrial, Complex I-AQDQ, Complex I-18 kDa, CI-AQDQ, CI-18 kDa |
| Ig Type | IgG |
| Clone | 3X649 |
| Reactivity | Human,Mouse,Rat |
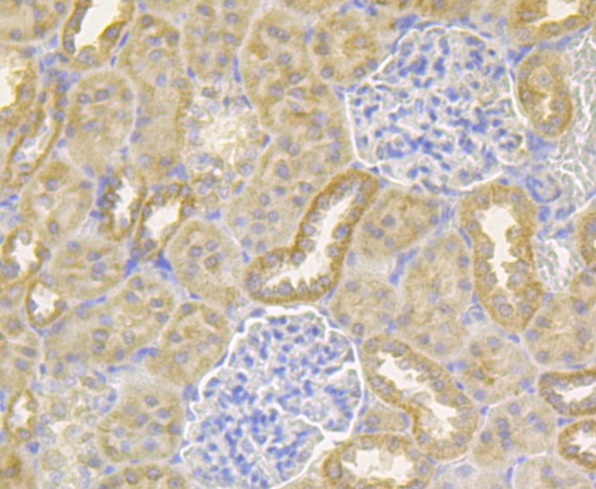
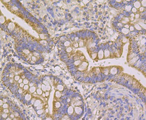
| Verified Activity | 1. Western blot analysis of Ndufs4 on rat heart tissue lysate using anti-Ndufs4 antibody at 1/1,000 dilution. 2. Immunohistochemical analysis of paraffin-embedded rat kidney tissue using anti-Ndufs4 antibody. Counter stained with hematoxylin. 3. Immunohistochemical analysis of paraffin-embedded human small intestine tissue using anti-Ndufs4 antibody. Counter stained with hematoxylin. 4. Flow cytometric analysis of SH-SY-5Y cells with Ndufs4 antibody at 1/100 dilution (purple) compared with an unlabelled control (cells without incubation with primary antibody; yellow). Alexa Fluor 488-conjugated goat anti-rabbit IgG was used as the secondary antibody. |
| Application | |
| Recommended Dose | WB: 1:500-2000; IHC: 1:50-200; IP: 1:10-50; FCM: 1:50-100 |
| Antibody Type | Monoclonal |
| Host Species | Rabbit |
| Construction | Recombinant Antibody |
| Purification | ProA affinity purified |
| Appearance | Liquid |
| Formulation | 1*TBS (pH7.4), 1%BSA, 40%Glycerol. Preservative: 0.05% Sodium Azide. |
| Research Background | Complex 1 (also known as NADH dehydrogenase) of the electron transport chain (respiratory chain) is an enzymatic complex that catalyzes the transfer of electrons from NADH to ubiquinone. Free energy from the reaction is conserved in the transfer of protons into the intermembrane space to create an electrochemical proton gradient, a driving force for ATP synthesis. Complex 1 is a complicated, multi-protein, L-shaped complex composed of at least 45 different subunits and located in the mitochondrial inner membrane. NDUFS4 (NADH dehydrogenase (ubiquinone) Fe-S protein 4), also known as AQDQ or CI-18 (Complex I-18kDa protein), belongs to the Complex I NDUFS4 subunit family. NDUFS4 localizes to the matrix side of the inner membrane of the mitochondrion and functions as an accessory subunit of Complex I. Mutations in the gene encoding NDUFS4 can result in Complex I mitochondrial respiratory chain deficiency. Patients with this deficiency may exhibit cardiomyopathy, myopathy, liver failure and neurological disorders. |
| Conjucates | Unconjugated |
| Immunogen | Recombinant Protein: human Ndufs4 aa 43-175 |
| Antigen Species | human |
| Uniprot ID |
| Molecular Weight | Theoretical: 20 kDa. |
| Stability & Storage | Store at -20°C or -80°C for 12 months. Avoid repeated freeze-thaw cycles. |
| Transport | Shipping with blue ice. |
| Size | Quantity | Unit Price | Amount | Operation |
|---|

Copyright © 2015-2026 TargetMol Chemicals Inc. All Rights Reserved.