Shopping Cart
Remove All
Your shopping cart is currently empty
Anti-Myosin-6/MYH6 Antibody (9Q830) is a Rabbit antibody targeting Myosin-6/MYH6. Anti-Myosin-6/MYH6 Antibody (9Q830) can be used in IHC,WB.
| Pack Size | Price | USA Warehouse | Global Warehouse | Quantity |
|---|---|---|---|---|
| 50 μL | $296 | 7-10 days | 7-10 days | |
| 100 μL | $498 | 7-10 days | 7-10 days |
| Description | Anti-Myosin-6/MYH6 Antibody (9Q830) is a Rabbit antibody targeting Myosin-6/MYH6. Anti-Myosin-6/MYH6 Antibody (9Q830) can be used in IHC,WB. |
| Synonyms | Myosin-6, Myosin heavy chain, cardiac muscle alpha isoform (MyHC-alpha), Myosin heavy chain 6, MYHCA, MYH6 |
| Ig Type | IgG |
| Clone | 9Q830 |
| Reactivity | Human,Mouse,Rat |
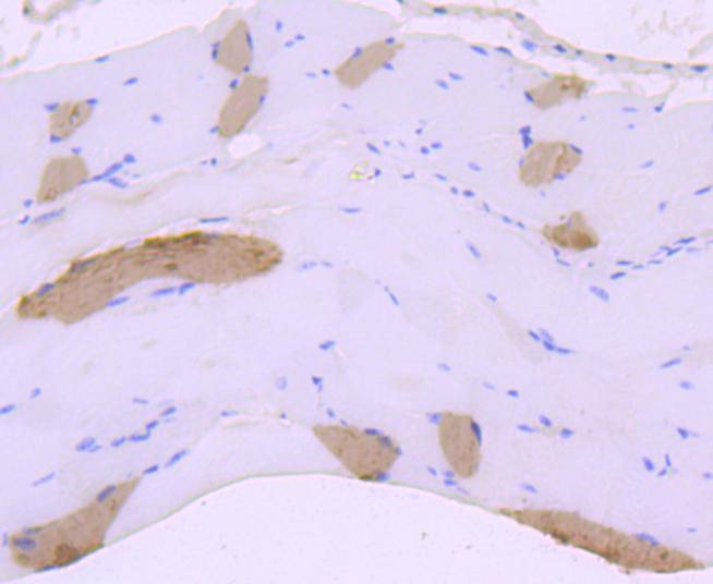
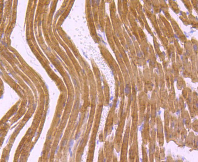
| Verified Activity | 1. Western blot analysis of Myosin heavy chain on human skeletal muscle lysates using anti-Myosin heavy chain antibody at 1/1,000 dilution. 2. Immunohistochemical analysis of paraffin-embedded mouse smooth muscle tissue using anti-Myosin heavy chain antibody. Counter stained with hematoxylin. 3. Immunohistochemical analysis of paraffin-embedded mouse heart tissue using anti-Myosin heavy chain antibody. Counter stained with hematoxylin. ![]() ![]() ![]() |
| Application | |
| Recommended Dose | WB: 1:1000-2000; IHC: 1:50-200 |
| Antibody Type | Monoclonal |
| Host Species | Rabbit |
| Construction | Recombinant Antibody |
| Purification | ProA affinity purified |
| Appearance | Liquid |
| Formulation | 1*TBS (pH7.4), 1%BSA, 40%Glycerol. Preservative: 0.05% Sodium Azide. |
| Research Background | Myosin is a highly conserved, ubiquitously expressed protein that interacts with Actin to generate the force for cellular movements. Conventional myosins are hexameric proteins consisting of two heavy chain subunits, a pair of non-phosphorylatable light chain subunits and a pair of phosphorylatable light chain subunits. Three general classes of myosin have been cloned: smooth muscle myosins, striated muscle myosins and non-muscle myosins. Contractile activity in smooth muscle is regulated by the calcium/calmodulin-dependent phosphorylation of myosin light chain by myosin light chain kinase. Myosin heavy chains are encoded by the MYH gene family and have Actin-activated ATPase activity which generates the motor function of myosin. Myosin heavy chains, which were initially isolated from a human fetal skeletal muscle, are the major determinant in the speed of contraction of skeletal muscle. Various isoforms of myosin heavy chain are differentially expressed depending on the functional activity of the muscle. |
| Conjucates | Unconjugated |
| Immunogen | Recombinant Protein |
| Uniprot ID |
| Molecular Weight | Theoretical: 224 kDa. |
| Stability & Storage | Store at -20°C or -80°C for 12 months. Avoid repeated freeze-thaw cycles. |
| Transport | Shipping with blue ice. |
| Size | Quantity | Unit Price | Amount | Operation |
|---|

Copyright © 2015-2026 TargetMol Chemicals Inc. All Rights Reserved.