Shopping Cart
Remove All
Your shopping cart is currently empty
Anti-Myoglobin Antibody (7Y20) is a Rabbit antibody targeting Myoglobin. Anti-Myoglobin Antibody (7Y20) can be used in ICC/IF,IHC,IP,WB.
| Pack Size | Price | USA Warehouse | Global Warehouse | Quantity |
|---|---|---|---|---|
| 50 μL | $297 | 7-10 days | 7-10 days | |
| 100 μL | $497 | 7-10 days | 7-10 days |
| Description | Anti-Myoglobin Antibody (7Y20) is a Rabbit antibody targeting Myoglobin. Anti-Myoglobin Antibody (7Y20) can be used in ICC/IF,IHC,IP,WB. |
| Synonyms | PVALB, Myoglobin, MGC13548, MB |
| Ig Type | IgG |
| Clone | 7Y20 |
| Reactivity | Human,Mouse,Rat |
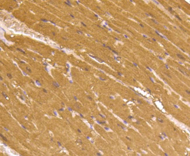
| Verified Activity | 1. Western blot analysis of Myoglobin on human skeletal muscle lysates using anti-Myoglobin antibody at 1/1,000 dilution. 2. Immunohistochemical analysis of paraffin-embedded mouse skeletal muscle tissue using anti-Myoglobin antibody. Counter stained with hematoxylin. 3. Immunohistochemical analysis of paraffin-embedded mouse heart tissue using anti-Myoglobin antibody. Counter stained with hematoxylin. 4. ICC staining Myoglobin in C2C12 cells (green). The nuclear counter stain is DAPI (blue). Cells were fixed in paraformaldehyde, permeabilised with 0.25% Triton X100/PBS. ![]() ![]() ![]() ![]() |
| Application | |
| Recommended Dose | WB: 1:1000-5000; IHC: 1:50-200; ICC/IF: 1:50-200 |
| Antibody Type | Monoclonal |
| Host Species | Rabbit |
| Construction | Recombinant Antibody |
| Purification | ProA affinity purified |
| Appearance | Liquid |
| Formulation | 1*TBS (pH7.4), 1%BSA, 40%Glycerol. Preservative: 0.05% Sodium Azide. |
| Research Background | Myoglobin is a cytosolic oxygen binding protein responsible for the storage and diffusion of oxygen within myocytes. Expression of myoglobin is highest in skeletal and cardiac muscle. Myoglobin is necessary for the maintenance of mitochondrial respiration during heavy and sustained contractile activity, and it is thought to transport oxygen from erythroyctes to mitochondria. The genomic structure of myoglobin appears to be conserved across a broad range of species, and contains a putative polyadenylation signal and a polypyrimidine-rich region. Human myoglobin is specified by a single gene, and it has been identified in human smooth muscle. |
| Conjucates | Unconjugated |
| Immunogen | Recombinant Protein |
| Uniprot ID |
| Molecular Weight | Theoretical: 17 kDa. |
| Stability & Storage | Store at -20°C or -80°C for 12 months. Avoid repeated freeze-thaw cycles. |
| Transport | Shipping with blue ice. |
| Size | Quantity | Unit Price | Amount | Operation |
|---|

Copyright © 2015-2026 TargetMol Chemicals Inc. All Rights Reserved.